作者:牙医加加
临床病例展示需要有至少24张照片。其中12张治疗前照片,12张治疗后照片。如有特殊需要还要加拍特殊照。可以使用手动模式或者TTL模式拍摄。口内照片需要使用高F值以获得最大的景深。
正面照
正面观
1:10 (1:15)放大倍率
无需使用拉钩

•水平放置相机:请勿竖直相机拍摄。患者的下巴应位于照片的下边框处,整个头部应位于相片中。相机选取1:10(1:15) 放大倍率。病人的颈部有可能无法全部入境。
•患者应放松面部肌肉,自然微笑。
•患者的鼻子应位于画面的中央。
•使用瞳孔连线及面中线来确定相机的水平向及垂直向的位置。建议不要使用牙齿及嘴唇来确定水平垂直标准。
•确定好患者的位置,避免背景上出现过于明显的阴影。明显的阴影通常意味着患者身体离背景距离过近。
•使用纯色,不反光的背景。
•应位于患者正前方拍照,避免形成角度影响切牙平面的问题。
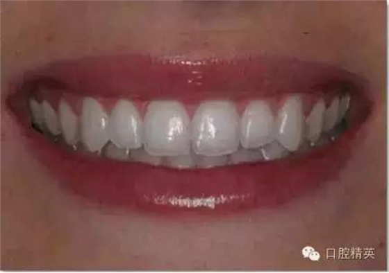
大笑照
正面观
1:2 (1:3)放大倍率
无需使用拉钩

• 自然大笑,记录此状态下露出的最多牙齿数目及露龈情况。面部其他肌肉应为放松状态。
•照片的纵向中心应为上唇人中交接点。
•不要主动移动相机补偿中线不齐的问题。
•上颌牙齿的切缘平面应为相片的水平中线。如果患者的切缘平面在正面照中为倾斜的,此照片应如实记录,而不要旋转相机补偿牙齿的倾斜角度。
•应位于患者正前方拍照
•避免相机与牙齿形成角度引起切平面的问题。相机应与对象的纵向和横向均成90°角,以避免切平面倾斜的问题。
•使用1:2 (1:3)放大倍率,患者的嘴唇应全部位于画面内。请注意下颌牙齿不一定能在此时露出。
•在中切牙及侧切牙处对焦。选取适当的景深(通过高F值获得)使得尽可能多的牙齿在焦距内。
•此照片无需设置背景。
大笑照
侧面观
1:2 (1:3)放大倍率
无需使用拉钩

•自然大笑,记录此状态下露出的最多牙齿数目及露龈情况。面部其他肌肉应为放松状态。
•照片的纵向中线应为侧切牙。
•相片的水平中线为切缘平面,垂直于纵向中线。
•在侧切牙处对焦。选取适当的景深使得尽可能多的牙齿在焦距内。
•此视角并非矢状面,因此对侧的中切牙,甚至是侧切牙、尖牙应能在照片中显示。•可能会出现一些背景画面。尽量将背景放置在远相机侧,并尽量摆成阴影最小的角度。如果阴影过大,可能会造成牙齿不对称的错觉。
•保持1:2 (1:3)放大倍率。
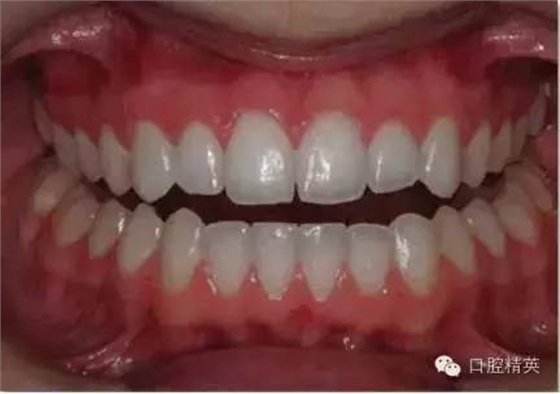
上下颌牙列照
正面观
1:2 (1:3)放大倍率
需要使用拉钩

