正畸文献阅读--正畸保持手段的流行病学研究
摘要:本研究的目的是调查目前荷兰正畸医生应用的保持手段,并检查他们对“非设计性主动保持器”的认识。方法:向所有306位参与患者治疗的荷兰正畸医生发送问卷。问题分为四个部分:(1)一般信息,(2)保持手段,(3)固定保持器的弓丝材料特征,以及(4)对“非设计性主动保持器”的认识。结果:问卷的反馈率为98%。上颌牙弓中应用最多的保持方式是活动保持器和固定保持器的组合(54%);在下颌牙弓中,主要使用固定保持器而不是活动保持器(83%)。固定保持器主要用于上颌弓(90%)和下颌弓(92%)的终身保持。活动保持器的平均保持年限为2年。真空成型保持器的使用越来越频繁,Hawley型保持器的使用越来越少。用于固定保持器的弓丝材料是多种多样的。所有正畸医生都熟悉非设计性主动保持器; 44%的人认为这种现象是由圆形多股线的特性造成的。有观点认为由于圆形多股线材料的性质引起的牙齿位置的不预期变化,可能与弓丝材料特性的改变相关联(P<0.005=。结论:固定保持器的终身保持持续增加。所有的正畸医生都熟悉非设计性主动保持器及其影响。有必要确定与固定保持器有关的非预期牙齿移动的所有致病因素,并防止非设计性主动保持器的发生。(Am J Orthod Dentofacial Orthop 2018; 153:496-504
为了保证正畸治疗的结果,几乎每个患者都需要进行保持。保持手段的广泛使用是由于治疗后存在变化的可能性以及对永久保持完美美学效果需求的增加。遗憾的是,对于应该推荐哪种保持方案还没有达成一致的观点。最近,Littlewood等在他们的科库伦系统综述中提出,目前还没有足够的证据来支持应该推荐使用哪种正畸保持手段。
在过去的十年中,研究者对保持的手段越来越关注,并且了解到不同国家的保持手段也是不同的(表I)。目前已经展示出了固定保持器越来越受欢迎的趋势。而且,目前更多隐形保持器被使用来代替Hawley保持器,并且终身保持被使用得越来越多而不是仅在一段时间内进行保持。然而,正畸保持器类型的选择似乎仍然主要是基于经验的,因为过程中存在较大的变量。

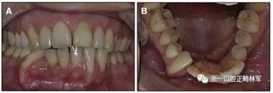
此外,有几篇关于长期使用固定保持器后出现并发症的报道被发表。在严重情况下,“非设计性主动保持器”几乎可以完全将牙根部移出牙槽骨(图1)。

2005年,在荷兰进行了一场关于保持手段的调查。这可以使我们准确地确定荷兰正畸医师在正畸治疗后如何进行保持。但是,关于用于固定保持器和非设计性主动保持器的弓丝材料问题未包括在内。这是一个重要的课题,因为特定的弓丝材料是引起治疗后并发症的部分原因。
因此,这项研究的目的是调查当前荷兰正畸医生应用的保持手段,并检查他们对非设计性主动保持器的熟悉度。
材料和方法
对Renkema等人设计的调查问卷进行了调整,使其包括其他方面的问题。发放修改后的调查问卷。2015年7月,开展了一项试点研究,以确定添加问题的可靠性,并对一些问题进行了调整。2015年9月,问卷被发放给在荷兰工作的所有在荷兰正畸专科医师学会中注册,并参与患者治疗的正畸医师。1个月后提醒那些没有回复问卷的正畸医生。那些仍然没有回复的人在接下来的一个月后再通过电话联系。如果正畸医生仍然不愿意参加,就将他或她的理由记录下来。如果问卷回复得不完整,则通过电话联系回复者以完成问卷。在2015年12月,这项调查最终完成,回复结果被输入到Filemaker数据库中。
问卷由四部分组成。部分A提供了关于正畸医生的背景信息。 B部分包括关于使用保持器类型,活动和固定保持器保持时限,以及保持时复诊次数的问题。在C部分中,评价了有关固定保持器弓丝的类型和尺寸的信息,并在D部分中询问了有关非设计性主动保持器的问题。受访者可以添加评论和其他信息在问卷的结尾处。
数据分析
所有统计分析均使用社会科学统计软件包(22.0版; IBM,Armonk,NY)。每个正畸医生的背景信息以频率和百分比描述,其他结果以百分比表示。卡方检验,以2乘2的交叉表; 必要时,应用Fisher精确检验。
结果
调查问卷发送给306名正畸医师,其中300名(98.0%)回复。4名正畸医师不愿意参加,并且无法联系到22名完全没有填写问卷的正畸专家中的其中2名;他们因此被排除在外。表II给出了样本量,年龄,专业经验,每周用于患者治疗的天数以及正畸医生的专业背景。每周用于患者治疗的天数与年龄呈负相关(-0.24; P<0.001)。作为老板或合伙人工作的男女比例为4:3,作为临时租户工作的男女比例为1:3。作为临时租户的正畸医师的经验明显少于其他正畸医师(6.2年; P <0.001)。最常见的联合专业背景是在私人诊所和大学中的工作经历(n = 19; 6.3%)。在300名正畸医师中,92名(30.7%)接受了毕业后的海外培训。

