该病例为严重骨性Ⅱ类、高角、下颌后缩的成年女性,但患者拒绝正畸正颌联合治疗及颏成形手术。单纯正畸治疗对于解决牙列拥挤、牙弓前突以及前牙开牙合等牙列 问题较容易,但传统正畸治疗对于成年骨性畸形仅能获得掩饰性疗效,如何在正畸治疗过程中避免下颌平面角增加导致下颌进一步后下旋转、侧貌恶化,以及良好的 支抗控制是本病例的难点和挑战。本病例为作者王雪东在导师周彦恒教授的指导下完成。
病史简介
患者:女,21岁,因“牙不齐,嘴突”求治。患者拒绝通过正颌外科手术的方法改善面型。
临床检查及诊断
患者口外情况为凸面型,颏部左偏约1mm。患者口内情况为恒牙列;双侧磨牙中性偏近中关系,前牙开牙合Ⅰ°,约1.5 mm,覆盖为1mm;上牙列Ⅰ°拥挤3 mm,下牙列Ⅰ°拥挤2mm;上中线右偏约1.5mm,下中线基本正。诊断:安氏Ⅰ类,骨型为Ⅱ类,高角面型。

图1 患者治疗前面相

图2 治疗前头颅侧位片

图3 治疗前曲面体层片
矫治过程

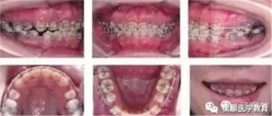
图4 种植体支抗关闭拔牙间隙,同时行上颌前、后牙垂直向控制

矫治过程
矫治结果

图5 患者治疗后面相

图6 治疗后头颅侧位片

图7 治疗后曲面体层片

图8 治疗后1年
治疗前后头影测量结果对比

治疗前后X线头影测量结果对比
治疗总结
本病例在减数4颗第一前磨牙以及4颗智齿后,在治疗中充分应用了微螺钉种植体支抗,双颌后牙区强支抗确保最大程度内收前牙并维持磨牙中性关系;通过利用上后 牙区颊腭侧种植钉持续轻力压低后牙,减小下颌平面角,使下颌逆时针前上旋转,改善侧貌;通过利用上前牙区种植钉轻力压低上前牙,控制前牙覆牙合并改善露龈微笑。保持1年后显示治疗结果稳定,患者对正畸疗效非常满意。
作者简介
王雪东医师,博士,2012年毕业于北京大学,为我国第一位口腔医学双博士;毕业后留校,工作于北京大学口腔医学院正畸科、口腔干细胞与再生研究中心,助理 研究员,住院医师。共发表SCI论文8篇,第一作者3篇,影响因子(IF)总计11.4,其中2篇发表在《牙科研究杂志》(Journal of Dental Research);作为课题负责人,主持国家自然科学基金青年科学基金项目1项;曾赴美参加2013年IADR会议及赴日本参加中日泰三校学术交流会, 并做大会发言。曾获得全国优秀正畸青年医师及研究生病例比赛第一名及“众言堂”全国优秀正畸病例品评一等奖。
来源:中国医学论坛报•今日口腔


