儿童早期矫治——MRC肌功能正畸
什么是MRC?

MRC是(Myofunctional Research Center麦鸥肌功能研究中心的简称)。MRC牙颌畸形矫治系统是由澳大利亚牙科专家Farrell医师于上世纪九十年代初,应用计算机并结合自己大量的正畸临床工作设计出的矫治系统。该系列产品已在澳洲、美洲和亚洲被广泛应用。
MRC的矫治原理
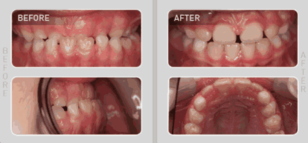
通过训练舌头的正确位置,正确的吞咽方式和用鼻呼吸,MRC的训练器和矫治器给孩子们带来整齐的牙齿排列。同时,训练器也对牙列施加轻度的力量,以帮助牙齿的排列和牙弓的扩张。这样的治疗不但排齐了牙齿,而且给孩子们美丽的脸形。同时,大大减少后期托槽矫治的时间也避免了拔牙的发生。
总有家长咨询:
“什么时候给孩子矫正牙齿最合适?”
今天就和大家科普一下
儿童早期矫治——MRC肌功能正畸
MRC是利用肌功能正畸技术
代替传统正畸技术
改善5—15岁孩子的牙齿和面部发育
给孩子带来整齐的牙齿和漂亮的容颜

生活中,每4位小朋友中就有3位
出现牙齿拥挤,牙颌发育不正常的情况
这些问题,家长们可以在您的孩子
3到5岁的时候就可以明显地看到

等到6至8岁
孩子开始换牙的阶段
牙齿不齐等问题就变得越来越严重
并影响孩子的面部发育

为什么这么多小朋友都有畸齿的问题?
现代研究表明,异常的肌功能习惯
比如用口呼吸,反向吞咽
吐舌头和吮手指
是牙列发育异常的罪魁祸首

在整齐和不整齐的牙齿比较中
牙齿的大小是没有改变的
牙齿的数目也相同!
这表明舌头和嘴唇的功能决定了牙齿的位置
而良好的脸部发育取决于
正常的功能习惯和正确的吞咽方式

儿童的错颌畸齿将影响孩子的面貌
是关系孩子一生的问题
父母应重视孩子口腔坏习惯对牙列的危害
并及时纠正儿童口腔不良习惯

儿童正畸,包括乳牙期
及混合牙列期的治疗
是可以尽早尽快地开始干预
问题刚刚萌出的时候,
就可以进行治疗
MRC的分类和选择:
乳牙列期( 3-5岁)
适用系列:J系列
锻炼颚肌,支持正确的咀嚼
代替安慰物、奶嘴
J1纠正儿童口腔不良习惯
J2促进牙弓发育,并纠正习惯
J3促进颌骨持续发育并进行咬合矫正
混合牙列早期(6-10岁)
适用系列:K系列
阻截性,治疗防御二类错颌畸形
K1纠正儿童口腔不良习惯
K2纠正习惯,并促进牙弓发育
K3最终矫正牙齿和固位
混合牙列后期(10-12岁)
适用系列:T系列
在混合牙列后期更有效的
治疗二类错颌和拥挤的畸形
T1改良口腔习惯;初步的牙列排齐
T2进一步改良习惯;扩弓
T3促进牙弓发育;纠正习惯;矫正单个牙齿
T4对牙齿和颌骨进行最终矫正
乳牙列后期混合牙列前期( 3-8岁)
适用系列:i3系列
阻截性,治疗三类错颌畸形
i-3N纠正习惯
i-3纠正习惯;促进牙弓发育
i-3H对牙齿进行最终矫正和固位
P-3调整颌骨的位置,在恒牙列期协助三列畸形的矫正
恒牙列期(12-15+岁)
适用系列:A系列
用于青少年及成人治疗轻度错颌畸形
正畸治疗后复发的错颌畸形
A1纠正习惯并对牙齿进行初始矫正
A2纠正习惯;矫正牙齿;促进牙弓发育
A3对牙齿进行最终矫正并固位
MRC的3大优势?
01
使用简单
白天佩戴1-2小时+晚上佩戴
约10个月左右时间睡出整齐牙齿
佩戴舒适
02
无毒无味无副作用,
体积小、轻便易清洗
03
趣味治疗
亲子式治疗,与小伙伴一起
边玩边学边矫正,寓治于乐
不影响正常生活
儿童长期牙齿畸形不仅会影响口腔及面部的发育,7-12岁儿童随着年龄的增长,很容易因为牙齿不齐而被身边的小伙伴嘲笑,从而变得自卑,不爱与人交往,自闭等。长期以往,对孩子的身心健康容易造成影响。
因此,让孩子能尽早拥有自信笑容,早期干预矫正是有必要的。希望所有的小朋友们都能好好保护牙齿健康,快快乐乐的成长!
来源:口腔精英
相关资讯
- 儿歌集锦 祝全球小朋友六一儿童节快乐!
- 龅牙矫正一定要拔牙吗?
- 牙齿正畸:片切疼不疼
- 牙齿正畸:为什么正畸拔牙拔第一前磨牙
- 1986年《出人头地》主题曲 生命过客 童安格演唱
- 口腔医生考试-口腔医学主治医师-基础知识口腔材料学
- 口腔修复学-基础精讲 02-第一单元 口腔检查与修复前准备-01李博士
- 口腔修复学-基础精讲 01-口腔修复学的重要性-学习方法与技巧
- 小乳牙有大作用——乳牙干细胞科普动画
- 正畸正颌联合治疗与单纯正畸治疗有什么区别
推荐产品

- 雅友儿童手机
- 雅友儿童手机












