【专家论坛】牙周膜龈手术的临床应用Ⅱ:异体材料的应用
来源:《华西口腔医学杂志》2018年4月第36卷第2期
作者:毛尔加1,2
作者单位:1.美国华盛顿大学牙周病学系,西雅图 98195;2.美国西北牙周病种植牙中心,西雅图 98133
[摘要] 牙周膜龈手术主要用于治疗牙龈退缩,增加临床附着水平和牙龈角化组织(附着龈),以及牙周美容。近年来牙周膜龈手术技术和材料发展迅速,自体上皮下游离软组织移植术一直被公认为是效果最好和最稳定的术式,但由于存在多手术区的缺点,研究人员也一直在探索代替自体组织的材料。本文主要介绍目前临床常用的几种膜龈手术异体材料:1)同种无细胞上皮基质;2)异种胶原基质;3)重组人血小板衍生生长因子;4)釉质基质衍生物蛋白;5)引导组织再生膜;6)组织工程来源结构。应用异体材料的牙周膜龈手术,不仅避免了自体组织的缺点,有些手术效果可以等同甚至超过自体组织,因此异体材料的应用有着广泛的前景。本文介绍了牙周膜龈手术中常用异体材料的优缺点和适应证,并简要介绍了各种膜龈手术的临床选择思路。
[关键词] 牙周;膜龈手术;异体材料;牙龈退缩;附着龈在牙周病学领域,牙周膜龈手术的发展十分迅速,已经成为与种植术、引导组织再生(guided tissue regeneration,GTR)术和牙周美容手术并驾齐驱的临床治疗方法,越来越受到广大口腔医生的重视,其应用范围也从牙周病患者扩展到种植牙修复前的牙美学修复患者和正畸患者。了解牙周膜龈手术,特别是各种根面覆盖手术,对口腔医生更好地处理临床患者非常重要。临床上,牙周膜龈手术主要用于治疗牙龈退缩并增加牙龈角化组织(附着龈)。目前认为,牙龈退缩的病因有多种,可以分成两大类:先天因素和后天因素。
先天因素包括以下几点
1)牙槽骨裂开或缺损。唇侧牙槽骨的骨裂往往与牙齿错位(特别是唇向错位)密切相关,唇向错位的牙齿一般会有薄生物型和脆弱的牙龈;这种牙龈不能抵挡机械刺激和炎症刺激,发生退缩的可能性非常大[1]。
2)薄生物型牙龈。在正畸治疗中牙齿向唇侧移动时,薄生物型牙龈的牙齿可能出现牙根移出牙槽窝的现象,引起颊侧牙槽骨吸收,增加牙龈退缩的可能[2]。
3)高系带牵拉。系带过高的患者在运动唇部肌肉时,会牵拉牙龈导致牙龈退缩,特别是在下颌前牙区比较多见[2]。
后天因素包括以下几点。1)机械损伤。主要包括刷牙时动作不正确,过度用力而导致牙龈创伤。患者往往使用硬毛牙刷,牙颈部多有楔状缺损的表现;牙龈退缩通常发生在颊侧比较突出的区域,如尖牙和前磨牙。其他机械损伤包括口腔刺穿,牙线使用不当,修复体或局部活动义齿的不良边缘等[3]。2)牙周炎。牙周炎是导致牙槽骨吸收和牙龈退缩的主要因素之一[4]。3)咬合创伤。目前为止仍没有足够的科学依据证明咬合创伤是导致牙龈退缩的病因,因此其作用尚存争议。
1、牙周膜龈手术中应用异体材料的优缺点
采用患者自身腭部组织的牙周膜龈手术是目前较为常见的治疗方法,尤其是上皮下结缔组织移植术,已是临床公认的“金标准”手术。该手术的详细方法和适应证已经在本系列第1篇——牙周膜龈手术的临床应用Ⅰ:自体组织的应用中进行了阐述,但是应用自体组织也有一些弊端和缺点。
1)组织量有限。虽然腭部可用的组织量有个体差异,但毕竟是有限的,不能满足对多个牙覆盖的需求。
2)多个手术区。为了获得高质量的游离组织,往往需要从其他部位得到,因此存在多个手术区的可能。
3)出血多。腭部有丰富的血管和神经,如果手术靠近第一磨牙腭侧,有伤害腭大动脉的危险,而造成止血困难,出血过多。
4)疼痛和肿胀较多。多手术区往往会导致患者有更多的痛苦,造成对手术的恐惧感。