上颌弓最常用的保持手段是活动保持器和固定保持器的联合应用(53.6%); 在下颌弓中主要使用固定保持器,不应用活动保持器(82.6%)(表III)。几乎三分之一的正畸医师(n = 95)在80%或更多的患者中使用这种保持方式。

在上颌牙弓中Hawley型保持器的使用(没有固定保持器)与正畸医师的经验(0.28;P<0.05)呈正相关,与毕业后培训的地点有关(P<0.05)。使用活动保持器的原因是牙弓宽度和拔牙位置的保留。
4名正畸医生(1.3%)表示他们在上颌弓中仅使用活动保持器,而另外14名正畸医师(4.3%)在80%至99%的患者中使用了这种保持方式。另一方面,6名正畸医生(2.0%)表示,他们在所有患者中只使用固定保持器。 24名受访者(16.0%)表示他们在90%或更多的患者中这样做。12名正畸医生(8.0%)在所有患者中,总是联合应用活动和固定保持器,54名(18.0%)表示他们仅在所有患者的上颌弓中使用这种保持方式。一些正畸医生评论说,佩戴活动保持器很难获得足够的患者合作。
表IV列出了活动保持器的起始应用时限。当每天应用更多的时间进行活动性佩戴时,受访者表示初始阶段的周期会缩短,反之亦然。每天规定在上颌弓佩戴初始保持器24小时的正畸医生,其平均初始阶段接近3个月(标准差,0.15),而那些每天规定每天佩戴初始保持器8个小时的正畸医生,其平均初始阶段为0.99年(标准差,0.82)。

表V中描述了联合应用活动和固定保持器的总时间。几乎一半的临床医生表示活动保持应该作为临时性保持,他们建议患者应该随时检查保持器的适合度:上颌弓为44.7%(n = 102)和下颌弓为46.8%(n = 65)。当活动保持器佩戴的时限是“个体确定”时,给出以下指示:成人和青少年之间的区别,直到生长结束,这取决于固定保持,直到放置固定修复体。直到生长结束,在第三磨牙萌出后,表示“个体确定”固定保持器时限的受试者提到了成人和青少年之间的区别。几乎90%的正畸医生建议使用固定保持器来保持上颌弓,92%保持下颌弓。有几位受访者提到现在的病人要求越来越高,甚至轻微的不规范行为也不再被接受。

检查次数(表VI)与正畸医师检查患者保持器的总时间成正比(活动保持器,0.73,P<0.01;固定保持器,0.71,P<0.001=。几位正畸医师指出,连续两次保持效果检查的时间间隔会随着时间的延长而变长 - 即6周,3个月,6个月和1年。

图2中显示了用于上下牙弓的固定保持器的弓丝材料。表VII列出了所有使用的弓丝的截面图。最常用弓丝的结构可以在图3中进行展示评估。


图2. A,用于上颌弓的弓丝材料概述;B,用于下颌弓的弓丝材料概述SS,不锈钢

图3. 最常用弓丝材料的结构:A,矩形3股绞合弓丝,0.016*0.022 英寸; B,圆形6股同轴弓丝(5根导线缠绕单个芯),0.0215英寸;C,矩形8股编织弓丝,0.016*0.016英寸
所有正畸医生都熟悉非设计性主动保持器。表VIII显示观察到的报道的非设计性主动保持器频率的分布。9名正畸医生(3.0%)从未观察到这种现象。临床实践的年数与在实践中观察到的非设计性主动保持器的次数呈正相关(0.49,P<0.001)。