• 上下颌牙应轻微张开使得切端清晰可见。这样有利于切缘平面喝切缘楔状隙的分析。
•露出尽量多的牙龈。对称放置拉钩,以免造成倾斜的假象。将拉钩向远离牙齿的方向拉。
•减少相片中嘴唇及拉钩的影像。
•待治疗的牙齿及周缘组织应能清晰可见。牙龈高度及轮廓应不被遮盖。
•脸部中线应作为照片纵向中线。对其人中可能有些帮助,但是拉钩有时会造成软组织的偏斜。
•相片的水平中线为上牙切缘平面,垂直于纵向中线。
•相机应位于拍摄对象正前方,并与其成90°角。避免倾斜相机,或者发生垂直向角度偏斜的问题(俯拍或仰拍)。
•在中切牙及侧切牙处对焦。选取适当的景深(通过高F值获得)使得尽可能多的牙齿在焦距内。
•舌头应往后缩,以免遮挡牙面。
•使用1:2 (1:3)放大倍率,使得上下颌牙弓均位于焦距内。
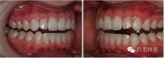
上下颌牙列照
侧面观
1:2 (1:3)放大倍率
需要使用拉钩

•上下颌牙应轻微张开使得切端清晰可见。这样有利于切缘平面喝切缘楔状隙的分析。
•露出尽量多的牙龈。对称放置拉钩,以免造成倾斜的假象。将拉钩向远离牙齿的方向拉。
•尽量减少相片中嘴唇及拉钩的影像。
•待治疗的牙齿及周缘组织应能清晰可见。牙龈高度及轮廓应不被遮盖。
•纵向中线应为侧切牙的中线。
•相片的水平中线为切缘平面,垂直于纵向中线。再现天然牙的不对称性
•焦点应位于侧切牙处。选取适当的景深(通过高F值获得)使得尽可能多的牙齿在焦距内。舌头应往后缩,以免遮挡牙面。保持1:2(1:3)放大倍率。
•此视角并非矢状面,因此对侧的中切牙,甚至是侧切牙、尖牙应能在照片中显示。 紧记照片的中心应为侧切牙。
•如果拉钩的放置位置及合理地取景,远离相机侧的软组织应能遮盖大部分背景区域。
上前牙照
正面观
1:1 (1:1.5)放大倍率
需要使用拉钩

•上前牙应位于照片中央,用中线及唇系带作为参照点平分照片。人中在此视角中应无法暴露。
•照片的中线应水平平分中切牙(请勿使用切平面作为水平中线)。
•拉钩不应出现在此图中。照片中的龈缘应清晰可见。
•下颌牙不应出现在此视角中。
•可以使用背板拍照。如使用背板,应避免出现阴影。
•在患者的正前方拍照,相机应与被拍摄物成90°。
•在1:1 (1:1.5)视图中,只能拍到4~6颗牙齿。
上前牙照
侧面观
1:1 (1:1.5)放大倍率
需要使用拉钩

•侧切牙应位于照片中央,纵向平分照片。
•照片的中线应水平平分侧切牙(请勿使用切平面作为水平中线)。
•拉钩不应出现在此图中。照片中的龈缘应清晰可见。
•下颌牙不应出现在此视角中。
•可以使用背板拍照。如使用背板,应避免出现阴影。
•相机应与侧切牙唇面成90°角放置。
•近相机处的拉钩应尽量向后牙区域牵拉,远相机处的拉钩应尽量向远离牙齿的方向牵拉。
•在1:1 (1:1.5)视图中,只能拍到4~6颗牙齿。
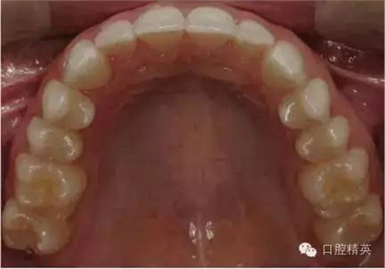
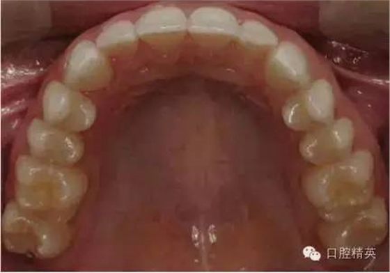
上颌合面照
合面观
1:2 (1:3)放大倍率
需要使用拉钩及反光板

