关于比色的若干问题
(转) 口腔人才网
主要分以下几个方面和大家讨论
一, 主题说明及相关的基础知识。
二, 与牙齿颜色匹配相关的临床内容及存在问题(以烤瓷修复为主)
三, 如何尽可能的达到修复体与天然牙齿的颜色匹配。
四, 简要介绍其他类型修复体的比色问题
五, 就病例图片进行简要分析。
好,下面我们开始。
确切的说,我们今天讨论的内容应该是人工牙与天然牙的颜色匹配问题。这个题目很大,是门很深的学问,水很深。在这里我只敢以一个初学者的身份和大家做个讨论,分享一些读书与临床实贱心得。说得对的地方,大家受益,不对的、不确切的地方,欢迎大家拍板砖。
一, 主题说明及相关的基础知识。
广义上来说,牙齿颜色的匹配问题应该包括以下几个方面:
1, 固定义齿和牙齿美容修复中的牙齿颜色匹配问题。这包括瓷贴面技术,金属烤瓷冠技术,各种全瓷冠技术等的颜色匹配问题。
2, 活动义齿修复中人工牙与剩余牙齿及软组织的颜色匹配问题。
3, 牙体修复中直接树脂充填,各种树脂与天然牙的牙齿颜色匹配,树脂嵌体与瓷嵌体的牙齿颜色匹配问题。
狭义上来说(就国内现状而言),
我们现在理解的牙齿比色问题主要是金属烤瓷冠的牙齿颜色匹配问题。今天我讨论的主要问题就是这个方面就目前我读到的文献来看,颜色匹配地最终完成基本上可以分为两个过程,一个纽带。
第一个过程就是我们现在广泛谈论的牙齿临床比色问题。这个过程是牙医采用各种方式对天然牙齿进行描述的过程。有点象画家对一个静物进行素描。是个二维的平面的过程。这个过程有两种方法,一种是牙医视觉感受与比色版相匹配得到信息,另一种是采用比色仪
第二个过程就是我们最不满意,作为临床医师很痛苦的颜色再现,或者说技师通过烤瓷、全瓷修复体地制作把我们医生描述的颜色表达出来的过程。有点象雕塑家根据画家的描述、速描雕刻出让患者满意的仿真人工牙的过程。
一个纽带就是医生和技师交流的过程。具体形式我们后面再加以讨论。
一个成功的烤瓷牙颜色匹配以上三者缺一不可。
在我们以前的教育和读到的基础研究中,以第一个牙齿临床比色过程为研究对象的比较多。
关于第二个颜色再现过程影响和研究的比较少。
在这两个过程中,牵涉到太多的要素。
在牙齿比色阶段,
客观的影响因素包括以下几点:
就牙齿本身有牙齿表面的形态、纹理、光泽、明度、饱和度、色相等。
就环境而言包括牙龈的颜色、唇红的颜色、衣服的颜色、光源等
就标准而言有不同的比色板,即便是相同品牌的比色板也存在微小的差异。
主观影响因素包括以下方面:
1, 医生是否有色盲、色弱,导致颜色识别方面的障碍
2, 医生是否视觉疲劳。
3, 医生是否遵循比色的基本原则
4, 医生是否了解牙齿结构并对技工所用瓷粉有足够的了解
在第二个过程中,影响的因素就更多了。我们就不细细一一讨论了。
下面我们就以上提到的一些色彩学重要概念进行粗略的解释。
颜色的明度,是一个物体表面反射光线的数量的表现.。在颜色匹配中是最重要的因素。Munsell把明度描述为由白到黑的灰度变化的过程。明亮的物体灰度较低,低明度的物体表现为更高的灰度表现得更暗。一个牙冠的明度的增加有两种方式:第一是使用颜色浓度低(即低饱和度)的瓷粉。第二是增加牙齿表面光线的反射。免费口腔招聘整理降低明度意味着减少物体表面的反射光线;更多的光线被吸收、散射到其他方向,或者透过被照射物体。VITA16色比色板上表现为同一色系内A1,A2,A3等
颜色的饱和度,也叫彩度,是颜色的强度。打个比方,将红染料放在一杯水里,每次加入一些相同的颜料,颜色强度在增加,但仍然是红色(色相)。加入颜料越深,混合物看起来越暗,相应的饱和度就在增加,明度也会有相应的变化。当颜色的饱和度增加时,明度是下降的。饱和度和明度成反相关。VITA CLASSIC比色板上同一颜色内是根据饱和度增加来表达的。