5)手术难度大。在腭部获取游离组织时视野小,操作困难;加上止血和缝合困难,都给手术增加了难度。
鉴于自体组织应用的这些缺陷,临床医生和研究人员一直在探索“腭部之外”的手术方法,用异体材料代替自体组织的牙周膜龈手术也逐渐发展起来。目前,市场上有多种材料的组织替代品,但是已经有明确证据、成功记录和跟踪随访的材料还较为限。本文继续介绍牙周膜龈手术的临床应用,重点讲解几种经文献证明临床疗效比较肯定的异体材料的使用和临床要点。
采用异体材料的牙周膜龈手术主要用于根面覆盖术,这种手术多适用于前牙美学、根面敏感、预防龋病和非龋病的颈部病变[5]。大体上,异体材料来自3种途径:同种(allogeneic,来自人类),异种(xenogeneic,来自如牛、猪等其他种类的动物),异质(alloplastic,人工合成材料)。
成为临床上能够应用的异体组织材料,必须符合以下条件:
1)无感染性;
2)具有生物相容性;
3)具有组织融合和诱导特征;
4)具有物理稳定性,适用于临床操作;
5)价格合理;
6)有成功的文献或研究证明。
应用异体组织材料进行根面覆盖术的优点:
1)避免从腭部切取组织;
2)一次可以进行多个区域的手术;
3)组织量不受限制;
4)手术并发症少;
5)手术时间减少;
6)术后并发症较少;
7)组织安全可靠;
8)临床操作步骤较少;
9)可以将薄生物型牙龈改变为厚生物型牙龈;
10)可促进新生牙槽骨形成,促进牙骨质和牙周膜的再生;
11)提高与口腔健康有关的生活质量。
应用异体组织材料进行根面覆盖手术的缺点如下:
1)长期疗效不如自体游离结缔组织;
2)不适用于牙槽嵴增高术[6];
3)由于材料来自人类或动物,有携带疾病的可能;
4)手术操作要更为严谨;
5)增加了组织材料费用。
2、牙周膜龈手术中常用的异体材料
本文简单介绍各种异体组织材料的特点,所有材料的应用均配合冠向复位瓣进行。
2.1 同种无细胞上皮基质(acellular dermal matrix,ADM)
早在20世纪80年代,部分研究人员和医师就开始在临床上应用ADM材料。该材料来源于捐献的人体皮肤,用化学方法将上皮(抗原细胞)和表皮成分去掉,只留下细胞外的胶原基质。这种没有上皮和细胞成分的组织经冻干处理,成为结缔组织基质成品。该组织来自于标准和有严格监控制造过程的组织银行。ADM具有Ⅰ、Ⅲ类胶原束和弹性纤维,在牙龈下形成一个三维的支架,为周围血管和细胞的进入提供了空间;然后在组织愈合和修复阶段缓慢降解,并被人的自身组织所替代[7-8]。有研究[9]发现,用ADM不但可以代替游离结缔组织达到覆盖根面的目的,也可以增加角化组织(附着龈)。
尽管使用ADM进行膜龈手术的长期疗效一直存在争议,但目前该技术仍是除游离结缔组织外的另一个疗效较为可靠的根面覆盖手术(图1)。

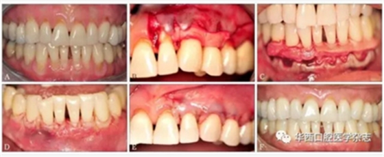
A:患者有广泛性牙龈进行性退缩,牙根暴露、敏感,临床附着水平丧失,附着龈丧失;B、C:手术采用半厚瓣,翻过膜龈联合线,常规根面处理,采用5-0可吸收线用连续褥式缝合方式将ADM缝合在唇颊侧;D、E:无张力情况下,采用5-0可吸收线行连续褥式缝合,半厚瓣冠向复位将ADM完全覆盖;F:术后20个月,由于大量牙槽骨吸收,牙根表面没有达到完全覆盖,但是角化组织(附着龈)增加了3~4 mm。
图 1 ADM结合冠向复位瓣手术
2.2 异种胶原基质(xenogeneic collagen matrix,XCM)
