种植医生如何用好口腔激光
概述
在口腔种植及其外科手术领域,口腔激光比传统工具具有众多优势。尤其是口腔激光杀灭细菌和切割止血的特性,使得种植医生可以以一种更加灵活、高效、微创和快速的方式完成治疗,并且满足患者对术后快速恢复以及减小疼痛的要求。
种植体周围软组织改善
持续稳定的软组织支撑是种植长期成功的必要条件,其主要目的是改善种植体周围软组织状况,主要包括:唇系带整形术、牙龈整形术和牙龈黏膜手术。
口腔激光在这些手术中的优势主要有:
精准、细致的外科切割
手术中止血效果以获得更佳的视野
手术区域的细菌杀灭
减轻术后水肿和疤痕组织的产生

下唇系带整形手术前

术后即刻

术后3天
种植手术后的激光应用
种植手术后的激光应用主要包括种植体暴露和种植体周围炎治疗。得益于减少了术后出血区域以及更快的恢复,在种植体暴露中口腔激光的优势在于可以实现即刻取模。

种植体暴露术术前

术中

愈合基台安装前

愈合基台安装后
在种植体周围炎的治疗中,口腔激光疗法甚至已经成为首选治疗方案。因为绝大多数种植体周围炎患者都存在细菌感染,而导致这一结果的重要原因就是口腔卫生问题持续恶化。
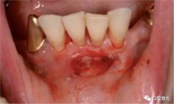
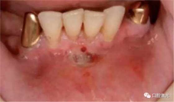
杀灭牙周袋中的细菌是治疗此类细菌感染疾病的重点。大量的文献已经证明,口腔激光在此方面的具有显著的效果。在利用传统工具进行洁治后,通过口腔激光(半导体激光或钕激光)对种植体表面以及周围软组织进行照射杀菌,随后还可利用口腔激光(半导体激光或铒激光)对种植体周围软组织进行气化切除。

#33,#43显示存在种植体周围炎

激光对#43病变组织气化切除前(左图)后(右图)

激光对#33病变组织气化切除前(左图)后(右图)
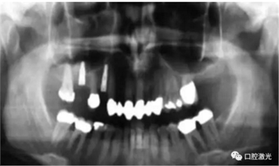
气化切除种植体周围的软组织可以获得一个干净的种植体表面以及去除感染的生物组织层。其目的是稳定种植体周围的组织结构,从而避免骨的缺失导致种植体的失败。但由于种植体的数量逐步增加以及患者年龄的逐渐增大,出现种植体周围炎的概率会显著提高。口腔激光疗法的出现,扩大了种植体周围炎的治疗范围并提供了维持健康的种植体的一种全新方法。
来源:激光君