色相,也就是什么颜色,在VITA16色板上以A、B等表示。
透明度
在牙科瓷修复中,我们努力模仿牙齿的外观。我们的天然牙齿以各种变化的透明度为特征。一般说来,增加牙齿的透明度会降低牙齿的明度。因为有更少的光线被反射回我们的眼睛。釉质的透明度受到很多因素的影响,包括入射光角度,牙齿表面的纹理和光泽,光的波长以及牙齿脱水的程度。通过透明釉质层的制作,烤瓷技师可以获得颜色的深度,更加生动的表现牙齿。
萤光
荧光现象主要是由于材料吸收光然后释放出更长波长光的现象。使得物体表面看起来更明亮,更生动。天然牙,荧光现象主要发生在牙本质,因为牙本质中的有机物含量更高。牙本质荧光越多,色饱和度越低。现在市场上荧光瓷粉主要是增加了从烤瓷牙返回观察者的光线的数量,阻断退色,减少色饱和度。对于高明度的颜色这点很重要,因为使用荧光瓷粉在牙本质瓷层时可以增加明度而不会影响透明度。
颜色观察
人眼有三种锥形视细胞,每种对三原色光之一敏感(红、绿、蓝)。我们的眼睛是不能分辩颜色样本组分的波长的。两种不同的颜色,混合后,表现为第三种颜色,没有一个人能分辩出原色。最终,我们看到的颜色是主波长或者平均波长。辨别颜色的能力因人而异。
残象及视觉变形。残象是指正常功能下对视锥细胞频繁的生理刺激导致的视觉的改变。具体表现在临床医生,是扩展现象。如果在相邻颜色区域间同时看,眼睛会非自主的在两个颜色区域间徘徊。这时我们看到的任何一个颜色都是二者颜色的结合。这就是为什么在比色时在比色板与天然牙间迅速在几秒内作出判断的原因,因为二者会看起来越看越象。
残象的另一个负面效应是视锥细胞的疲劳,进而对相应颜色不敏感。与牙齿相邻的强烈的唇红会使红色视锥细胞疲劳,而蓝色和绿色细胞仍然保持兴奋。这点可以解释为什么我们牙齿看起来象蓝绿。
残象总是表现为我们所观察到颜色的补色。用中性灰的背景休息眼睛。反射度为18%的灰度板是照相业标准的消除色差背景。蓝色的是不适宜的,因为蓝色可以引起残象,进而将观察到的颜色偏倚为蓝色的补色,桔黄色。一些学者建议使用蓝色背景使得眼睛对桔黄色更敏感,但这仅仅使相应的视锥细胞疲劳,并不能使得眼睛更敏感。反射度18%的灰度板没有补色(因此,也没有残象产生),而且也有足够的明度来限制牙齿与背景间明度造成的对比度。
光的反射
在牙齿颜色匹配影响因素列表上,认识到色相和色饱和度是排第五、第六位的因素是很重要的。在鉴别颜色细微差别的问题上,人与人的差别是很小的。但是,牙齿形状、表面形态、明度,透明度却可能相差很多。
牙齿看起来是什么样子更多的是决定于光线如何与弯曲和多变的牙齿表面发生的关系。平滑的镜面样的牙齿表面光线直接反射回来,看起来就更亮,很突出。将牙齿唇面修整平滑会使得牙齿看起来颜色更浅,明度更高。表面反射的光越多,返回眼睛的波长就越多,将牙齿表面纹理弄粗会降低明度。大多数牙齿是凹凸不平的不规则表面。
表面纹理
牙齿表面形状是颜色匹配中第二重要的因素。表面形状直接影响光如何与牙齿表面发生关系,回到我们眼睛的光的质量和数量。即表面纹理直接影响牙齿的明暗度。粗化的纹理会散射光线,纹理可以分为几种:垂直的,水平的,变形的。垂直纹理最早组成牙齿表面高点如发育叶、边缘嵴。水平的纹理是在垂直纹理基础上形成的。水平纹理的方式与垂直纹理的凹面一致,但垂直纹理不受水平纹理影响。当修复体表面修整纹理时,先做垂直纹理,后做水平纹理。
牙齿颜色特性
色饱和度主要由牙本质决定,天然牙齿颜色倾向于黄到桔黄色的范围。A系列在黄色谱中红的末端,B系列在黄色谱绿的一端。
不同的牙齿属于不同的颜色家族。尖牙最红,接下来时中切牙,再次是侧切牙。在前牙,牙颈部红比牙中部和切缘要红。