XCM是异种软组织替代材料,来源于两层猪皮的胶原基质。外层的主要功能是保护创面,还能够使组织附着,促进创面恢复;内层的主要功能是提供空间,使周围的细胞和组织有机会向创面生长。XCM的组织成分是由纯Ⅰ型和Ⅲ型胶原纤维组成。Kasaj[1]对XCM的结构进行了观察,通过扫描电子显微镜图像可以观察到,来源于猪的无细胞上皮基质保留着良好的三维胶原基质形态,这种结构可提供完美的三维基础,让周围毛细血管和成纤维细胞向其内层生长,最终转变成为人类自身组织。
XCM在应用初期是用于增加附着龈,后来发现对牙根覆盖也有很好的效果[10-11]。尽管XCM对牙根覆盖的临床效果不及游离结缔组织,但对增加软组织厚度的效果比较肯定[12]。临床研究[13]证实,XCM适合于软组织增量手术,并可以代替自体组织(游离结缔组织)增加牙槽嵴的容量和高度。该方法较自体组织手术疼痛明显减轻,麻醉药的使用量减少,患者对手术的接受程度增加。具体手术方法见图2。

A:下颌从左侧第一前磨牙到右侧第一前磨牙,牙龈广泛进行性退缩,根面敏感,临床附着水平和附着龈丧失;B:下颌从左侧第一前磨牙到右侧第一前磨牙翻起半厚瓣,常规根面处理;C:XCM;D:使用5-0可吸收线采用连续褥式缝合方式将XCM缝合在唇颊侧;E:无张力情况下,使用5-0可吸收线行连续褥式缝合,将半厚瓣冠向复位并将XCM完全覆盖;F:术后6周,由于牙槽骨吸收,下颌中切牙牙根表面没有达到完全覆盖,但是角化组织(附着龈)增加了3~4 mm。
图 2 XCM结合冠向复位瓣术
2.3 重组人血小板衍生生长因子(recombinant human platelet-derived growth factor,rhPDGF)
采用现代组织工程技术合成并培养一些生长因子,结合各种异体组织手术方法治疗牙龈退缩,该方法近年来也得到了高度重视。McGuire等[14]采用rhPDGF-BB加可吸收胶原材料对牙龈退缩进行手术治疗,并以自身游离结缔组织作为对照,结果发现,生长因子组不但有较好的根面覆盖效果,而且有新的牙骨质、牙周膜和牙槽骨生长,临床手术操作比较简单,而且疗效明显,缺点是价格比较昂贵,因此在临床上并没有得到普遍应用。
2.4 釉质基质衍生物蛋白(enamel matrix derivative,EMD)
根据猪和人的釉质蛋白高度同源的特性,科学家们从小猪胚胎中提炼出EMD[15]。EMD不但能促进牙周膜成纤维细胞的生长,还可以抑制上皮细胞的生长。这是一个非常重要的特征,因为上皮的快速生长会与牙周膜和牙槽骨的生长产生竞争,在牙周组织再生过程中,如果上皮的生长占据了牙周膜和牙槽骨的再生空间,会造成牙周组织以修复结束,而没有形成真正的牙周组织再生重建。近年来,临床医生利用EMD再生牙周组织的特性,逐渐应用于根面覆盖手术[16]。研究[17]证实,利用EMD结合冠向复位瓣术治疗牙龈退缩,根面覆盖率与游离结缔组织结合冠向复位瓣术基本相同。EMD和冠向复位瓣术结合,不但较单做冠向复位瓣术牙根覆盖率高,而且明显增加了附着龈的宽度[18]。具体手术方法见图3。

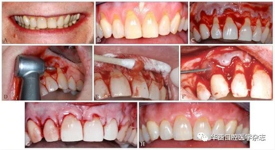
A:患者中等高“微笑线”,但可见明显退缩的牙龈,影响美观;B:从左侧上颌尖牙到右侧上颌尖牙,牙龈广泛进行性退缩,根面敏感,临床附着水平和附着龈丧失;C:上颌从左侧尖牙到右侧尖牙翻起半厚瓣;D:常规根面处理,包括高速钻进行根面平整;E:pH为中性的24%乙二胺四乙酸处理根面;F:在缝合打结之前,将EDM注射在牙根表面上;G:无张力情况下,使用5-0可吸收线行连续褥式缝合,半厚瓣冠向复位将根面完全覆盖;H:术后8个月基本达到完全根面覆盖,而且角化组织(附着龈)增加了3~4 mm。
图 3 EDM结合冠向复位瓣手术
