Vitique瓷贴面粘接系统的临床应用
全新Vitique瓷贴面粘接系统,专为要求严格的贴面操作而开发。8种颜色可供临床选择,配备专利注射头,特别适用于薄层的硅基陶瓷修复体和复合树脂修复体的粘结。
病例详情:
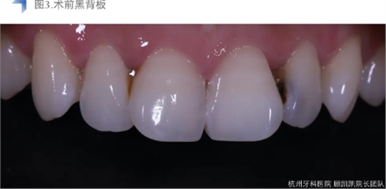
患者因左上前牙逐渐发黑,进食时冷热不适就诊,未有明显自发性疼痛。
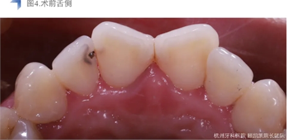
接诊后口内检查12近中邻面较大面积龋齿,探不适,叩无不适,冷热测试同时对照牙及临牙,BOP+,扪诊(-),未有异常松动度。术前CBCT检查如下图,未见明显根尖周透射影。

考虑到术前口内检查及影像学检查提示龋损较近髓,与患者沟通可能设计牙髓治疗。考虑到美学及长期稳定考量,与患者沟通直接树脂充填与间接瓷贴面修复两种修复方式,患者考虑后决定采用间接椅旁瓷贴面修复。




局麻橡皮障下去龋尽,极尽髓,iroot bp+盖髓,上面覆盖bisco硅酸钙,流体树脂洞型重建后贴面预备,排龈后Cerec Omincam光学取模,3D打印树脂模型以检查修整瓷贴面。
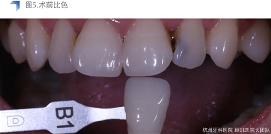
待贴面制作修整完成后,用DMG Vitique Tr.色配套试色糊剂口内试色。







小结:Vitique Tr.在本病例中试色与术后粘接未见明显差异,能恰当表现e.max B1 mt的通透度和明度,美学效果优异。考虑到患牙较近髓,长期随访和术后常规勿咬硬物及冷热刺激,十分必要。
原创 顾凯凯 DMG公司



