此患者为下颌前牙区松动牙试保留案例,牙周炎伴根尖周炎,并且31颊舌双根管。术中由于我的个人失误,导致整体治疗过程延长,特此总结,自我警醒。
患者蒋某,男性,1963年出生。2017年7月4日就诊。
主诉:下前牙松动约三年
现病史:患者约三年前发觉下颌前牙开始松动,伴加重,现影响咬合。曾于外院就诊,行牙周洁治(约一年前),建议拔除下颌前牙后种植,患者拒绝。
既往病史:否认高血压病史、过敏史、家族病史等。自述冠心病史,口服药物治疗,效果较好,近期无心绞痛等症状。
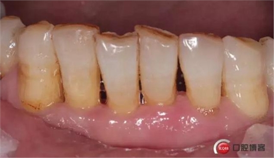
检查:口腔卫生状况欠佳,牙面可见大量色素附着,牙石II°,尤以下颌前牙舌侧及后牙颊侧为重。牙龈红肿,BI3-4°,PD下颌前牙区4-6mm。31松动III°,温度测试无反应,叩不适。32、41、42松II°+,32温度测试迟钝,叩(-)。
X线示牙槽骨吸收,下颌前牙区可见龈下牙石影像,牙槽骨吸收至根尖1/3,根周透射影像。


诊断:慢性牙周炎
31慢性根尖周炎
32牙髓充血?慢性牙髓炎?
治疗计划:
1、牙周序列治疗治疗
2、拔除32-42,种植修复;
或31根管治疗后复位固定。
沟通简略情况:
患者来院之前也经朋友介绍去过省口腔检查,当时医生没有告知是否可以保留,直接建议拔除后种植。患者说考虑,离院未行治疗。
告知患者最佳方案同样是建议拔除,因为这样可以保留更多骨量。而且后续治疗效果稳定。次选方案才是牙周固定,试保留。可能出现远期效果不佳,后续骨量流失情况,增大种植、修复难度。
患者考虑后,选择尝试保留,如若松动度等有缓解情况,就行固定。如若效果欠佳,就拔牙。
我告知患者,经牙周治疗后,松动度肯定会缓解,但是不保证远期效果,患者同样坚持尝试。
经过沟通后,进入牙周治疗阶段。
处理:
2017-07-05
口腔宣教,全口龈上洁治,龈下超声刮治,手工根面平整。双氧水冲洗止血。指导刷牙方式。嘱卫生维护,一周复诊。
2017-07-12
检查:口腔卫生状况尚可,下颌前牙区牙齿邻接可见食物残渣附着。牙龈色泽转淡。
处理:指导牙间刷使用。嘱两周复诊。
2017-07-26
检查:口腔卫生状况一般,下颌前牙区牙龈色泽尚可,牙龈位置退缩,松动度减轻。
处理:全口菌斑染色,喷砂。嘱两周复诊。
2017-08-02
检查:下颌前牙区PD1-3mm,牙龈色泽尚可,舌侧龈缘可见少量软垢附着。31松II°,32、41、42松I°+。
X线示根周透射影骨密度增高。


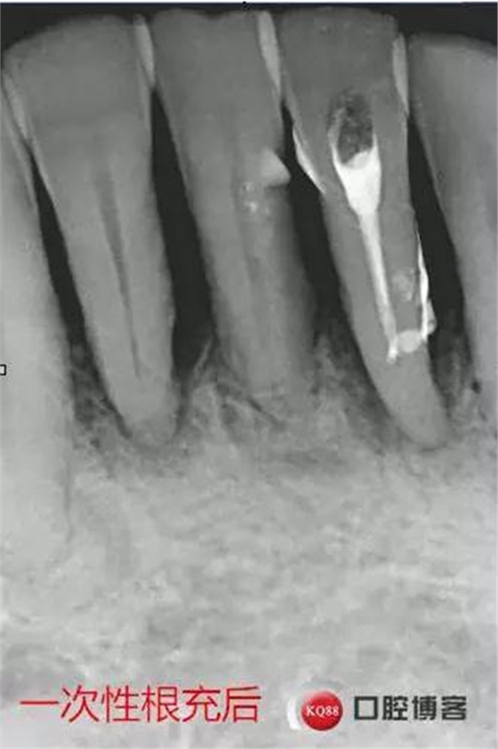
处理:上橡皮障,31开髓,测工作长度17mm,含氯冲洗液冲洗,机扩至04锥度30#,超声荡洗,一次性根充。33-43牙齿邻接处super bond粘结固位,行松牙固定。调合。拍根充术后片,未达根尖,怀疑遗漏根管,去除根充物后,继续探查根管,找到舌侧根管,测长度20mm,时间原因,未行扩根,氢氧化钙暂封。


当日根充后思考:
图省事,没有拍术中试尖片,导致术后重新去除根充物,再次探查,耽误时间。
想当然的认为31单管,忽略了尚有5-10%概率的双根管情况。
事后再次查看术前片,可以看到两个根管影像,忽略了。

2017-08-09
检查:42、43间固位体脱落,余牙尚可。31自述无不适,暂封固位良好,叩(-)。
处理:31去暂封,手用锉疏通根管,冲洗,机扩至04锥度30#,超声荡洗,封维塔,拍片。

由于两次根管内封药后,颊根处均有多余药物挤出根尖孔,考虑根尖孔处受破坏或根尖周炎症导致牙周膜疏松,故封药两周后复诊。
2017-08-25
处理:31去暂封,疏通根管,冲洗,试尖,拍片,根充,拍片,恰填,根尖孔外无多余药物渗出。树脂充填开髓孔。33-43树脂纤维带固定,调合抛光。



术后思考与总结:
1、通过初诊片子,我们可以分析出下颌前牙(31除外)松动主要原因是牙周支持组织的缺失,牙周膜增宽。所以可以预判到,经牙周治疗后,松动度是会有所改善的。分析病因,对因治疗,预后判定。
2、做这个病例,并且分享给大家,不是推荐大家所有病例都去尝试保留。而是告知大家,我们医生要比患者考虑的多,要给患者不同的方案,但是同样要知晓远期效果。
在治疗方案的设定中,医患之间的信息是不对称的,医生扮演的是专业人士,患者只能被动的接受方案。如果医生不能给予患者全面的、不同的方案,患者就没办法选择最适合的。
3、医生的尝试,往往是患者牙齿的最后一线希望。哪怕我们知道效果有可能不好,但是在不违背医德的原则下,经过良好的沟通,是可以进行尝试的。
4、这个病例口内还有其他情况,我没有表述,比如14等。只是简要的阐述了下颌前牙情况。另外一开始也没有想到作为案例分享,只是介于下一双根管的低概率以及试保,想给大家分享下,所以资料也没有收集全面,望大家见谅。
5、一切按标准施行,不能再图省事、偷工减料。
来源:KQ88口腔博客