明度主要决定与牙齿表面反射光的量。
侧切牙透明度最高,。
上尖牙比上切牙高一到两个色阶。
漂白牙齿的颜色
漂白后的牙齿在颜色、色饱和度、透明度等方面都有变化。漂白可以导致牙齿脱水,还使得羟基磷灰石晶体间色素有机物变淡或者分解,这些都极大的改变了牙齿表面的光的运行方式。漂白时间长后,还会影响亚本是。普通的晶粒是透明的,当压碎后,不透明度增高,加水后,重新透明。脱水可以导致釉质不透明度的增高,光线不能从羟基磷灰石晶体穿过。透明度的下降使得牙齿看起来更明亮。由于釉质反射光谱的变化,牙齿的颜色改变了。最近刚漂白过的牙齿颜色是不稳定的。牙齿配色至少要在一个月后进行。这点很重要。漂白的反弹更多的是由于釉质恢复脱水前的状况。
有了以上的知识,分析现在我们面对的临床问题,就有了理论依据。
二, 与牙齿颜色匹配相关的临床内容及存在问题(以烤瓷修复为主)颜色
我们临床制作的修复体进入患者口腔内,对于牙齿的形态,现有的技工厂加工出来基本临床上还是可以接受的。患者是外行,看不出多少问题来,可是,他至少可以分辨出这个颜色是否与相邻的牙齿颜色匹配。做修复至今有6六年了,对我来说,最紧张的时刻是烤瓷冠试戴前。因为这个问题在每个修复体都可能出现。
有研究表明,一般临床医师比色正确也就是30%左右。
为什么呢?我们从以下几个方面来分析
第一,观察者的影响。
一般说来,牙医在视觉生理学和颜色学方面的训练很少。虽然说颜色感觉是主观性强,因人而异。但是有学者认为通过牙科步骤中的训练,色差,视觉,描述是可以得到极大改善的。客观的说,在修复医师里男性占多数,(美国90年代数据),男性中颜色缺陷的占到8~13%左右,这个比例是不低的。对于这样的医师,最好请自己培训出来的助手残余比色过程。
其次,在牙医与技师之间的沟通不畅是显而易见的。
第二,观察环境的影响。
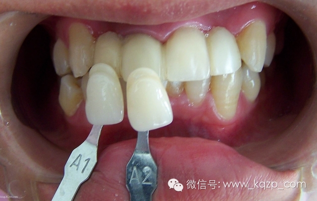
第三.比色板的影响。现有商用的比色板并不能覆盖牙齿的颜色。还有比色板制作是全瓷粉烤制,但是这并不符合临床金属烤瓷冠的实际状况。缺乏金属支持会误导比色者。
第四,现有的比色技术是不确切的。尽管已经发明的比色仪,但是,由于影响牙齿颜色的因素千变万化,比色仪的作用也是有限的。
第五,医技沟通。很有趣的是,我们牙科医生给技工的信息是如此的少,可是我们对牙科技师的要求和期望却是很高很高。“比A3暗点“这样很模糊不清的描述让技工室摸不着头脑。
在临床上我们参照一些公认的比色要点,比如《固定修复学精要第三版》里面有:
1, 应用和技师所用瓷粉匹配的比色板。
2, 颜色匹配在修复预备前进行。
3, 选色前去掉颜色鲜艳的物体。
4, 病人端坐,与医师眼睛平齐,观察迅速。
5, 将色片的切端与牙齿切端比较
6, 半闭眼来提高辨别亮度的能力
7, 确定透明层的表现方式。
8, 设计单上画出牙齿唇面,标示所有相关信息。
临床医师可以创造更好的环境来观察牙齿。如果配色的质量由牙齿形状、表面形态、明度、透明度、颜色和色饱和度来决定,寻找最优的方式来评估这些要素是必要的。最早确定的应该是牙齿的明度和颜色、色饱和度。
明度来自两个方面,一个是牙齿的色饱和度,一个是牙齿表面的反射能力。
在确定色饱和度和颜色时,需要用灰色板或者灰色前围。
大多数天然牙都比B系列的色板含有更多的红。大约80%的天然牙颜色更接近A系列。
透明度最好用黑背景来评估。评估透明区最好的方法是寻找乳白蓝区。黑背景可以阻止。
画一个三维图像来描述牙齿表面特点。
所有的比色都是在打开牙科治疗椅灯前进行的。牙椅灯太亮,引起眼睛疲劳。
一定要记得描述牙齿切缘和合面的色深点。
