随着口腔种植技术的发展,原被认为是种植手术禁区的上颌后牙区目前也可进行种植手术。但是上颌窦疾病的存在,仍给手术带来一些困难,大多数学者均在寻求简便实用的方法来处理种植术区上颌窦疾病。本文就1例上颌窦外提升术同期行上颌窦囊肿治疗,植骨后再择期种植的病例进行报道:
1.病例简介
患者,男,48岁,2015年6月因“左上后牙缺失”来海南省口腔医学中心要求种植修复,患者一年前因根尖周炎拔除左上后牙,拔牙前至今一直伴有左侧鼻塞,流涕,头痛等症状,身体无其他疾患。口腔卫生欠佳,17牙、26牙、27牙缺失,25牙、46牙全冠修复,术区黏膜未见红肿。
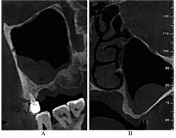
CBCT示:左侧鼻甲水肿,左侧上颌窦内可见黏膜呈半圆形隆起,密度均匀升高,未见钙化及明显骨质破坏;26牙剩余牙槽突高度(residual bone height,RBH)1.8mm,27牙RBH4.2mm,28牙RBH11mm,上颌窦颊侧骨壁厚度约1mm(图1)。


图1 术前CBCT
注:A,矢状面;B,26颊舌向切面;C,27颊舌向切面;D,28颊舌向切面。
建议:上颌窦底外提升术+窦腔冲洗,择期种植修复缺失牙。
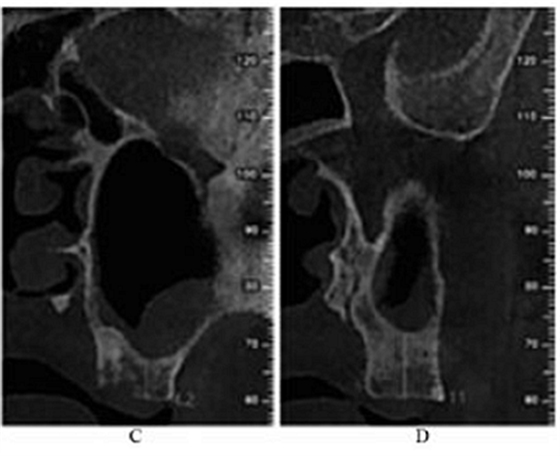
治疗过程:左侧上颌局麻下,于25~28牙区作梯形切口,翻瓣。用直径6mm的去骨环钻于25牙远中根尖处开窗,去除游离骨片,见窦膜完整,剥离窦膜。从开窗处穿刺抽出约2mL淡黄色粘稠液体,生理盐水加庆大霉素冲洗窦腔至冲洗液清亮,窦膜穿孔处放1.5 cm×2.5 cm胶原膜1片,在窦底与胶原膜之间植入骨粉1g,开窗表面覆盖2 cm×2.5 cm胶原膜1片及富血小板纤维蛋白膜3片,减张缝合(图2)。


图2 上颌窦外提升术中。注:A,开窗;B,抽出液体;C,植入骨粉;D,缝合。
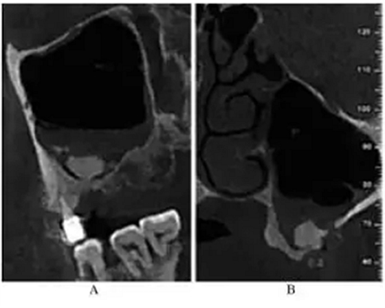
CBCT示:上颌窦内见液平面约达窦腔1/3(考虑为冲洗液未吸干净),上颌窦垂直高度得到补足,26牙高度8.4mm,27牙高度为9.5mm(图3)。患者拒绝穿刺液送病理检查。
术后用药:漱口液含漱,口服抗生素以及抗生素滴鼻。嘱患者勿用力擤鼻,打喷嚏等,忌剧烈运动,预防感冒。


图3 上颌窦外提升术后CBCT。
注:A,矢状面;B,26颊舌向切面;C,27颊舌向切面;D,28颊舌向切面。
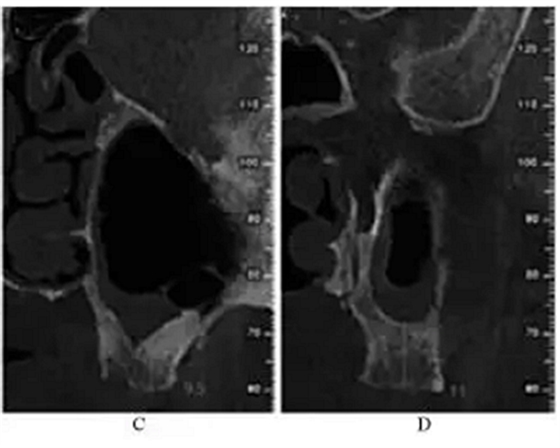
术后5个月,患者无流涕、鼻塞,无其他自觉症状。CBCT示:左侧鼻甲基本恢复正常,上颌窦高密度影较前明显减少,仍有少量黏膜增厚。26牙RBH8.1mm,27牙RBH8.4mm(图4)。拟26~28牙种植修复。


图4 种植前CBCT。注:A,矢状面;B,26颊舌向切面;C,27颊舌向切面;D,28颊舌向切面。
2.讨论
上颌后牙区牙缺失是口腔种植修复的常见病例,但由于其特殊解剖结构以及牙槽嵴萎缩,在过去该区域为“解剖禁区”。目前对于上颌后牙区骨量严重不足的患者常进行上颌窦外提升增加骨量。Summers等认为,对于RBH不足5mm的患者,上颌窦外提升术是较为可靠的方法。本病例26牙RBH仅为1.8mm,27牙RBH为4.2mm,可以采用外提升术来获得足够的牙槽嵴高度。上颌窦外提升即在上颌窦外侧壁开窗,将窦底粘膜向上推移,填入骨替代材料以增加牙槽骨高度。
Timmenga等发现有上颌窦炎的患者在窦底提升术后可出现鼻窦炎症状,可能为操作过程中对黏膜直接刺激加重了上颌窦的炎症。因此术前需常规请耳鼻喉科会诊,进行相应治疗后再行提升术,并且建议在治疗3个月后行窦底提升术。
本例患者不仅存在上颌后牙区牙槽嵴严重萎缩,同时还伴有上颌窦囊肿。如果先进行上颌窦根治术再进行上颌窦提升术,则创伤较大,恢复时间长,并且会破坏上颌骨的形态结构及生理功能。虽然随着鼻内镜的发展,其治疗创伤减小,但也存在深度感差,操作时患者不适,并可出现鼻出血或血管神经迷走性症状等情况。因此患者也难以接受这种治疗方法。国内外有文献报道在不处理上颌窦囊肿的情况下,可行种植手术,但上颌窦囊肿毕竟是一个危险因素,可诱发窦内炎症改变。
本病例在前期不进行上颌窦囊肿处理的情况下,仅在上颌窦外提升手术过程中由开窗处对囊肿进行处理,保留了上颌窦黏膜,直接植骨后也获得了良好的骨高度,鼻塞、流涕症状消失,这与Davis等的结果是一致的。这种治疗方法减少了创伤、缩短了治疗时间和患者就诊次数,同时避免了二次手术的痛苦、转科的繁琐程序以及患者的精神负担,取得了良好效果,但其远期疗效仍需进一步观察。
来源:王秋子, 徐普, 陆丽英,等.
口腔之声



