029-88651307

牙医—我们只有好产品

www.jykm88.com

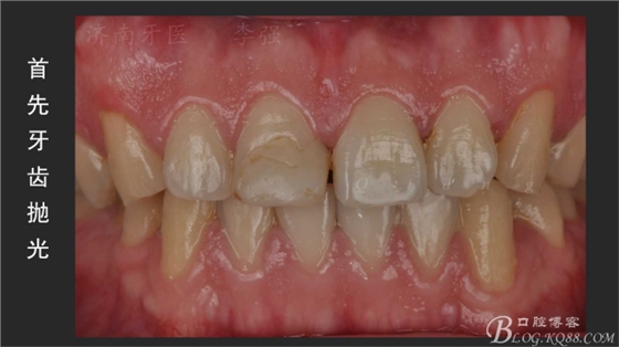
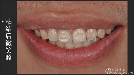
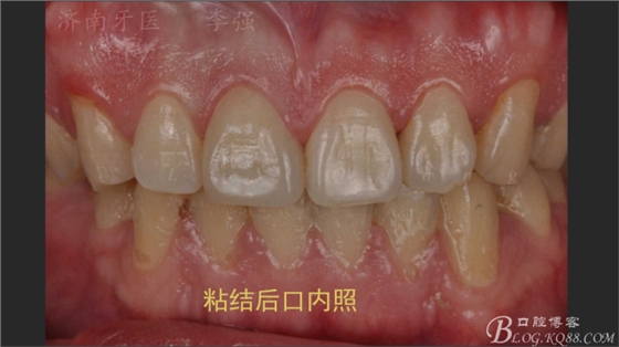
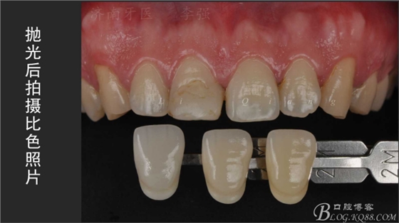
首页李强 直接盖髓,铸瓷全贴面微创再修复病例(牙医 ~李强)

直接盖髓,铸瓷全贴面微创再修复病例(牙医 ~李强)

2016年10月12日17:01  人气:-

网友热评

推荐产品

牙模-牙科模型1.2米
牙模-牙科模型1.2米
售价:1500元, 产品特点: 1、高1.2m,高分子材料,外形烤漆,防水耐光照; 2、底部带滑轮,便于移动; 3、可安装光控或声控(选配380元)。
宇森全能种植无菌拔牙套装团购
宇森全能种植无菌拔牙套装团购
宇森全能种植无菌拔牙套装团购,国产牙科种植机,牙科种植机哪家的好?可拆卸种植弯机 “保养大法”,学会它,寿命可再战几年!科贸嘉友 029-88651307、17791999852
德国奥一儿牙车针
德国奥一儿牙车针
德国奥一儿牙车针 科贸嘉友029-88651307
宇森机扩C-SMART-1PILOT领航者
宇森机扩C-SMART-1PILOT领航者
宇森新品机扩领航者C-SMART- 1PILOT震撼上市,超越想象的创新,难以置信的突破超大屏,真无线全功能手柄,操作更方便,300°旋转机头,无惧任何刁钻的角度。 科贸嘉友029-88651307
电话咨询 产品中心 短信咨询 首页