案例丨病患牙体缺损严重,根管治疗是否还管用?
案例丨病患牙体缺损严重,根管治疗是否还管用?
干货案例po不停,小编又来发福利了!
上篇案例说到,2017牙智宝杯·菲森影像&益锐M3&宇森医疗根管大师赛在为期3个月的案例作品征集中,已有200多例作品成功进入初赛,如今,大赛专家评委团的评分结果即将出炉,在公布名单之前,小编再来po一篇案例,跟大家一起探讨一下关于根管治疗的疑难杂症。
今天分享的优秀案例,是选自沈阳奥新全民口腔医院孙海龙医生的作品,让我们通过孙医生的作品一起来探讨一下“牙体严重缺损下的根管治疗”难题!
年轻恒磨牙根管治疗一例
主治医师:孙海龙 / 沈阳奥新全民口腔医院
患者信息
问诊信息:患者李某,女,15岁
主诉:左上后牙进食疼痛3月余
现病史:3月前左上后牙偶有进食疼痛,伴冷热刺激疼痛,无自发痛史,未予治疗,因影响进食来我院求治。
既往史:否认系统性疾病及药物过敏史
检查:26冠部大面积龋损,仅余近中颊侧残壁,残余牙体颜色变暗,牙龈增生至缺损牙体组织内部,髓腔内炎性牙髓组织增生呈息肉状。探诊(+),冷诊(±),叩诊(-),无松动。
X-ray示:26远中低密度影已穿通髓腔,与近中低密度影几近相连。根尖无低密度影像。
诊断:26慢性牙髓炎

诊治难点
1、牙体缺损过大,橡皮障应用困难
2、龋损位于龈下,边缘封闭及终末修复困难
3、根管结构复杂,过于弯曲,治疗困难

治疗过程
1、局麻下,Er-YAG激光切除增生牙龈

2、使用组织排开橡皮障夹(#B-1)上橡皮障,障布边缘翻转,隔离牙龈,封闭患牙。

3、去净腐质后,剩余健康牙体组织位于龈下,考虑行龈壁提升,因需使用成型片,拆除橡皮障。

4、使用成型片隔离牙龈,保证边缘密合不渗漏,SDR树脂龈壁提升。

5、进行正式根管治疗前,仍需对近中邻面龋坏牙体组织进行处理。

6、上橡皮障,去除近中龋坏组织,SDR树脂制作近中邻面假壁。


7、初步恢复牙体完整性后上橡皮障,开髓,3% NaClO冲洗,揭除髓顶,修整开髓洞形,去除髓腔牙髓组织。


8、定位根管口后,8#K锉结合根管冠方预敞,逐步探查,四根管通畅。因操作时间过长,未作根管预备,氢氧化钙糊剂暂封根管一周,玻璃离子暂封。

复诊过程
复诊:患者无不适,局麻下上橡皮障,去除暂封材料,结合3% NaClO冲洗,pathfile建立通路,TFA机用镍钛系统根管机械预备。根管荡洗,17%EDTA 溶液,生理盐水终末冲洗,因操作时间时间过长,氢氧化钙糊剂根管封药,玻璃离子暂封。

复诊,无不适,去除冠部暂封,试主牙胶尖,拍摄X-ray。

iROOT SP糊剂单尖法根充四根管,SDR树脂髓腔充填,拍摄X-ray,显示根管充填完好。


牙体预备制取26高嵌体工作模型

复诊,无不适,上橡皮障,粘接树脂高嵌体

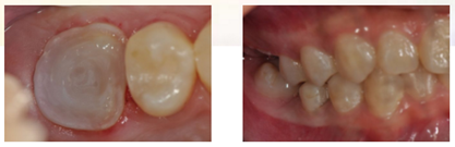
三个月复查

插播一则小广告
小编觉得,一个根管治疗案例的成功前提在于,医生在治疗能够通过影像更好地判断病情和制作治疗方案。而从以上的案例中发现,孙老师在治疗过程中多次使用到了X-ray拍摄口内影像。而在口腔界中,X-ray影像已经逐步被数字口内影像板扫描处理系统成像所替代。
打一个小广告,众所周知,DentaLink菲森影像也拥有一款数字口内影像板扫描处理系统叫牙智宝!

菲森牙智宝作为一个数字化智能设备,拥有4种尺寸的磷光片,0.1mm厚度,可270度弯曲,平均每片使用次数可高达2000次以上,让产品价值最大化,大大降低了诊所的治疗成本。
在治疗处理之前,可以通过术前X光片影像为后续治疗计划提供影像和数据的支撑,大大提高了治疗的成功和降低了治疗的风险。
来源: DentaLink牙医管家











