
刘建彰,北京大学口腔医院修复科副主任医师。1997年本科毕业于北京医科大学口腔医学院,分别于2003年、2007年在北京大学口腔医学院获得口腔修复学硕士学位、博士学位,多次参加国内外种植培训,曾赴德国法兰克福大学和图宾根大学交流学习,从事种植义齿、美学修复、全口义齿和合学研究多年。现任北京大学口腔医院修复科种植项目组负责人,国际牙科研究学会(IADR)会员,国际口腔种植学会(ITI)会员,每年完成种植手术及上部结构修复数百例。参加多本论著及译著编写。发表相关论文十余篇。

刘晓强,北京大学口腔医学院修复科主治医师、医学博士,毕业于北京大学医学部。临床上专注于牙齿美学修复、种植修复和显微修复。现为国际口腔种植学会(ITI)会员,兼任中华口腔医学会口腔美学专业委员会工作秘书、中华口腔医学会“临床实用技术规范化培训”系列继续教育项目讲师。曾多次在全国各级口腔医学学术会议上担任演讲嘉宾。主持中华口腔医学会青年基金1项、北京大学口腔医学院青年基金2项、北京大学口腔医学院新技术新疗法1项。发表研究论文8篇,参编专业论著4部。
临床病例所获奖项:
2014年获得BITC口腔种植病例大赛全国金奖
2016年获得BITC口腔种植病例大赛全国金奖
2016年获得“卡瓦梦想秀”口腔跨学科病例展评全国冠军
摘要
目的:观察上颌多颗相邻前牙“精确化”即刻种植修复的临床效果。材料与方法:选取上颌多颗相邻前牙外伤致冠根折的病例,进行即刻种植修复。术前采用数字化技术辅助准备,包括设计修复体的形态和种植体的三维位置、制作多级导板、制作临时修复体;术中不翻瓣微创拔牙,在导板辅助下制备窝洞,即刻植入种植体,植入骨胶原,术后即刻临时修复;软硬组织愈合完成后,利用临时冠诱导软组织成形;软组织改建成熟后,通过两步法印模技术精确复制穿龈轮廓外形,制作氧化锆一体化基台冠,完成最终修复。结果:在观察期内,相邻前牙的种植修复获得了理想的软硬组织美学效果和稳定性。结论:本病例针对上颌多颗相邻前牙进行的即刻种植修复,其临床流程可行,临床效果满意。
美学区的种植修复经常面临一些比后牙种植修复更高的风险。大量研 究表明,种植体和修复体具有较高的生存率和成功率,骨结合本身已经不再 是治疗的终极目标;随着长期的观察,生物和技术方面并发症的高发生率变 得越来越明显,前牙区治疗的美学效果正逐渐成为人们关注的焦点。
上颌前牙区单牙即刻种植和即刻修复的长期效果和优势已经得到了文 献的充分证实。即刻种植和即刻修复的优点在于:可以缩短治疗周期,即刻 恢复缺失牙,并最大程度地保留现存的软硬组织。然而,相邻种植体之间 的龈乳头常常难以像单颗种植修复体或天然牙周围龈乳头那样得到维持或生 长。这个问题在拔牙后即刻种植和即刻修复时变得更加尖锐和复杂。
本文报道1例上颌多颗相邻前牙冠根折拔除后即刻种植修复的病例:术前采用数字化技术辅助准备,包括设计修复体的形态和种植体的三维位置、 制作多级导板、制作临时修复体;术中不翻瓣微创拔牙,在导板辅助下制备 窝洞,即刻植入种植体,植入骨胶原,术后即刻临时修复;软硬组织愈合完 成后,利用临时冠诱导软组织成形;软组织改建成熟后,通过两步法印模技 术精确复制穿龈轮廓外形,制作氧化锆一体化基台冠,完成正式修复。在观 察期内,本病例获得了理想的软硬组织美学效果和稳定性。
材料与方法
1、病例资料
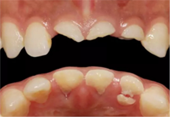
患者,女性,23岁,外伤导致上前牙折断3天。检查:中微笑 线;上颌右侧中切牙至左侧侧切牙残根,不松动,腭侧缺损达龈下5mm, 牙龈中等厚度,龈缘基本完好。CBCT显示:根长约11mm,牙根长轴与牙 槽突方向基本一致,唇侧骨板完好、厚度1.0mm,可用骨高度21mm。全身情况良好。
