患者、男、40岁,下颌牙缺失数年来院咨询种植。
检查:46缺失, 47倾斜, 1度松动, 未见48萌出,
CBCT:骨量高度及宽度可, 48埋伏,低位阻生.37近中骨吸收
诊断:下颌牙列缺损, 48低位埋伏阻生 37 牙周炎
治疗计划:46种植, 同期拔除48 正畸扶正47.



第一步:术中微创种植, 穿龈愈合。

第二步:拔牙
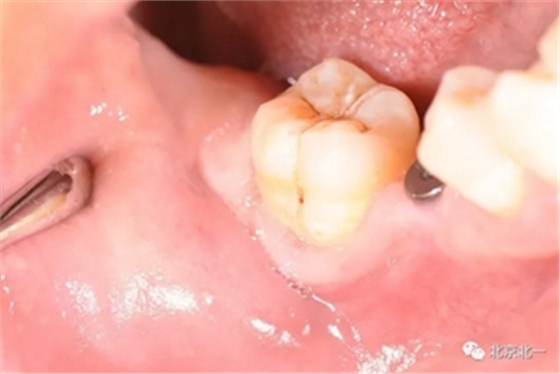
切口设计关键点偏颊侧。

去骨:原则暴露最大周径线即可, 尽可能少去骨, 微创拔除。

截冠:有丝分裂至关重要。 保证微创下拔除智齿。

术后强调冲洗创口, 搔刮血液充盈。

缝合。

有丝分裂拔牙技术展示

拔牙神器之一展示, 全程无菌。

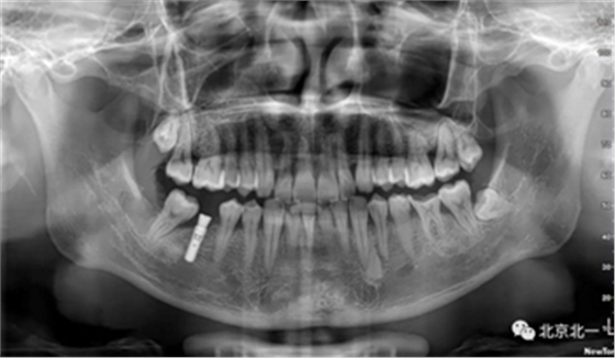
术后拍片。
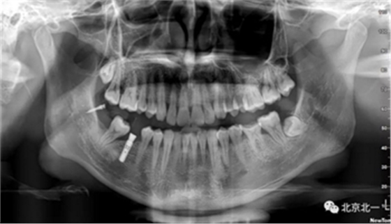
正畸支抗直立47
第一次支抗钉脱落, 第二次支抗钉位于48位置, 颊侧舌侧舌侧扣牵引。
直立后维持位置, 并取模戴牙。

北一种植王明老师总结:本病例难点在于设计多学科治疗。 治疗周期拉长, 患者智齿低位, 拔除困难, 容易造成神经麻木。 必须由经验医师主刀。 北一微创拔牙理念主张将牙齿进行有丝分裂, 进行智齿粉碎。 对工具要求较高。 较少患者痛苦。
正畸支抗下颌角支抗钉不仅仅考虑解剖结构, 需要考虑下颌角骨质偏硬, 不助攻可能导致支抗钉无法植入。
种植医生如何学会正畸支抗钉的植入 , 将在北一种植中级班专题讲述,
北一微创拔牙最新课程将在大连召开, 欢迎报名。













来源:北京北一



