上海九院牙体牙髓科

上海交通大学医学院附属第九人民医院牙体牙髓科脱胎于口腔内科牙体牙髓病学专业学组。口腔内科的前身为震旦大学牙医学院附属广慈医院口腔科下属的口腔诊断室、口腔治疗室,始建于解放前;1955年,易名为口腔内科,许国祺教授、乌爱菊教授任科副主任(科主任缺如)。当时,根据教材与教学内容,口腔内科下设三个临床专业学组:龋病-牙髓病-根尖周病组、牙周粘膜病组与儿童牙病治疗预防组。1965年,口腔内科随口腔医疗系由广慈医院迁入第九人民医院,医疗教学工作得到很大发展,黄宗仁教授任科主任,邵家珏教授、王晓仪教授任副主任。1984年,刘正教授任科主任,王晓仪教授、曹宏康教授、袁诗芬教授任副主任,由于学科发展,口腔预防科与儿童口腔牙科自口腔内科划出。口腔内科下设三个临床学组,分别为牙体牙髓病组、牙周病组与粘膜病组。曹宏康、冯希平和周曾同先后任口腔内科主任,梁景平教授等任副主任。在口腔内科的组织结构中,牙体牙髓学组承担了医教研的主要工作,学组多位学术带头人乌爱菊、邵家珏、刘正、王晓仪、梁景平等曾兼任科室正副主任,对口腔内科的发展作出了重要贡献,自1980年起设立硕士研究生培养点,1986年获准为博士研究生培养点。1995年,口腔内科被批准成为上海市医学领先专业,由市卫生局资助进行学科建设,学科带头人为刘正教授。当时,牙体牙髓学组的优势特色主要是:1、学科在龋病的病因学和预防学研究诊治方面居国内领先;2、牙体病治疗中对弯曲细小根管的治疗居国内先进水平。2000年10月31日,刘正教授获聘上海第二医科大学附属第九人民医院终身教授。
学科建设,成效显著
2007年,随着学科的发展,牙体牙髓病学组科独立成科,并正式迁入新落成的一号门诊楼,梁景平教授任科主任,科室获得了极大的发展,全科医护人员40余人。作为上海市乃至华东地区的主要专科,能开展牙体牙髓专科的各项诊治技术,包括美容齿科修复,疑难根管诊治,根管再治疗,大面积牙体缺损修复,显微根管治疗与显微根尖外科手术等,年门诊量以8~10%的速度递增,2010年全年门诊人次达到75000人次。其中,约40%患者来源于周边地区,根管再治疗病例达30%左右。门诊诊断准确率>90%;初步建立了患者随访制度,医患关系和谐,严格遵守口腔消毒与感染控制规范,历年患者满意度调查高于90%。2007年,梁景平教授任中华医学会牙体牙髓病学专业委员会主任委员。2010年,牙体牙髓病科获评首批国家临床重点专科,专科的学术水平、临床诊治技术、专业辐射能力获认可。2011年,梁景平教授牵头成立了上海口腔医学会牙体牙髓专业委员会,牙体牙髓科作为主任委员单位与各兄弟单位共同推动着本地区在专业领域的临床、教学与科研工作的全面发展。
科研创新,硕果累累
牙体牙髓专科明确了临床研究方向为复杂根管治疗,牙体美容修复治疗,大面积牙体缺损修复治疗等方向,并在口腔微生态、牙齿的发育生物学以及组织工程学方面已开展深入的研究,初获成效。2007年至2015年,共立项国家自然科学基金研究课题16项,“十一五”与“十二五”支撑计划横向课题各1项,其他省部级课题15项。2009年1月,梁景平教授参与的国家“十一五”科技攻关科研项目“我国成人根管形态特点与根管治疗质量及疗效关系的研究”,由上海交通大学作为第二完成单位获国家教育部科学技术进步一等奖。2016年,梁景平教授的“口腔微生物、炎症因子与牙体牙周疾病致病机制的研究”科研项目获中华口腔医学科技二等奖。
学科带头人梁景平教授为《牙体牙髓牙周病学》杂志副主编;《中华口腔医学》杂志编委、《中华口腔医学杂志(电子版)》编委、《中国口腔医学年鉴》编委、《上海口腔医学》杂志编委、卫生部统编教材《龋病学》副主编。
杏林育人,甘为人梯
牙体牙髓科承担上海交通大学口腔医学院7年制本硕联读生,与硕士、博士生的临床与科研教育工作,2007年至2015年内毕业博士研究生16人,硕士研究生45人,作为规范化医师培训基地,每年平均培训50余名住院医师、进修医师,年均举办国家级继续教育项目5次。学科带头人梁景平教授作为副主编参加参加卫生部普通高等院校规划教材《牙髓病学》的编写工作,科室多位骨干教师夏文薇、黄正蔚、唐子圣等参与《牙体牙髓病学》《龋病学》《口腔生物学》等统编教材的编写工作。
临床亚专科建设有特色
牙体牙髓病科主要承担着对牙体疾病以及牙髓根尖周疾病的治疗,科室积极利用学科优势建立起了临床亚专科,在微创牙髓治疗、美学牙体修复以及显微根尖外科方向开拓创新,以更好地服务于患者,实现牙体保存的临床目标。
显微牙髓治疗更专业
根管治疗是目前牙髓病与根尖周病最有效的治疗方式,所谓根管治疗是在牙体表面切割获得进入髓腔的通道,并由此进入牙齿内部的根管空间,采用手术的方式清除感染病灶,并用惰性材料对根管进行严密的充填以消除死腔。在国家临床重点专科的建设下,牙体牙髓科建立起了显微牙髓治疗的亚专科,目前已拥有12台根管显微镜,在手术放大设备的帮助下,微创治疗已成为可能。日常治疗过程中,医师无需磨除过多的牙体组织,即可获得牙髓治疗的入路,从而保留了更多的牙体组织,使牙齿的抗力进一步得到增强。
在根管显微镜的帮助下,医师对于根管的解剖结构将更为明确,显微根管治疗器械将有助于医师更彻底的清除根管内的感染,使根管治疗成功率进一步提高,同时对于器械分离,根管壁破坏等手术并发症也能得到有效的控制。