临床诊断:上颌右侧中切牙至左侧侧切牙冠根折。
2、治疗设计
上颌右侧中切牙至左侧侧切牙拔除后种植修复
3、治疗程序
(1)术前准备。拍摄临床照片、拍摄轻开口位CBCT(NewTom)、取聚醚印模灌制超硬石膏模型。 构建数字化模型并设计修复体:将超硬石膏模型在口外扫描(Identica? Hybrid),获取软硬组织表面形态,构建数字化模型,确认咬合情况。根据 天然牙残根颈部形态设计修复体颈部形态,使修复体颈缘轮廓与原有天然牙 一致;按正常牙弓弧度与覆 、覆盖关系,结合红白美学等原则确定修复体 的三维形态。最后,导入患者面部照片,确认模拟修复效果。 设计种植体位置并制作多级导板:利用Segma设计软件,将CBCT数据 和模型扫描数据进行配准,调入模拟修复效果数据,以修复为导向设计种植 方案,设计种植体螺丝孔开口从修复体舌窝处穿出,最终实现螺丝固位的一 体化基台冠修复。根据种植体信息设计多级导板,参考修复体形态设计导板 植入区颈缘外形,打印生成种植导板(Segma),并安装金属引导环。 设计并制作临时修复体:如前所述,按照美学效果和咬合关系设计临 时冠外形,颈部形态与模型龈缘轮廓一致,保证临时修复体在术后可以封闭 拔牙窝。3颗临时冠为连冠,龈外展隙适当加大,为术后软组织生长提供一 定的空间。在临时冠近两侧邻牙的切角处预留翼板,保证临时冠戴入时可以 找到准确的位置。以铣削的方式加工临时冠(Segma),待种植体植入后 将其在口内粘接于临时基台上。
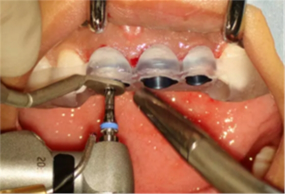
(2)即刻种植、即刻临时修复。术中不翻瓣微创拔除牙根,牙槽 窝骨壁完整。在多级导板辅助下完成种植窝洞制备,植入Bego柱形种植 体,型号分别为:上颌右侧中切牙位点4.1mm×15mm、上颌左侧中切牙 位点?3.75mm×15mm、上颌左侧侧切牙位点3.25mm×15mm,扭矩均为 35N·cm。种植体与唇侧骨壁间隙约2mm,植入Bio-Oss®Collagen骨胶 原。戴入桥用钛临时基台,临时冠就位顺利,自凝树脂口内粘接后适当修整 外形,充分磨光,调 至正中 、前伸 和侧方 与对颌牙均无接触。术后 根尖片显示种植体位置、方向良好。
(3)软组织成形。术后4个月复查,临时修复体完好,软组织色粉、 质韧、点彩清晰,龈缘位置基本稳定,龈乳头区可见三角间隙。此后1个月内,先后2次取下临时冠,用树脂调整修复体颈部外形,进行软组织成形。 术后6个月复查,软组织形态满意、位置稳定,进行最终修复。
(4)最终修复。种植体周围软组织改建成熟以后,进行最终修复。本 病例采用两步法印模技术精确记录种植体的三维位置和种植体周围软组织穿 龈轮廓外形。 首先,口内制取临时冠及周围软硬组织的硅橡胶阴模,复制软硬组织 表面形态。然后,取下临时修复体,常规制取闭窗式种植体水平聚醚印模, 精确记录种植体的三维位置,灌制含人工牙龈的超硬石膏模型。最后,去除 模型上的人工牙龈,将临时修复体戴入到模型上,在临时修复体周围和硅橡 胶阴模内注入人工牙龈,将阴模就位到含临时冠的石膏模型上,精确转移穿龈轮廓外形,获得工作模型。 制作螺丝固位的一体化氧化锆基台冠,以切削方式制作完成后,表面 添加饰瓷来获得理想的美观效果。 术后7个月,戴入最终修复体,红白美学效果满意。
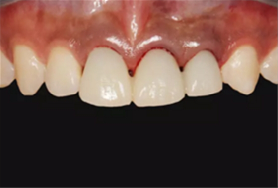
(5)复查。种植体周围骨水平稳定,龈乳头及龈高点位置稳定,龈缘 曲线形态理想,唇侧软硬轮廓良好,功能满意,修复效果符合预期。