•合面照需要使用成像清晰的反光镜。
•请拍摄时使用拉钩,否则软组织会包裹镜面阻挡牙面。
•中切牙唇面应位于相片边缘处。
•取景时应尽量减少反光镜边缘和嘴唇的暴露。患者的鼻子或非反光成像的牙齿应不要位于画面中。
•轻吹反光镜或将反光镜泡于温水中能减少镜面雾气的形成。
•相机应位于反光镜镜面45°左右处。反光镜中的成像应为牙齿的舌侧及唇侧都可见。一个过浅的拍照角会使得唇颊面及舌腭面的楔状隙角度记录有误。
•尽量暴露所有的牙齿。至少应包括从中切牙到第二磨牙近中。前牙应始终能清晰成像。
•照片中应能清晰显示上切牙边缘位置、唇颊侧及舌腭侧楔状隙。
•此照片可以从患者正前方拍摄(镜头稍向上斜),或可以直接位于病人后方而病人斜靠椅背。
•焦点位于反光镜中的双尖牙。
•开始先使用1:2 (1:3)放大倍率,然后调整放大倍率以拍摄上颌牙弓。
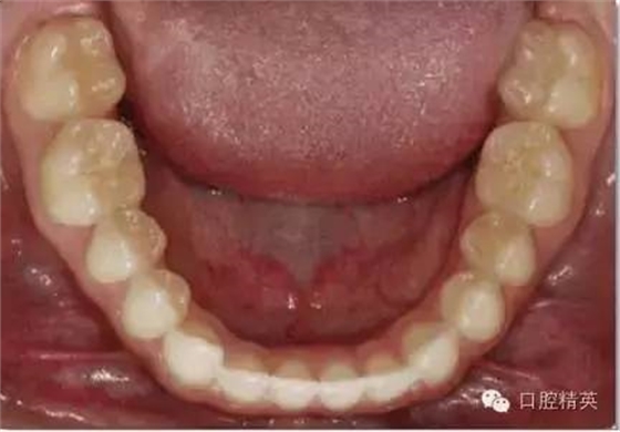
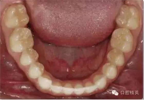
下颌合面照
合面观
1:2 (1:3) Mag nification
需要使用拉钩及反光板

•合面照需要使用成像清晰的反光镜。请拍摄时使用拉钩,否则软组织会包裹镜面阻挡牙面。
•中切牙唇面应位于相片边缘处。
•取景时应尽量减少反光镜边缘和嘴唇的暴露。患者的鼻子或非反光成像的牙齿应不要位于画面中。
•轻吹反光镜或将反光镜泡于温水中能减少镜面雾气的形成。
•相机应位于反光镜镜面45°左右处。反光镜中的成像应为牙齿的舌侧及唇侧都可见。一个过浅的拍照角会使得唇颊面及舌腭面的楔状隙角度记录有误。
•尽量暴露所有的牙齿。至少应包括从中切牙到第二磨牙近中。前牙应始终能清晰成像。
•照片中应能清晰显示下切牙边缘位置、唇颊侧及舌腭侧楔状隙。
•此照片可以从患者正前方拍摄(镜头稍向下斜,患者头部向后靠)。直接位于病人后方拍摄会非常困难。
•患者舌头应尽量避免遮挡牙面,应嘱患者尽量后缩舌头,或用反光镜子挡住舌头。
•焦点位于反光镜中的双尖牙。
•开始先使用1:2 (1:3)放大倍率,然后调整放大倍率以拍摄下颌牙弓作者:牙医加加
临床病例展示需要有至少24张照片。其中12张治疗前照片,12张治疗后照片。如有特殊需要还要加拍特殊照。可以使用手动模式或者TTL模式拍摄。口内照片需要使用高F值以获得最大的景深。
正面照
正面观
1:10 (1:15)放大倍率
无需使用拉钩

•水平放置相机:请勿竖直相机拍摄。患者的下巴应位于照片的下边框处,整个头部应位于相片中。相机选取1:10(1:15) 放大倍率。病人的颈部有可能无法全部入境。
•患者应放松面部肌肉,自然微笑。
•患者的鼻子应位于画面的中央。
•使用瞳孔连线及面中线来确定相机的水平向及垂直向的位置。建议不要使用牙齿及嘴唇来确定水平垂直标准。
•确定好患者的位置,避免背景上出现过于明显的阴影。明显的阴影通常意味着患者身体离背景距离过近。
•使用纯色,不反光的背景。
•应位于患者正前方拍照,避免形成角度影响切牙平面的问题。
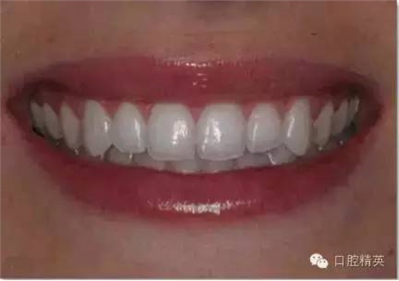
大笑照
正面观
1:2 (1:3)放大倍率
无需使用拉钩

