牙周袋深度测定法
1、测定哪个位置?
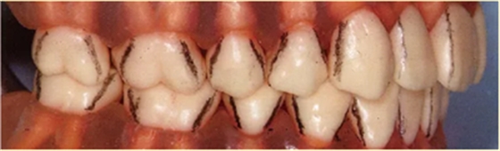
1点·4点·6点法
牙周袋深度的测定方法有1点法、4点法、6点法、临床上基本检查选用1点法、精密检查选用6点法。
进行牙周治疗时,适合选用4点法或6点法收集检查资料。
● X片的种类

1点法时检测牙齿周围后记录最大数值。

4点法是将牙齿分为舌侧、颊侧、近远中四个区检测,分别记录歌曲最大数值。

6点法首先和4点法一样分为舌侧、颊侧、近远中4歌曲,再进一步将近中、远中分为颊舌侧两区,然后记录6个区检测出的最大数值。
必知要点!注意到分界线
4点法和6点法都是将牙齿分区进行检测的,但是牙齿本身是没有分界线的。
(如下图所示,在脑中要有牙齿转角处的线条印象。将拐角处的线条延伸至牙颈部纪委各区分界线。)

2、探针的插入
颊侧、舌侧的测定
探针要与牙軸平行插入。注意不要探针的尖端离开牙面。
舌侧数值难以读取,要学会利用口镜来读取。
● 颊侧、舌侧探针的插入


通常与牙軸平行插入

舌侧难以看到的位置就利用好口镜来辅助。


注意尽量让探针贴着牙面。
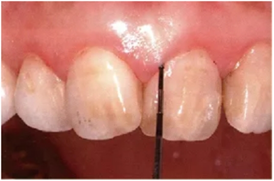
3、邻接面牙周袋的检测
邻接面是最难以进行检测,测定结果也最容易出现误差的部位。舌侧远中等空间狭窄的部位,探针难以插入,而且有牙齿影子的影响,刻度难以读取。
要充分注意到这些要点,并参考X片,尽量做到无漏查。
● 邻接面正下方的探诊

邻接面的正面检测方法。注意大约是在邻接面部分的中央位置处,将探针略倾斜插入邻接面的中央点。

检测邻接面正中点下方的牙周袋,探针是无法与牙軸平行插入的。但是紧靠着邻接点平行于牙軸插入探针,可以检测到难以检测的邻接面牙周袋深。

如果从斜侧插入探针检测没有一定的标准,那么每次测出的数值都会各不相同,得到的数据难以正确分析出问题所在。
4、读取探针的数值
探针的刻度是以1mm为单位来读取的。但是在临床上偶尔也会有不确定的情况发生。
不确定的情况下为了不遗漏问题,建议记录下高的数值。
● 探诊数值的读取方法


只有6mm

记录数值为7mm

记录数值为4mm
注意术者间的误差
即使是同一天检测相同的部位,不同的术者探诊出的数值也很可能有差异。
为了防止院内术者间误差,要掌握好探针的拿法以及探诊的力度等基本技术,因而需要多加练习。但是想要完全去除误差难以做到,所以在牙周探诊记录表格上要记录下当天检查的术者姓名。
● 留意术者间误差

探诊的数值,即使是同一术者进行,也看会有差异。结果可能会受术者的意识、身体状况、力度、位置、插入方向等的影响。
与初诊时相比,再评价时以及预防保养阶段进行检查时,术者有想要数值更低的心理倾向,因此有时会比真实数值低一些。
● 术者自身的误差也要注意


必知要点!器械的不同也可能造成误差
探诊数值的误差也看是由器械的原因造成的。
各种探针的粗细、轻重、刻度都有所差异。粗而重的探针与细而轻的探针测出的数值很容易产生误差。
因此,在检查时全院使用统一的探针,或者初诊时将使用的器具记录在牙周探诊表格上,折后同一患者再来时也选用相同探针,以防止数值上的误差。
大家各用不同的探针的话,容易产生检查误差。
探针在牙周袋内的工作方式
~步行式探诊~
牙周探诊在掌握眼睛看不到的部分的状态方面,是非常重要的一个检查。参考X片进行探诊,可以立体掌握该检查部位。
然而X片中无法看到所有信息。鱼食,牙周探针的工作尖需要像步行一样在袋底走动运用步行式探诊法可以更准确掌握该部位的状况。
● 仅有X片,无法掌握到牙周袋底的状况吗

