釉质发育不全的病因主要认为由于遗传的基因突变引起,若部分或大多数牙齿缺乏釉质可引起冷热敏感痛;不完全萌出导致的牙冠短小、垂直距离降低可影响咀嚼功能;牙釉质缺失引起牙齿外形异常对患者心理有一定影响。因此治疗目标应包括缓解疼痛、修复缺陷,恢复美观和功能等。治疗方案需根据病人年龄、疾病的类型及严重程度、口内特点如余留牙及缺失牙等制定,常用方案有手术开窗并正畸牵引助萌,覆盖义齿、固定义齿或种植义齿修复等。
一名 17 岁的女病人因牙齿异常伴影响语言、美观等功能到儿童牙病科就诊,经诊断为釉质发育不全伴错牙合畸形,来自土耳其伊斯坦布尔大学牙学院的学者 Apaydin 及其同事将此病例发表在 BMC Oral Health。
该患者 12 岁时已诊断为釉质发育不全。家族史正常,否认全身系统性疾病。全身系统检查无明显异常,检查双侧颞下颌关节、开口度正常。口内及 X 片检查见上颌缩窄,上颌牙列缺失,安氏三类错牙合,下颌牙牙冠短小,牙根正常。上颌大量牙槽骨因以前手术干预而丧失,后牙区牙槽骨高于前牙区。病变牙齿在之前的治疗中已被拔除。

图 1. 术前正面照


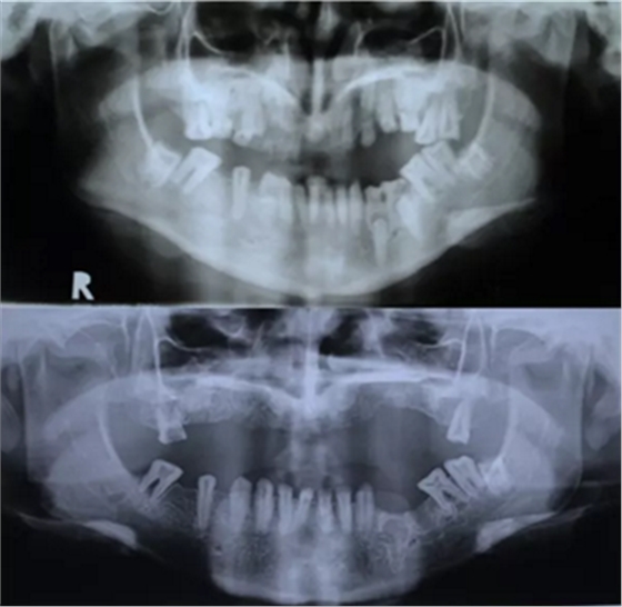
图 2. 曲面断层片(术前、拔牙后、种牙后)

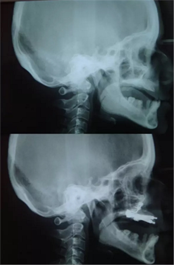
图 3. 侧位片(术前及牵张前)

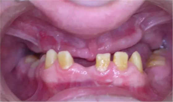
图 4. 术前口内照
该患者的治疗目标是恢复牙颌面的正常功能和美观,包括颌骨的垂直关系及咬合关系。治疗步骤分别是术前诊断,制备引导性义齿,外科手术(Le FortⅠ型截骨牵张成骨),种植体植入及最终的义齿修复。上颌牵张 10 天(每天 0.5 mm×2 次),二期拆除牵张器并行种植体植入,术后出现轻微的感觉异常及开口困难,症状于 2 周后缓解。经头影测量可见 A 点、ANS 点、上唇、鼻尖点分别前移 6 mm、 8 mm、5 mm、2 mm。最后行义齿修复上颌牙列缺失。患者对最终的美观及功能恢复感到满意。

图 5. 带牵张器的颅骨模型

图 6. 安放牵张器及义齿引导

图 7. 手术前后头影测量数据

图 8. 术后正面照
编者注:个人觉得该病例存在一些不足之处,1. 缺少拔牙前的具体检查结果及拔牙指证,由拔牙前曲断观察应可保留个别牙根进行桩冠修复;2. 缺少种植后上下颌具体修复内容及治疗全部结束后的影像学检查及口内照片,不能很好的展示治疗效果。欢迎大家进行讨论。
来源:口腔时间

