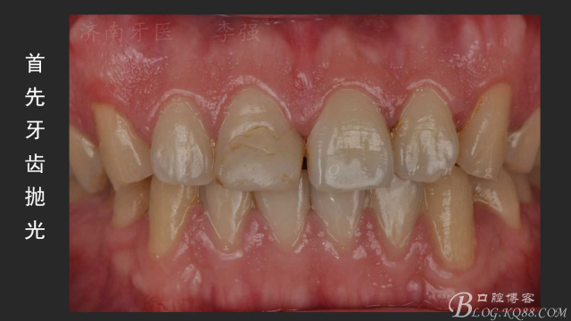
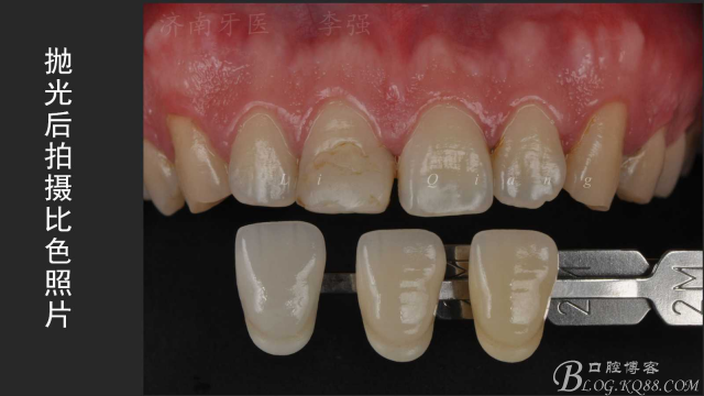
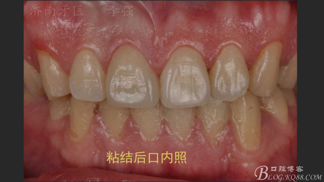
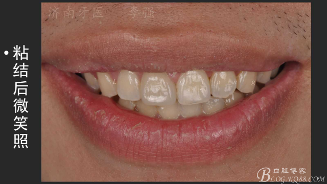
直接盖髓,铸瓷全贴面微创再修复病例(牙医 ~李强)
相关资讯
推荐产品

- 宇森藻酸盐印模粉搅拌机
- 品牌:佛山宇森 宇森藻酸盐印模粉搅拌机,快捷,致密,无气泡,6秒就OK!全国服务热线029-88651307

- 美国医用超轻转角放大镜团购
- 美国医用超轻放大镜Feather sight loupe,口腔根管放大镜、眼镜式医用放大镜,看得清,才能做的精,哪个品牌放大镜好?有比较才有鉴别。可与蔡司放大镜媲美。 科贸嘉友029-88651307

- 口腔反光板
- 材质:不锈钢。 售价:150元/单面一套(4块) 380元/双面一套(5块)










