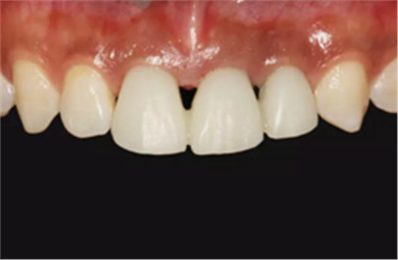
图1 术前微笑像

图2 术前口内像

图3 术前CBCT

图4 构建数字化模型并设计修复体

图5 设计种植体位置与多级导板

图6 设计临时修复体

图7 不翻瓣微创拔牙

图8 导板辅助下备洞

图9 植入种植体

图10 植入骨胶原

图11 戴入临时修复体

图12 即刻修复完成

图13 术后即刻根尖片

图14 术后4个月口内像

图15 调整临时修复体外形

图16 软组织成形后口内像

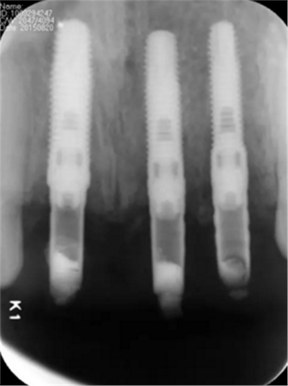
图17 术后6个月根尖片

图18 初印模灌制完成

图19 临时修复体戴入石膏模型

图20 终印模灌制完成

图21 工作模型

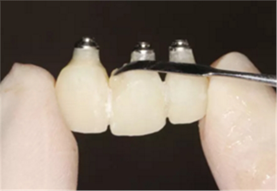
图22 最终修复体

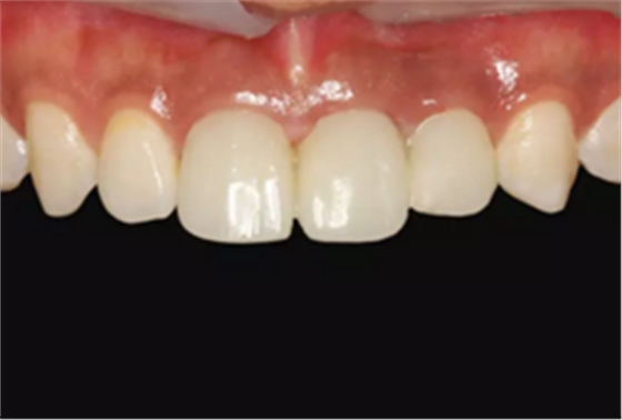
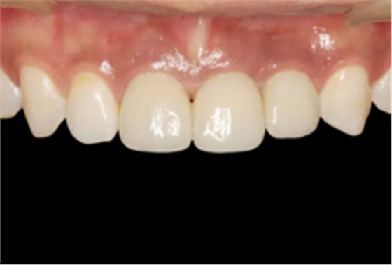
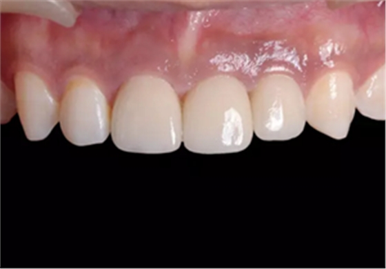
图23 最终修复后即刻口内像