• 自然大笑,记录此状态下露出的最多牙齿数目及露龈情况。面部其他肌肉应为放松状态。
•照片的纵向中心应为上唇人中交接点。
•不要主动移动相机补偿中线不齐的问题。
•上颌牙齿的切缘平面应为相片的水平中线。如果患者的切缘平面在正面照中为倾斜的,此照片应如实记录,而不要旋转相机补偿牙齿的倾斜角度。
•应位于患者正前方拍照
•避免相机与牙齿形成角度引起切平面的问题。相机应与对象的纵向和横向均成90°角,以避免切平面倾斜的问题。
•使用1:2 (1:3)放大倍率,患者的嘴唇应全部位于画面内。请注意下颌牙齿不一定能在此时露出。
•在中切牙及侧切牙处对焦。选取适当的景深(通过高F值获得)使得尽可能多的牙齿在焦距内。
•此照片无需设置背景。
大笑照
侧面观
1:2 (1:3)放大倍率
无需使用拉钩

•自然大笑,记录此状态下露出的最多牙齿数目及露龈情况。面部其他肌肉应为放松状态。
•照片的纵向中线应为侧切牙。
•相片的水平中线为切缘平面,垂直于纵向中线。
•在侧切牙处对焦。选取适当的景深使得尽可能多的牙齿在焦距内。
•此视角并非矢状面,因此对侧的中切牙,甚至是侧切牙、尖牙应能在照片中显示。•可能会出现一些背景画面。尽量将背景放置在远相机侧,并尽量摆成阴影最小的角度。如果阴影过大,可能会造成牙齿不对称的错觉。
•保持1:2 (1:3)放大倍率。
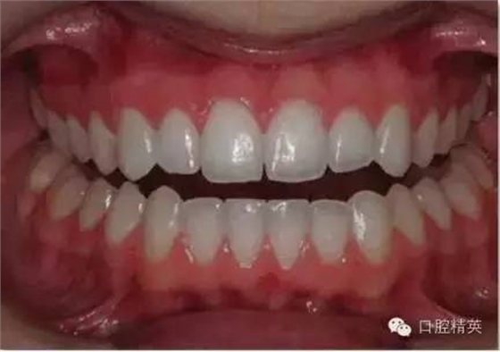
上下颌牙列照
正面观
1:2 (1:3)放大倍率
需要使用拉钩

• 上下颌牙应轻微张开使得切端清晰可见。这样有利于切缘平面喝切缘楔状隙的分析。
•露出尽量多的牙龈。对称放置拉钩,以免造成倾斜的假象。将拉钩向远离牙齿的方向拉。
•减少相片中嘴唇及拉钩的影像。
•待治疗的牙齿及周缘组织应能清晰可见。牙龈高度及轮廓应不被遮盖。
•脸部中线应作为照片纵向中线。对其人中可能有些帮助,但是拉钩有时会造成软组织的偏斜。
•相片的水平中线为上牙切缘平面,垂直于纵向中线。
•相机应位于拍摄对象正前方,并与其成90°角。避免倾斜相机,或者发生垂直向角度偏斜的问题(俯拍或仰拍)。
•在中切牙及侧切牙处对焦。选取适当的景深(通过高F值获得)使得尽可能多的牙齿在焦距内。
•舌头应往后缩,以免遮挡牙面。
•使用1:2 (1:3)放大倍率,使得上下颌牙弓均位于焦距内。
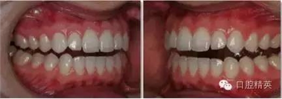
上下颌牙列照
侧面观
1:2 (1:3)放大倍率
需要使用拉钩

•上下颌牙应轻微张开使得切端清晰可见。这样有利于切缘平面喝切缘楔状隙的分析。
•露出尽量多的牙龈。对称放置拉钩,以免造成倾斜的假象。将拉钩向远离牙齿的方向拉。
•尽量减少相片中嘴唇及拉钩的影像。
•待治疗的牙齿及周缘组织应能清晰可见。牙龈高度及轮廓应不被遮盖。
•纵向中线应为侧切牙的中线。
•相片的水平中线为切缘平面,垂直于纵向中线。再现天然牙的不对称性
•焦点应位于侧切牙处。选取适当的景深(通过高F值获得)使得尽可能多的牙齿在焦距内。舌头应往后缩,以免遮挡牙面。保持1:2(1:3)放大倍率。
•此视角并非矢状面,因此对侧的中切牙,甚至是侧切牙、尖牙应能在照片中显示。 紧记照片的中心应为侧切牙。
•如果拉钩的放置位置及合理地取景,远离相机侧的软组织应能遮盖大部分背景区域。
上前牙照
正面观
1:1 (1:1.5)放大倍率
需要使用拉钩

