宇森医疗专门搭建的专家-医生-厂家三方学习、交流、互通平台,旨在多识同行,扩大交流,增加知识。主要探讨口腔医院、牙科诊所牙科、口腔方面、及与牙相关知识,传播正能量。

邀请知名专家为我们分享和讲授与牙科相关技术技能知识及知讯,欢迎大家加入字森公益微学堂共同探讨,共同学习......
第二十五期微学堂回顾
主讲:孙书昱
孙书昱老师简介:
主任医师,牙体牙髓副主任, 广东省口腔医院牙体牙髓科 主任医师。2003年硕士研究生毕业,研究方向为牙体牙髓病学,擅长于牙体牙髓病的诊断、龋齿、牙髓炎、根尖周病的治疗以及前牙美容修复。
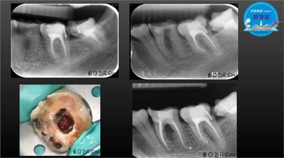
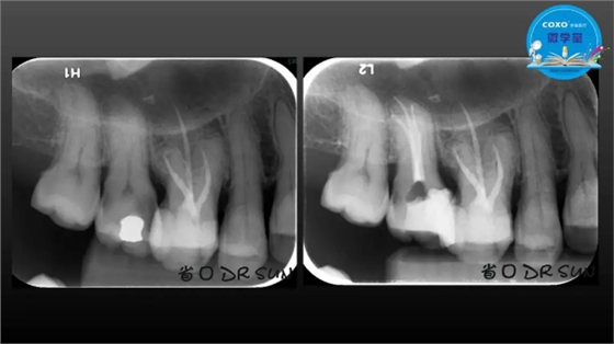
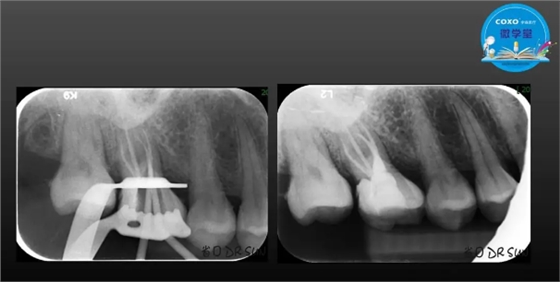
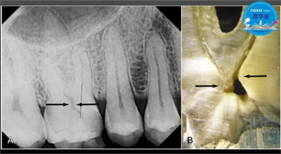
课程内容










































































原创 COXO宇森医疗



