从事临床种植工作很多年了,自己临床上使用过的种植体也有很多种了。因为临床上使用的次数多了,所以对不同种植体的品牌就有了很深的了解。很多人会拿着X光片来问我:“医生你帮我看看我这颗种植体是什么品牌的?”其实我知道患者心理的想法,就是想让我鉴别一下这颗种植体是不是当初医生给他承诺的那个品牌,医生是不是在手术的过程中偷换了别的不好的种植体,然后给患者使用上了。
其实患者能有这样的想法是可以理解的,因为在目前中国的社会上信任危机已经很严重了,老百姓遭遇了太多的欺骗,结果就是整个社会人和人之间的信任变成了一条无法逾越的沟渠。但是,就口腔种植而言,我个人觉得医生不太可为了利益在手术中给患者偷换便宜的种植体。
因为任何一个品牌的种植体在X线片上显示的形状都是不太一样的。换句话说患者种了什么品牌的种植体,拍一张X光片就完全看出来了。这样的事情,医生是无法造假的。另外从职业道德上来讲,医生没有必要这样去做,因为一次失信讲给医生带来一辈子的灾难,一辈子的财富对于这点利益来说损失更大。
那么今天我给大家展示临床上比较常见的几种品牌的种植体的X光片,网友们可以通过X光片来仔细查看不同种植体之间的区别。因为本人能力有限,不能每一样种植体都拿来尝试使用,所以我目前收集到的种植体的X光片数量有限,但是本人日后还会不断的去寻找不同品牌种植的资料,然后补充道这篇文章中,以供大家参考。
需要特殊声明的是:以下所有的照片中有本人自己的病例术后X光片,也有本人在网络上搜集到的X光片(并非本人的临床病例),所以在此暂不讨论种植体手术植入的角度和设计方案等问题,本文的主要目的是像广大读者展示不同品牌种植体在植入颌骨内拍摄X光片后所显示的形状,用以区别不同品牌的种植体。
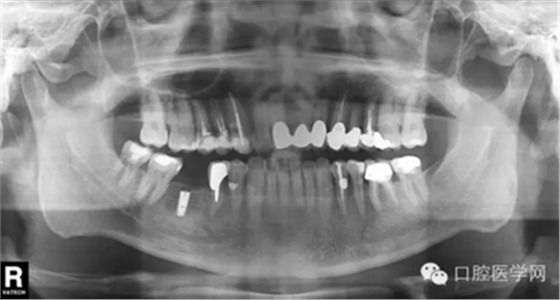
首先介绍一下最有特点的种植体,美国BICON种植体(美国百康种植体)

上面这张图片是百康种植体的照片,属于短种植体一类,独特的鱼嵴式设计是它最大的特点。
下面这张图片是百康种植体的X光片。

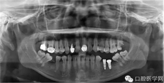
第二种种植体是 NobelReplace系统
X光片显示为:

第三种是德国Ankylos种植体

第四种,韩国奥齿泰种植体

第五种,瑞士士卓曼种植体(也称ITI种植体)

第六种,美国3I种植体

第七种 韩国美格真种植体


第八种,韩国登腾种植体

来源:高端口腔社群



