【案例】口腔激光辅助儿童口腔系带整形
概述
在儿童口腔治疗中,最大的挑战就是儿童对疼痛、治疗器械、噪声以及其他所有陌生事物的恐惧心理。因此,儿童口腔外科手术对于儿童本身、家长以及口腔医生来说都是一种特殊的挑战。

在口腔治疗中,恐惧和焦虑都会导致患者行为的失控。儿童的这种行为失控将会直接导致手术的失败或者愈合恢复的困难。相比传统治疗方法,口腔激光辅助儿童口腔系带整形术给患者提供了一种全新、舒适、快捷的治疗方案。对于激光器的选择,半导体激光、钕激光、二氧化碳激光、水激光以及铒激光都可以用于系带整形术。

案例介绍
由于患者大多是儿童,因此本案例中采用的是儿童激光治疗原则。儿童激光治疗原则是用于儿童口腔激光治疗的系统性指导,其包括:心理焦虑、行为管理、消除敏感心理、激光参数调整以及儿童口腔疾病的治疗步骤。(编者注:本公众号在今后的文章中会详细介绍这一原则的相关内容。)

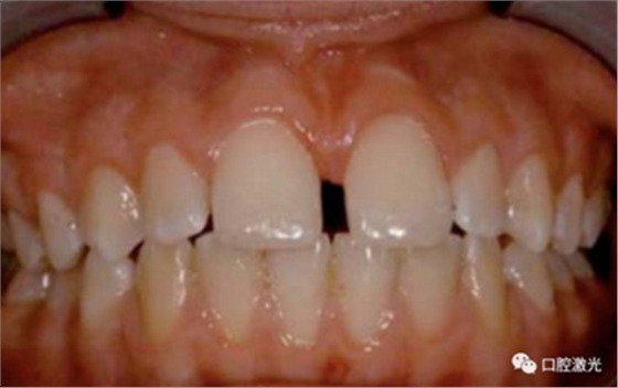
本案例中,患者为12岁男性儿童。由于上前切牙中间缝隙无法关闭,正畸医生推荐进行上唇系带整形治疗。由于患者之前的痛苦经历,对外科治疗方案十分焦虑并且反感。

通过临床检查,发现上唇系带已延伸通过上前切牙中间牙龈部位进入到上颌腭侧,导致上切牙间空隙最大处5mm、最小处4mm。整个手术过程耗时8分钟。由于本例中系带组织较厚、在牙龈内较深并且已经贯穿进入内部腭侧,因此采用了表麻加局部麻醉,而大多数系带整形手术仅采用表麻即可。
在等待麻醉生效期间,患者、患者母亲、助手以及牙医戴好激光防护眼镜。并且利用这段时间向患者介绍激光技术,以消除患者对于激光的陌生感。这里分别介绍和演示了激光光束及其功能以及手术的步骤。先将激光的指示光照射在一个玩偶上,然后移动到儿童患者的手上让其感受,逐渐安抚儿童控制好情绪。当儿童患者感觉不再紧张后,就可以开始系带整形术了。整个系带整形的时间约为4分半钟。

首先沿系带两侧靠近牙龈位置的边缘处做V型切开。在利用激光进行软组织切割时,可以用手或工具将唇部系带拉紧。然后沿菱形方向,由外朝里进行切割,去除过于的组织和纤维。必要时,可以对腭侧和切牙间牙龈部位的系带纤维组织进行切割或气化消融。整个手术过程少量流血或不流血,视野清晰、便于快速操作。术后无需缝合,仅用脱脂棉压迫30秒即可。由于手术迅速,患者的配合度很高。

手术完成后,无需额外服用止疼药或者抗生素。患者的术后建议是手术当天不要饮用奶制品、含酒饮料、禁烟、咖啡和茶等并且不能参加体育活动。可适当对唇部进行冰敷,并且进行正常刷牙。


一天后复诊可以看到恢复情况良好,没有水肿和疼痛发生。4个月后,相比治疗前,前牙间距缩小了1.5mm,可以继续进行正畸治疗。

术后1天

术后4个月
来源:激光君