此时运用的牙周探诊技巧称为“步行式牙周探诊法”。
● 步行式牙周探诊的操作

牙周探针的工作尖始终与牙体接触,将工作尖从袋底上提1~2mm的幅度进行步行式探诊。
难点的操作注意事项
颊侧的检查技巧
颊侧的检查难易度和患者脸颊的厚度以及强度有关。
检查颊侧时,嘴巴微闭使用口镜牵拉,探针能够更容易进入颊侧,并且视野扩大数值容易读取,更容易进行检查。
● 检查颊侧时,嘴巴要微闭

上颌第二后磨牙颊侧远中的检查技巧
上颌第二后磨牙的颊侧远中检查难度特别高。探针插入本身难度很高,还要读取数值,非常艰难。这个部位的检查页和上面颊侧检查一样让患者嘴巴微闭,利用口镜可以比较容易读取数值。
● 利用口镜对上颌第二后磨牙颊侧远中检查时,患者嘴巴也需要微闭。

微闭嘴巴,颊粘膜跟容易延展,将口径放入嘴巴时可以确保有充足的空间。
下颌舌侧检查的技巧
下颌舌侧的检查通常放在最后进行, 患者的嘴巴移植保持张开状态,因而口内已堆积了很多唾液。
就这样继续进行检查的话,堆积的唾液不但使探针的数值难以读取,而且患者也会非常不适。
所以需要将堆积的唾液用吸唾管吸 掉后再继续检查。
● 检查颊侧时,嘴巴需要微闭

探针过程中也要确认患者的唾液有无堆积,并及时将唾液吸掉。
必知要点!牙周袋深度检查·技能提升的方法
牙周探诊并不是仅检查技术好就够了。从患者角度考虑,长时间的将嘴巴张开着,有时还会有疼痛和不快。
以下项目是提升检查牙周袋深度不可缺少的事项。特别是新人口腔卫生士,偏向于集中练习自己的技巧,所以更要记在脑中,并积极践行。
1、仔细和患者说明检查的意义
即使是牙周病治疗所必要进行的项目,患者也是毫不了解的。为了让患者能够安心治疗,检查前要将目的和数值的意义跟患者进行仔细说明。
另外,在有记录者的时候,如果事前和患者做好说明,患者听到读出的数值就会对哪个牙位好、哪个牙位不好又大致的印象了。
说明示例:接下来要进行的是检查牙限炎症发展到什么程度,对牙齿逐颗进行的检查。牙周病不是牙齿全体发展的病症,每颗牙齿的恶化程度都不一样。
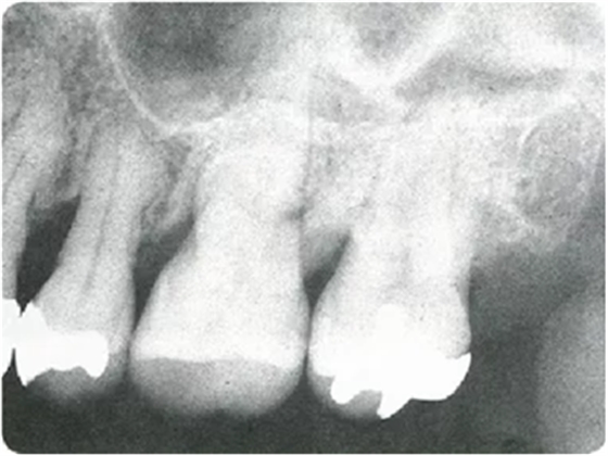
牙周检查结合上次拍摄的 X 牙片可以对口腔内状况有整体的把握,是非常重要的一项检查。
2、一定要变看X牙片
边进行牙周探诊
牙周病即使是在同一口腔内,每颗牙齿、牙齿的每个面恶化程度都不相同,有部位特异性。因此,牙周病的检查不是要看全体的进行程度,而是有必要对逐个面、逐个点进行检查。
如果在对哪个部位进行到什么程度没有预想的状态下进行探诊,由于复杂的根面形态和牙周状态,无法正确插入探针、被牙结石挡住、遗漏等就很容易发生。
因此,在检测牙周袋深度时,通过 X 片确定牙槽骨的状态、根的形态、牙结石的附着状态等,在脑中有一个大致的印象,应该可以很大程度上减少漏检。

仅通过口腔视诊是无法看出何处有骨吸收的。通过拍摄的牙片,可以一定程度上掌握牙槽骨吸收的情况。
如果观察X片后预想的状态和牙周探诊分析出的状况有很大差异,就需要再次注意此部位并重新做一次牙周探诊。
来源;医涯学识