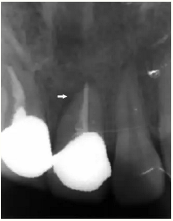
▲显微牙髓治疗

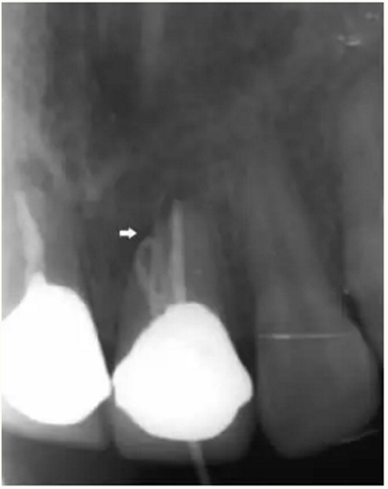
▲显微牙髓治疗
牙体树脂美学修复受青睐
牙体树脂美学修复,顾名思义,指的是以复合树脂为充填材料,按照美学的要求对牙体缺损进行修复。回顾历史,复合树脂粘结修复技术发展至今已有一个甲子的历史。60年来,树脂材料不断推陈出新,粘结技术持续进步革新,树脂修复因其优良的物理机械性能,便利的操作性和卓越的美观性而日益得到临床医生的青睐,成为临床上进行牙体缺损修复首选的材料和技术。而随着人们物质生活水平的不断提高,患者对修复的效果美学要求也在不断提高,强有力地推动了树脂粘结修复技术的快速前进。尤其是近几年,伴随着材料和技术的发展,美学修复的理念深入人心。因此,当复合树脂粘结修复技术与口腔医学美学相互融合渗透,最终发展成了牙体树脂美学修复技术。
牙体树脂美学修复适用于对牙体修复效果有美学要求的前牙或者后牙。对于患者而言,前牙修复效果更为直观。因此,临床上对于前牙美学修复的需求更为迫切,常见的修复类型为及切角的前牙牙体缺损。治疗的过程一般为①比色、②缺损牙体的树脂预修复(直接修复)或者取模翻制石膏模型的基础上制作蜡型恢复缺损牙体(间接修复),③硅橡胶制作舌侧导板,④上橡皮障,牙体预备(洞缘斜面),⑤酸蚀、粘结,⑥树脂分层充填,⑦修形、抛光,⑧完成。

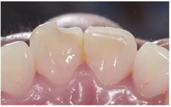
▲术前(唇侧)

▲术前(舌侧)

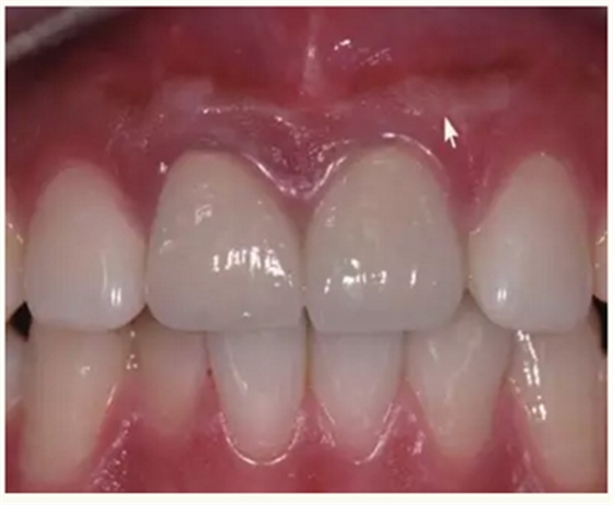
▲术后即刻(唇侧)