•上前牙应位于照片中央,用中线及唇系带作为参照点平分照片。人中在此视角中应无法暴露。
•照片的中线应水平平分中切牙(请勿使用切平面作为水平中线)。
•拉钩不应出现在此图中。照片中的龈缘应清晰可见。
•下颌牙不应出现在此视角中。
•可以使用背板拍照。如使用背板,应避免出现阴影。
•在患者的正前方拍照,相机应与被拍摄物成90°。
•在1:1 (1:1.5)视图中,只能拍到4~6颗牙齿。
上前牙照
侧面观
1:1 (1:1.5)放大倍率
需要使用拉钩

•侧切牙应位于照片中央,纵向平分照片。
•照片的中线应水平平分侧切牙(请勿使用切平面作为水平中线)。
•拉钩不应出现在此图中。照片中的龈缘应清晰可见。
•下颌牙不应出现在此视角中。
•可以使用背板拍照。如使用背板,应避免出现阴影。
•相机应与侧切牙唇面成90°角放置。
•近相机处的拉钩应尽量向后牙区域牵拉,远相机处的拉钩应尽量向远离牙齿的方向牵拉。
•在1:1 (1:1.5)视图中,只能拍到4~6颗牙齿。
上颌合面照
合面观
1:2 (1:3)放大倍率
需要使用拉钩及反光板

•合面照需要使用成像清晰的反光镜。
•请拍摄时使用拉钩,否则软组织会包裹镜面阻挡牙面。
•中切牙唇面应位于相片边缘处。
•取景时应尽量减少反光镜边缘和嘴唇的暴露。患者的鼻子或非反光成像的牙齿应不要位于画面中。
•轻吹反光镜或将反光镜泡于温水中能减少镜面雾气的形成。
•相机应位于反光镜镜面45°左右处。反光镜中的成像应为牙齿的舌侧及唇侧都可见。一个过浅的拍照角会使得唇颊面及舌腭面的楔状隙角度记录有误。
•尽量暴露所有的牙齿。至少应包括从中切牙到第二磨牙近中。前牙应始终能清晰成像。
•照片中应能清晰显示上切牙边缘位置、唇颊侧及舌腭侧楔状隙。
•此照片可以从患者正前方拍摄(镜头稍向上斜),或可以直接位于病人后方而病人斜靠椅背。
•焦点位于反光镜中的双尖牙。
•开始先使用1:2 (1:3)放大倍率,然后调整放大倍率以拍摄上颌牙弓。
下颌合面照
合面观
1:2 (1:3) Mag nification
需要使用拉钩及反光板

•合面照需要使用成像清晰的反光镜。请拍摄时使用拉钩,否则软组织会包裹镜面阻挡牙面。
•中切牙唇面应位于相片边缘处。
•取景时应尽量减少反光镜边缘和嘴唇的暴露。患者的鼻子或非反光成像的牙齿应不要位于画面中。
•轻吹反光镜或将反光镜泡于温水中能减少镜面雾气的形成。
•相机应位于反光镜镜面45°左右处。反光镜中的成像应为牙齿的舌侧及唇侧都可见。一个过浅的拍照角会使得唇颊面及舌腭面的楔状隙角度记录有误。
•尽量暴露所有的牙齿。至少应包括从中切牙到第二磨牙近中。前牙应始终能清晰成像。
•照片中应能清晰显示下切牙边缘位置、唇颊侧及舌腭侧楔状隙。
•此照片可以从患者正前方拍摄(镜头稍向下斜,患者头部向后靠)。直接位于病人后方拍摄会非常困难。
•患者舌头应尽量避免遮挡牙面,应嘱患者尽量后缩舌头,或用反光镜子挡住舌头。
•焦点位于反光镜中的双尖牙。
•开始先使用1:2 (1:3)放大倍率,然后调整放大倍率以拍摄下颌牙弓
来源于口腔精英
        