在根面覆盖术中应用EMD的优点如下。1)可以使牙周袋变浅[19],促进伤口恢复,减少牙龈肿胀。2)有抗菌功能。EMD的载体是丙二醇藻酸酯(propylene glycol alginate),具有杀伤牙周致病菌的作用[20-21]。3)有促进伤口早期愈合的功能[21]。据报道[22],EMD可以使基质金属蛋白酶(matrix metalloproteinase,MMP)-1和MMP-8很快降低到基础水平。4)在吸烟患者中,根面覆盖效果较好[23]。
2.5 GTR膜
GTR是使用屏障膜(牙周再生膜)的方法对牙周结构进行再生,目前的应用已经较为广泛。屏障膜具有将上皮和结缔组织隔离的作用,使成骨细胞有时间和空间形成新生牙槽骨、牙骨质和牙周膜。临床上可使用GTR膜形成结缔组织再生和再附着,治疗牙龈退缩。GTR膜分为可吸收膜和不可吸收膜,两种膜的根面覆盖率为48%~87%。
使用GTR膜治疗牙龈退缩的最大缺点和出现最多的并发症在于,一旦GTR膜暴露,很容易引起炎症和感染,导致根面覆盖失败。目前牙周美容手术中,该方法受到一定的限制[18,24]。
2.6 组织工程来源结构(living cellular construct,LCC)
LCC在慢性皮肤伤口的治疗中已经被广泛应用多年,近年也逐渐用于牙周膜龈手术中,并取得了明显的效果。LCC的组成包括:活人体成纤维细胞和角质形成细胞、牛胶原和人体细胞外蛋白。经过组织工程合成后,LCC可以产生生长因子和细胞因子,这些因子可以影响患者自身的细胞,使其分化成适合的相关组织。临床报道[25]显示:LCC可以在牙齿周围形成角化牙龈,在颜色和质地上较游离龈移植术的效果更好。在组织工程产品中,LCC在牙周膜龈手术中占有一定的地位,其最大的缺点是价格昂贵,还没有得到广泛的应用。
利用异体材料的牙周膜龈手术,特别是根面覆盖和增加附着龈的手术,可以减轻患者的痛苦,缩短治疗时间,从颜色和质地上较游离龈移植术效果更好;但远期效果还有待于进一步探索和跟踪。
综合以上各项治疗方法和材料,以临床常用的Miller牙龈退缩分类为基础[26],笔者简单总结了各种牙龈退缩的临床治疗方法,见图4。图4是根据Chambrone等[27]的临床治疗决策树改编而成,树干越粗,表示临床报道的成功性越大。临床医生可以参考该图,结合具体的病例,选择合理的治疗方案。

SCTG:上皮下结缔组织移植术;ADM:同种无细胞上皮基质;CAF:冠向复位瓣;XCM:异种胶原基质;FGG:游离上皮组织;EMD:釉质基质衍生物蛋白;GTR:引导组织再生术;LPF:侧向转位瓣。
图 4 根据Miller牙龈退缩分类的各型治疗方法
对牙根覆盖和牙周增量美容手术,开发和应用异体组织具有很大的发展潜力;但是要实现异体组织最终代替自体组织的目的,异体组织材料必须加上组织遗传和诱导的特性。将自体组织细胞与合成生长蛋白或者生物活性物质用组织工程的技术整合在一起,可以成为比较理想的应用材料。下一代异体组织也可以采用预先制作好的血运系统整合在异体组织中,从而加快血运和组织生长,减少术后组织收缩的现象[28]。这种异体组织的出现不但可代替自体组织,临床效果会更好更稳定。将来的异体组织还可以根据不同的临床病变和需要,设计并生产出具有个性特征的组织,用靶向治疗的原则,避免自体组织的弊端,弘扬异体组织的优势,而达到最佳的治疗效果。
近年来,应用计算机软件进行数字化设计,对根面覆盖的手术设计和术后效果起到了很大的推动作用。如果能结合数字化的精确设计,采用特殊设计的异体合成材料,进行牙根覆盖和牙周美容手术,必然是一个较为理想的治疗方案,这也是目前研究者们努力奋斗的目标之一。
来源:华西口腔医学杂志