可是,按照这些做了,我们能达到理想的效果么?不能。还是有可能出问题
临床中出现的问题最多的就是烤瓷冠太白、太亮,比我们的天然牙亮。出现这个问题的原因有医师的原因,也有技师的。用色彩学的术语就是颜色高明度,低饱和度
医师的原因
第一是牙体预备量不足,整体预备量的不足,表现为牙齿整体显白,显胖。局部预备量不足表现在两个方面,一个是在牙颈部三分之一,一个是中三分之一与切三分之一交界处,技师为了遮住金属的颜色,不透明层是必须的,相应的牙体瓷就少了,光线大多数都被不透明瓷反射回来了,明度自然就增高,不会与天然牙一致。
第二是医生对比色板过于依赖,没有系统的传递应有的信息给技师。
三, 如何尽可能的达到修复体与天然牙齿的颜色匹配。
这里我们并不讨论如何去具体的比色,在我们修复工艺版有篇很好的文章,不长,但很简要。仅仅谈谈我自己的一些理解。
1, 医师首先要对色彩学的这些影响因素有个全面的了解,这样才能指导我们的临床实贱。
2, 选用比较系统和全面的比色板。现有的各种比色板并不能覆盖所有的牙色,每种比色板都有其相应的颜色系统。我们选用的颜色系统越全,我们可以描述牙齿颜色的选择就越多。
现在市场上比较成熟的烤瓷比色板主要是VITA 16色,VITA3D,松风比色板等两个系统。
VITA16色是比较传统经典的一个比色板,但是有很大的不足。
一年前我开始使用VITA3D比色板后,感觉颜色选择余地更大了。而且它先确定牙齿明度,然后确定牙齿色饱和度,最后确定颜色是比较科学的办法。但是总觉得比出来的颜色缺乏红的成分,造成色差。
前几天我接触了解了一下松风比色板,感觉不错。松风VINTAGE19色比色板要比VITA16色比色板多A5,B5,C5等几个颜色,而且都比相应的VITA更偏红一点,见图中。还有牙龈色板,可以抵消牙龈红色所造成的误差。
松风NCC比色板是现有比色系统中最全的一个。其中有42个基本颜色,见我们的图。它将色相分为偏黄色(B系),橙色(A系),偏红色(R系),排列从左到右,每组色系中色饱和度逐步增加。
这个比色系统是由三块比色板组成,分别表达三种不同级别的明度。PLUS是高明度比色板,MINUS是低明度比色板。研究表明天然牙中偏黄色的低明度牙齿几乎不存在,所以这块比色板没有B色系。
如果可能,这几种比色板最好都配备上
对于铸瓷冠,由于只能使用义获嘉公司的瓷粉,比色板也只能使用他们专用的比色板。
现在市场上我们知道的比较有名的比色仪有VITA公司的和松风公司的。不过效果不是我们想得那么理想。松风公司的比色仪报价要6万。
3, 天然牙齿是我们最好的老师,如果有可能,我们可以多多观察天然牙,提高我们的辩色能力和对牙齿结构的分析能力。国内牙医使用VITA色板A色的占60%,B色调的只有15左右
4, 对于外伤牙脱落,或者牙齿做桩核改形的修复病例,我们可以保留脱落的牙齿或者切下来的牙冠三分之二,然后交给技师,这可能是最准确的比色板了。
5, 对于四环素牙,我们可以留心以前患者拔下来的四环素牙,保证湿度,制成个别牙比色板,为以后牙齿比色做参照。四环素牙通常表现为灰红、红黄或者灰黑,一般都或多或少的含些红在里面,我们一般都要把它识别出来。我的习惯是16色板,内染红+D3+外染。但是不同加工厂的技师对内染的理解是不一样的。我在医院的那个加工厂在这方面做得很好,可是现在合作的技工厂一般不愿意给我做内染,
6, 就我得理解,我们应该向技师学习,对技工的加工流程有个清晰的认识。反过来指导自己的临床比色和牙齿颜色的描述。了解现有的瓷粉的优缺点,表现力,具体的加工工艺。具体内容有:
1)金属基底冠表面是不透明瓷,之上是牙体瓷和釉质瓷。牙齿特殊染色分为内染色和外染色技术。内染色技术是要求最高的,是直接在不透明瓷表面上各种特殊的颜色。这样制作出来的烤瓷冠才会逼真,有很好的光学特点外染色技术比较简单,但是效果一般。
2)医生比色时对牙齿颜色和透明度等分析的过程是想象技师反向制作烤瓷冠的过程,医生得分析牙齿的本质颜色,透明釉质颜色,对应到技师手里就是不同效果瓷粉的空间分布。医生把这个信息传递给技师是最重要的。
3)现在大多数的技工厂在不透明瓷粉的表面都要加一层不透明的牙本质瓷,其遮色效果是不透明瓷的30%,这点很重要。具体到原因,我们前面提到过,医生牙冠预备不够,不透明瓷粉的厚度有限,只能用这种瓷粉加强。但是缺点也是显而易见的,烤瓷冠表面反射的光势必增多,直接导致牙齿表面明度增高,显得比邻牙发亮。而且,正常牙本质瓷粉的厚度少了,牙齿应有的层次感就没了。这是没有办法的事,如果我们觉得自己牙体预备合适的话,一定要在技工单上注明不用OD瓷粉。
7, 加强医技沟通。沟通的方法主要有:文字描述,电话沟通,画图描述瓷粉的空间分布。最有效的沟通方法是把病人交给技师,由技师现场比色。这个对我们来说,可遇不可求,不具有推广性。
比较能够有效而能推广的方法是通过数码照片来发送。需要注意的是,照片时最好相机的角度是俯视10度左右,这样可以避免光线直接打在牙面上,使得牙齿表面结构和纹理失真。还可以避免牙齿表面强烈的反光。还要在比色牙附近放色标。
8,最好通过不断的摸索和合作,找到能与自己形成默契的技师。现在国内的技工加工状况实际上最不能达到我们现有的牙齿颜色匹配要求。牙齿的颜色再现问题是个艺术的过程,不是流水化能够解决的。这就好比我们现在工业这么发达,但是照样还是有画家,有雕刻家,有些东西是不能被复制的。
四, 简要介绍其他类型修复体的比色问题
1, 瓷贴面的颜色再现要受到瓷层厚度,选用颜色,牙本质底色,粘结剂颜色等的影响。如果前牙多颗牙做修复,既有贴面又有全瓷冠,一般是先做贴面,后做全瓷冠。
2, 全瓷冠中的铸瓷冠比色必须用伟瓦登特专用的比色板和瓷粉,同时还配有仿真瓷比色板。
VITA INCERAM和PROCERA还有氧化铝核的瓷沉积冠等的比色直接按照VITA的比色板比色就可以,都有相应的饰瓷。需要注意的是,这些全瓷冠的基底冠基本上不透明,所以在牙颈部必须预备出足够的肩台宽度,否则牙颈部就会透出内部的基底冠颜色,明度增高,出现颜色匹配偏差。
3, 在前牙牙齿活动义齿修复时,最好预先和技工厂做好沟通,了解到他们有哪些人工牙的颜色。一般说来,除了总义齿,一般加工厂都使用A2,A3的人工牙,他们不会为了几颗牙拆一副牙,除非有剩余的不配套的牙齿。这时,我们一定要和患者做好沟通工作。
4, 前牙树脂充填时,我们尽量选择专用的美容树脂来完成。现在有很多公司的美容树脂套装都包括牙本质色树脂,遮色树脂,釉质透明树脂等。还包括窝沟染色剂。如果没有的话,就需要利用手头的树脂来配色了。
五, 最后我们就三个病例进行分析。分析其中的得与失,
第一个病例,患者李先生,两个中切牙是大面积龋坏,根管治疗,桩核修复后,烤瓷冠修复,当时比色是内染红+3D某颜色+外染灰黄,但是第二张照片显示烤瓷冠明显颜色偏差,没有红的感觉,与技师沟通,没有内染色,患者急于回外地,不可能重新内染色,只好外染色。第三张照片显示烤瓷冠带入患者口腔,他满意,我不满意,粘固了。内染色和外染色差别很大的。
第二个病例患者比较满意,但是这个比色做了两次,第一次颜色做得很暗,第二次才做成这个状态。但是还是有两个瑕疵。第一是右上5牙根二分之一颜色不匹配,显高明度。分析原因,主要是没有象右上三一样做肩台瓷。第二个瑕疵是没有作出牙齿的红的感觉来。
第三个病例张先生是我和患者都满意的状况。