图24 最终修复后即刻根尖片

图25 最终修复后复查口内像
二、结果
本病例在观察期内,种植修复获得了良好的软硬组织美学效果和稳定 性。患者对治疗效果满意。
三、讨论
本病例为上颌多颗相邻前牙因外伤致冠根折的病例,进行了“精确 化”的即刻种植修复。术前依据模型扫描数据、CBCT数据等构建数字化模 型,根据美学和功能原则设计最终修复体外形,再以修复为导向设计种植体 的三维位置,并制作多级导板,以提高种植体的植入精度。同时,为了减少 术后进行临时修复的等待时间,术前设计制作了高精度的临时修复体,修复 体颈部外形严格复制天然牙颈部轮廓,保证临时修复体术后可以严密封闭拔 牙窝;在临时修复体与临时基台之间预留一定间隙以便于口内就位和粘接; 在修复体近邻牙侧预留翼板以便于修复体的稳定就位。通过此类细节的处 理,可以保证在种植术后最短的时间内顺利戴入理想的临时修复体。
术中采用的不翻瓣微创拔牙技术可以最大限度地保存龈缘形态、维持 唇侧牙槽窝骨壁的血供、减少骨吸收,从而维持软硬组织的稳定。拔牙窝骨壁完整,唇侧骨板厚度大于1mm,拔牙后在导板辅助下即刻植入种植体, 植体位置符合预期。为了减少唇侧牙槽骨吸收,种植体唇侧与牙槽窝内壁之 间的间隙控制在2mm,并植入骨替代材料,这对于获得临床美学效果是非 常重要的。术后即刻戴入临时修复体,可维持软组织形态,并封闭拔牙窝, 促进组织愈合,最大限度地获得理想的美学效果。
制取终印模时,精确复制软组织袖口形态是关键技术之一。两步法印 模技术可以在精确复制种植体三维位置的同时,精确复制软组织穿龈轮廓外 形,并且具有临床便捷性等优点,避免了制作个性化印模杆的复杂性和可能 带来的误差,具有较好的临床适用性。
前牙相邻种植体之间龈乳头的维持存在一定难度,本病例种植体间龈 乳头高度与术前相比稍有降低,今后需进一步改进外科和修复技术,争取获 得更理想的美学效果。
参考文献
[1] Deeb GR, Soliman O, Alsaad F, et al. Simultaneous Virtual Planning Implant Surgical Guides and Immediate Laboratory Fabricated Provisionals: An Impressionless Technique. Journal of Oral Implantology. 2016, 42(2).
[2] Schnitman PA, Hayashi C. Papilla Formation in Response to Computer-Assisted Implant Surgery and Immediate Restoration. Journal of Oral Implantology. 2015, 41(4).
[3] Tarnow DP, Chu SJ, Salama MA, et al. Flapless Postextraction Socket Implant Placement in the Esthetic Zone: Part 1. The Effect of Bone Grafting and/or Provisional Restoration on Facial-Palatal Ridge Dimensional Change-A Retrospective Cohort Study. International Journal of Periodontics & Restorative Dentistry, 2014, 34(3).
[4] Ross S B, Pette GA, Parker WB, et al. Gingival margin changes in maxillary anterior sites after single immediate implant placement and provisionalization: a 5-year retrospective study of 47 patients. International Journal of
Oral & Maxillofacial Implants, 2014, 29(1).
[5] Cosyn J, Raes M, Packet M, et al. Disparity in embrasure fill and papilla height between tooth- and implant-borne fixed restorations in the anterior maxilla: a cross-sectional study. Journal of Clinical Periodontology, 2013,40(7).
专家点评
顾新华教授:目前文献已证实多颗前牙连续缺失是美学种植修复的一大难点。作者通过对1例美学区多牙外伤需拔除的患者采用数字化技术进行了术前设计和手术导板的制作,术中微创拔牙,在导板辅助下即刻植入种植体,术后即刻临时修复,并利用临时冠诱导软组织成形,最终完成一体化氧化锆基台冠。整个病例体现了数字化技术在治疗设计中的应用,展示了以修复为导向、精细的美学种植修复理念,并采用即刻种植即刻修复的方法缩短了患者缺牙时间,最终获得令人满意的美学效果。但是该病例没有指明永久修复后的复诊时间,中远期临床修复效果、尤其唇侧软组织形貌还有待观察。另外,若能提供数字化设计、植入临时修复及永久修复时的唇腭向形态(影像),对“精确化”的诠释更具说服力。
来源: 普洁学习中心