▲术后即刻(舌侧)

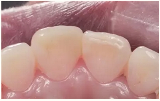
▲术后一月(唇侧)

▲术后一月(舌侧)
显微根尖手术效果佳
根管外科手术一般是经传统的根管治疗后,症状没有改善而根管再治疗不能进行或不能获得良好效果的条件下进行,是常规治疗的有效补充,随着美容牙科的不断发展,根管外科手术的一个常见原因是牙髓治疗失败且伴有牙冠/桩核冠修复的牙齿。通常,非手术方法再治疗在使用超声波或其他器械去除牙冠/桩核冠时,需去除部分健康的牙体组织,尤其是桩核冠的去除。
根管外科手术是通过对根尖孔的封闭,防止细菌及其分泌毒素、坏死牙髓组织的分解产物从根管系统进入根尖周组织,引起根尖周组织的炎症。根尖封闭的效果是通过根尖切除术,以及随后的根尖倒充填术而获得的,通过对根管系统的封闭,在感染根管内的刺激物和牙根周围的组织之间形成屏障,以阻断组织液进入根管,以及根管系统内的微生物进入根尖周组织。
整个治疗过程是在手术显微镜(Dental Operating Microscope)下完成,手术显微镜的应用可增强根尖区视野,手术从骨切开、根尖搔刮、根尖切除、根尖洞形的制备至倒充填更加清晰,可减少组织的损伤和减轻患者术后疼痛和肿胀的发生率。手术显微镜具有良好的光源和放大作用,能准确定位根尖部位,通过显微口镜的反射能够清晰地观察根尖切除的断面,发现可能存在的根尖解剖变异,并能观察根尖倒预备后的洞形,定点、定量输送倒充填材料,以形成严密的封闭屏障,从而保证了整个手术顺利完成。

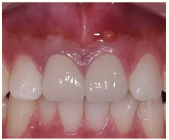
▲ 术前,21唇侧牙龈距离龈缘2mm处及瘘管

▲牙胶尖示踪显示瘘管与此相通

▲21牙根近中侧位于根尖1/3和根中1/3交界处有牙周膜间隙略增宽

▲术后,手术切口处疤痕

▲术后,X线显示:21根尖切除区域骨质修复,根管倒充填物完好,原牙周膜间隙增宽影消失
点将台
梁景平 教授
九院牙体牙髓科学科带头人

* 中华口腔医学会牙体牙髓病学专委会副主任委员
* 上海口腔医学会牙体牙髓病学专委会主任委员
医学博士、主任医师、教授、博士生导师、科主任,国家临床重点专科、上海市重点学科(牙体牙髓病学)带头人。主要从事口腔微生物学、牙体牙髓病发病和预防机理的研究。作为课题负责人先后主持了国家自然科学基金以及上海市科委、市教委、市卫生局资助课题20余项。以第一作者和通讯作者身份发表论文120余篇,其中SCI 30余篇;主编和参编专著10余本。1999年入选上海市教委曙光计划,其承担和参加的课题《变形链球菌脂磷壁酸的粘附作用》获国家教育部科技进步二等奖;《牙菌斑中间菌作用的研究》获中国高校自然科学奖二等奖;国家自然科学基金项目《粘放菌菌毛粘附作用机制的研究》获上海市科技进步三等奖。2004年获上海市优秀曙光学者;2008年获上海市医疗成果三等奖;2009年获教育部科技进步一等奖;2016年荣获中华口腔医学科技奖二等奖。
专家团队
梁景平 主任医师

特需门诊:
周一下午、 周三下午、周五上午
擅长:
牙体牙髓各类疾病的诊断和治疗
夏文薇 主任医师

特需门诊:
周五下午
擅长:
疑难根管治疗,树脂美容修复,根管治疗和牙体美容修复
黄正蔚 主任医师

专家门诊:
周三全天
擅长:
显微根管治疗、美学修复
唐子圣 主任医师

专家门诊:
周一上午、周五上午
擅长:
牙体牙髓各类疾病的诊断和治疗
潘益华 副主任医师

专家门诊:
周一上午、周二下午
擅长:
牙体牙髓病疑难病症治疗、弯曲细小根管处理
孙喆 副主任医师

专家门诊:
周二上午、周三下午
擅长:疑难根管治疗,树脂美容修复,牙体牙髓病的治疗
马瑞 副主任医师

专家门诊:
周五全天
擅长:
牙体病,牙髓病诊断和治疗
宁放 副主任医师

专家门诊:
周一下午、周四上午
擅长:
补牙,根管治疗
曹东 副主任医师

专家门诊:
周三全天
擅长:
牙体病,牙髓病诊断和治疗
王蓓 副主任医师

专家门诊:
周一上午、周二下午
擅长:
各类牙体牙髓科疾病
褚敏 副主任医师

专家门诊:
周二全天
擅长:
牙体病,牙髓病诊断和治疗
来源:上海第九人民医院



