牙齿人人都有,不仅具有咀嚼功能,关乎我们的生存,还支撑起了我们的面颊部,关乎我们的颜值。
有些人可能会有这样的疑问,自己的烂牙连牙冠都基本缺失了,只剩下残根,或者牙冠大部分缺损了,只剩下残冠了,那这颗牙齿还有保留的意义吗?是不是应该去拔掉呢?
别急着拔
或许您的牙还有救!
在临床上残根、残冠经过根管治疗能够保留且综合评估预后效果良好的,是可以选择进行保留的。

病例介绍

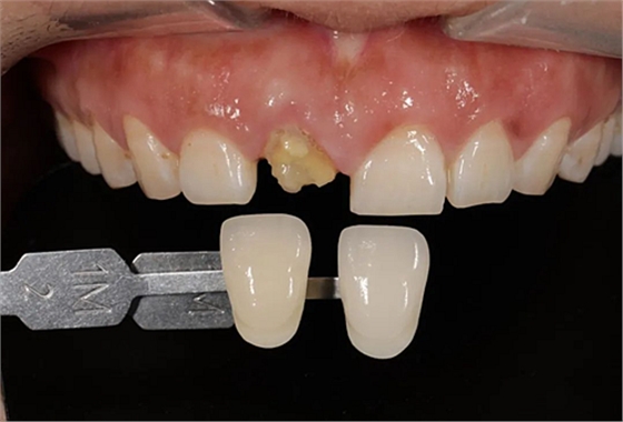
患者右上前牙因外伤冠修复体脱落来我院找口腔修复科金小婷医师治疗。经检查,患者剩余牙体组织少,经沟通确认后,进行上前牙全瓷冠修复。

△术前比色

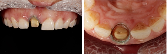
△材料充填后牙体预备

△临时牙佩戴

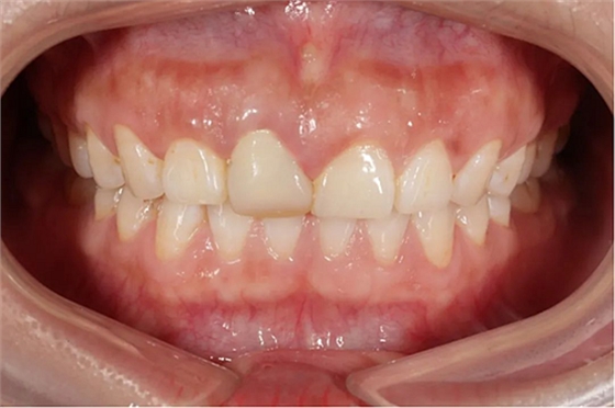
△最终修复
保留残根、残冠有哪些好处?
1.保留残根、残冠能够给予颌骨足够的生理刺激,促进牙槽骨高度及丰满度的保存率,减缓牙槽骨的吸收,维护牙列的稳定。拔除残根残冠,会加速牙槽骨的吸收,出现牙槽骨低平,甚至凹陷的情况,增加牙齿修复的困难。
2.利用残根、残冠牙周膜组织保留的神经功能,可以进行食物大小、厚度、质地及硬度的辨别。另外,牙周膜组织的本体感受器在一定程度上具有支持作用,能减缓牙槽骨的吸收。
3.保留残根、残冠并给予根管治疗及固定修复治疗,能在保证牙齿外形美观的同时保护牙齿咀嚼功能,还可以避免或减少磨除相邻的健康牙体组织。尤其是全口多数牙缺失时,保留残根、残冠有利于活动义齿的固位和保持稳定性,提高修复效果。
4.对于合并其他全身系统性疾病而无法进行牙齿拔除处理的患者,例如严重心脏病、糖尿病及高血压等,可以通过根管治疗以及修复治疗来保留残根、残冠,避免了拔牙的并发症,在保护患者牙槽骨的同时,提升患者的咀嚼能力。

从修复学角度出发,判断一颗患牙是否应该保留需要考虑以下三个因素:
1.患牙情况
主要包括剩余牙体组织量、患牙位置和牙龈等情况:牙根不松动;根周组织无病变或病变可以治愈;牙根根面应高出牙龈1-2mm或牙根根面与龈缘齐平或牙根断端位于龈下3.5mm以内;牙根的角度正常(相对于该部位)。不符合以上条件者一般应予拔除。
2.整体口腔状况
根管治疗不仅对患牙自身需要满足一定要求,对邻牙、对颌牙及整个牙列状况也要进行综合考虑。
3.患者相关的因素
对患牙治疗后的期望值、对治疗的依从性、全身健康状况、经济水平是制定治疗计划时需深层次考虑的方面。
残冠、残根的利用方式主要分为直接进行桩冠修复和义齿修复应用基牙两大类。保留的残根、残冠在修复前需要进行必要的治疗和处理:

1.彻底清除龋坏牙体组织,减少修复后继发龋发生的可能;
2.进行完善的根管治疗,彻底治疗牙髓和根尖周病变,减少因微渗漏而导致的失败;
3.进行必要的牙周治疗,控制牙周炎症,消除创伤。
另外,还可通过牙龈切除术、冠延长术、牙根牵引术等治疗方法,使牙齿暴露更多的健康牙体组织,以方便进行下一步的修复或改善牙龈形态。
来源:温医大口腔



