
一名43岁的男子寻求正畸治疗以关闭前牙区间隙。在常规记录的印模过程中,正畸助手对金属托盘施加了过大的压力; 2天后,患者自述覆盖在下颌舌骨嵴上的一小块粘膜脱落,并将其转诊给颌面外科医生,诊断为舌侧下颌骨坏死。 讨论骨坏死的病因,以及可能存在于基底骨质的必须在印模之前仔细检查的解剖变异。
正如美国口腔颌面外科协会在一篇2014年更新的关于药物相关性下颌骨骨坏死的论文中指出的那样,舌侧下颌骨坏死是一种常常与使用双膦酸盐,抗骨质吸收药物(狄迪诺塞麦)和抗血管生成治疗相关的临床病症。
据观察,在解剖学上,这些病变在下颌骨比在上颌骨(2:1比例)更常见,通常在薄的粘膜覆盖骨突起的区域(即骨突,骨性外生骨疣,下颌舌骨嵴)。并且这些病变通常在粘膜损伤后或在常规牙科拔除术后,或者在一些偶尔能导致下颌骨骨性分离的临床操作中自发发生。
本病例报告描述了一名43岁男性在口腔正畸研究模型的牙齿印模后舌侧下颌骨骨坏死的发病情况。
诊断和病因
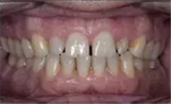
一位寻求改善微笑面容的43岁荷兰阿尔梅勒男子通过其全科牙医的介绍来到一家正畸医生的私人诊所,以纠正其错合畸形并在上颌前牙区域放置6个贴面。他属于牙形I类错合畸形,轻度骨性III类,覆合和覆盖减少以及前牙区存在间隙(图1)。
该患者为患有哮喘和高血压的非吸烟者,在2013年接受过胃旁路手术以治疗肥胖症。在旁路手术后,他开始每日服用泮托拉唑(抗酸剂)和氢氯噻嗪(利尿剂)。他的体重正常,他经常运动。
在正畸咨询前,患者定期跟随牙齿保健师,以控制牙菌斑和牙龈炎症,并在上颌第一磨牙和第二磨牙以及下颌右侧第一磨牙和第二磨牙区域进行洁治和根面平整。经过6个月的牙周健康维护,患者的全口出血指数低于15%,全口菌斑指数低于15%,被认为有资格接受正畸治疗。
在最初的正畸咨询期间,拍摄了口内和口外照片连同一张全景片(图2),一张侧位头影片(图3)和正畸研究模型的海藻酸盐印模。







用最大的金属托盘来印模(尺寸 6 X-Large Upper[navy] and Lower [navy] 永久锁不锈钢印模托盘; ASA DENTAL,Jericho, NY),但下颌托盘不够伸展,也就是不能很好地适应患者口腔的解剖结构; 此外,进行印模的助手身体健壮,在操作过程中施加了过大的压力,导致了患者下颌舌骨嵴区域的疼痛。
两天后,患者自述覆盖在下颌舌骨嵴的一块粘膜脱落,暴露了下方的骨质(图4),伴有疼痛和烧灼感,特别是与某些食物(面包,辛辣食物)相关。 因此,他被转诊到了荷兰阿姆斯特丹的学术医学中心的口腔颌面外科治疗舌侧下颌骨骨坏死。
治疗计划
治疗方案要求对该区域进行手术清创,去除死骨,并使该部位出血,以促进愈合过程的快速开始。
在最初的颌面部咨询,也就是在骨坏死发生后2周,开展了暴露骨质和无血管骨质的切除术,以减少患者的不适。 因为手术继发愈合过程(以形成肉芽组织和随后的再上皮化为特征)迅速发生,粘膜的外科缝合是不必要的。处方阿莫西林(500毫克,每日3次,2周),以及每日2次2毫克氯己定漱口液,直至粘膜愈合完成。
另一种治疗方案相对保守,基于全身抗生素治疗和抗微生物药物冲洗,直至发生无血管骨的吸收和死骨的自发剥脱,但患者的不适感可能持续更长时间。
外科手术两周后,病变愈合,患者自述无不适(图5)。
在病变发生两个月后,颌面外科医生同意开始正畸治疗。

图4. 右侧下颌舌骨嵴区域的舌侧下颌骨骨坏死

图5. 手术2周后病损部位愈合
讨论
在牙齿印模之后,死骨的暴露是一种罕见的并发症,并且会导致患者疼痛和不适。它可以通过手术(只要去除死骨并促进血液循环)或在骨质分离和脱落后自发地治愈,定义为由于病灶骨坏死,与周围骨分离和边缘骨质吸收而形成的局部骨坏死。作为对各种局部或全身因素的反应,骨质分离通常与骨质血液供应的中断有关。
正如文献报道的那样,我们将坏死性病症的发生与牙齿印模期间发生的创伤相关联,这又导致血液供应减少和该区域的缺血性病变。
该区域的血液供应由下牙槽动脉保证,下牙槽动脉沿下颌支的内侧表面下降,并在进入下颌管之前,产生下颌舌骨动脉,并参与同一肌肉的血液供应。
在下颌管内,下牙槽动脉发出小分支,这些小分支分别供应牙髓,牙周韧带,牙槽骨膜,牙龈和下颌骨的血液循环。
具体而言,在触诊时,患者表现出显着的下颌舌骨嵴,其可能是由薄层角化粘膜覆盖区域的缺血性病变(由于过度压力)的诱发因素。
文献还报道了由于骨性突起被一薄层伸展并萎缩的粘膜覆盖,因此骨突,骨性外生骨疣是易于发生骨坏死的区域。与口腔其他部位相比,这些区域受到相同创伤,会更容易中断血液供应,因此使骨骼暴露。
文献还指出了用双膦酸盐治疗的患者或接受抗骨吸收治疗和抗血管生成治疗的患者更容易发生骨坏死,但根据临床病史,我们患者未使用这些药物和治疗。他每日服用泮托拉唑(在2013年的胃旁路手术后)和氢氯噻嗪(用于控制高血压);他也患有哮喘,但没有服用药物。他是一名非吸烟者,在印模之前也没有接受任何牙的拔除术。
为了报告骨坏死与日常使用这些药物或胃旁路手术之间的可能相关性,在PubMed上进行了详细的搜索。据我们所知,没有正畸期刊先前报道过这种并发症,文献也没有支持骨坏死与泮托拉唑或氢氯噻嗪的摄入之间的任何相关性,也没有发现骨坏死与哮喘,高血压之间的相关性,以及胃旁路手术。
因此,我们将这种情况的病因归因于创伤性伤害。
结论
常规的牙齿印模很少会导致患者易患解剖部位的骨坏死;然而,这种情况表明,正畸医生和正畸助理(在承认他们的国家)应该密切关注患者基底骨质的解剖结构,主要在下颌骨。如果发现解剖变异,则应相应修改托盘,并且印模的过程应温和谨慎。
或者,塑料可塑托盘或最近引入的三维口腔内扫描仪可以替代金属托盘,从而有效地克服了这种并发症。
考虑到这些临床步骤,临床医生可以将这种罕见和意外并发症的风险降至最低。
来源:浙一口腔正畸林军