处理观察到的非设计性主动保持的方法各不相同;所有除1位(n = 290;99.7%)正畸医师表示他们会拆除保持器,29(10.0%)提到他们在拆除保持器之前会告知患者有关情况。大多数人表示,他们在必要时会开始正畸再治疗(n = 281),并放置一个新的固定保持器(n = 284)。较少的正畸医师会放入一个额外的活动保持器(n = 45)。在开始再治疗或放入新的保持器之前,119名受访者(40.9%)会等待几个月时间以进行自发矫正。1名正畸医生报告称在在治疗后会在前磨牙间放置保持器。其他提到的方法有:记录(照片和X射线),功能运动测试,近中间距缩小以及牙周治疗。
受访者还被要求对无设计性主动保持器给予可能的解释。 25位正畸医生提到他们没有解释。 最常被提及的因素是圆形多股线的特性(n = 130),咀嚼力引起的弓丝变形(n= 123),放置和修复时的弓丝偏转(n = 111),以及副功能习惯(n =86)。 其他提及的因素包括咬合干扰,小顶端区域,受影响切牙复合体中弓丝的脱落,表现为枢轴,复发,金属疲劳,断股,腐蚀以及并非所有弓丝均匀变形而导致一些留有弹性张力的弓丝。
在观察到非设计性主动保持器后,101名正畸医师报告说,他们将用于固定保持器的弓丝材料从圆形多股线改为矩形多股线。有观点认为由于圆形多股线材料的特性与弓丝材料的变化相关(P <0.005=,因此这可能会引起牙齿位置的非预期改变。
讨论
从2005年到2015年,荷兰的临床正畸医生数量从270增加到306,增加了13.3%。这一增长伴随着性别比例的变化。 2005年,近30%的正畸医生是女性,但目前超过40%。私人正畸诊所的持有者从2005年的84.5%下降到2015年的70.3%。越来越多的正畸医生选择以临时租户的身份工作可能是造成这一趋势的原因。
总体而言,在过去的十年中,活动保持器的使用并未发生明显地变化。 2005年的平均使用百分比分别为上颌弓63%和下颌弓18%; 10年后,这些在上颌弓中为65%,在下颌弓中为17%。真空成型保持器(VFR)的使用更为频繁,Hawley型保持器的使用频率与2005相比更少了。 向VFR的转变现象可能与其现场制造的便捷性和成本效益有关。此外,佩戴VFRs的效果与Hawley保持器相比,会减少很多不便。说明VFRs比Hawley保持器具有更高的效率的证据目前还很少。
从2005年到2015年,固定保持器的平均使用率明显增加,上颌弓的平均使用率从63%增加到88.3%,下颌弓的平均使用率增加从91%增加到97.0%。与10年前相比,仅固定在下颌尖牙上的保持器越来越少:2005年为16%,2015年为6%。这可能是因为固定在所有下颌前牙的保持器效果更好,和如今的患者甚至不会接受轻微的违规行为的结果。来自不同国家的研究表明,固定保持具有相似的优先选择。另一方面,英国的调查显示临床医生相比于固定保持器更倾向于VFR,因为它们易于放入。
目前,大约一半的正畸医生建议只在夜间佩戴活动保持器。另一方面,相当数量的临床医生推荐全天佩戴保持器。这些建议与2005年提出的观点相当。然而,一项关于VFR佩戴时间的良好研究的作者没有发现全天和部分时间佩戴之间的稳定性差异(中等质量证据),这表明活动保持器可以减少到部分时间来佩戴。
大多数荷兰正畸专家建议用固定保持器进行永久(终生)保持(上颌弓为90%,下颌弓为92%)。与10年前的回应相比,支持永久性保持的医师比例增加,甚至高于其他报告。进行长期保持可能是减少治疗后变形的最佳方法。
这种新的临床常规要求产生了越来越多需要用保持器维护的患者;这增加了正畸和口腔医生的工作量以及患者的成本。下颌前牙区长期固定保持的基本原理是很显然的; 然而,对于上颌前牙区是存在疑问的。
使用的弓丝材料和尺寸的差异性很大。 关于许多使用的弓丝可靠性的文献是不切实际的。2015年,Zachrisson总结了超过25年的固定保持的经验,并建议最佳保持弓丝仍为圆形0.0215英寸同轴线。我们的研究结果表明,几乎四分之一的正畸医师仍然遵循使用圆形同轴线的建议。然而,46.5%的临床医生使用矩形多股线(不包括极软多股线和Ortho FlexTech),3%使用矩形单股不锈钢丝用于固定保持。应用矩形多股或单股不锈钢丝的趋势似乎与Arnold等人的观察发现相一致。
虽然固定保持器可以有效地防止复发,但有时它们非预期的活动可能导致牙弓的变形。这种现象的机制在很大程度上是不清楚。所提及的病因包括(1)由单根圆形柔性螺旋弓丝解旋产生的力,(2)由咀嚼力引起的弓丝的机械变形,以及(3)由于未能在固定之前或期间确保弓丝完全被动而引起的弹性变形。如果没有被病人或临床医生察觉,弓丝可能会导致破坏性并发症。我们的调查显示,所有荷兰正畸医师都熟悉非设计性主动保持器。尽管如此,令人惊讶的是,一些拥有20年以上经验的正畸医生从来没有观察到因非设计性主动保持器而引起的非预期变化,而其他经验有限的正畸医生经常观察到这种现象。将近一半的受访者(41.2%)表示,他们在观察到非设计性主动保持器后会改变他们的弓丝。许多这些正畸医生(84.2%)将弓丝从圆形转向方形多股弓丝。此外,在文献中,已经提出了用更耐扭矩的弓丝材料,例如0.016*0.016英寸的纯单股或0.016*0.022英寸的编织不锈钢弓丝,代替圆形多股弓丝用于固定保持器的建议。
结论
固定保持器的终身保持持续增加。所有正畸医生都认识到由于非设计性主动保持器及其影响而导致的非预期变化。有必要确定所有与固定保持器相关的牙齿非预期移动的原因,并防止非设计性主动保持器的发生。
来源:浙一口腔正畸林军



