种植体周围炎的激光疗法
众所周知,随着人们生活水平的提高,口腔种植的普及率逐年上升。受到治疗条件和后期患者防护意识不足的影响,近年来,种植体周围炎的患者呈快速增长态势。如果种植体周围炎得不到及时有效的治疗,就会导致种植体的脱落。

种植体周围感染与牙周的感染有着类似的病因,那么在治疗上是否也是类似的呢?

对于没有翻瓣的种植体周围炎的传统治疗方案成功的概率是不乐观的。当我们进行翻瓣处理后再进行种周炎的治疗,结果就会好许多。尽管翻瓣后,我们可以更好的接触种植体,但对种植体表面的进行灭菌处理的难度也要比普通龈下刮治的处理要复杂的多。种植体表面复杂的结构虽然在种植时起到很好的促进结合作用,但对于种周感染而言,这些复杂的表面结构就是一个个令人头疼的陷阱。因此,治疗牙周炎中所利用的工具难以完全清除种植体表面的细菌和感染组织,使用效果大打折扣。

激光辅助种周炎治疗方案
利用口腔激光波长与生物组织吸收的特性,激光可以起到杀灭细菌和生物刺激的作用。尤其是半导体激光波长处于近红外波段,因此对细菌上携带的黑色素具有很好的吸收效果,可以更加有效杀灭细菌。另外半导体激光具有生物刺激、加速组织恢复的功效,因此是进行种周炎治疗的首选工具。

种植体周围炎治疗的目标
1. 减少种植体感染
2. 强化与骨的结合
为了实现这一目标,种植体表面应该不受到任何外来细菌或毒素的感染。如果清除干净,之前的组织炎症会得到快速恢复,患者自身的健康细胞会重新附着在种植体表面。种周炎治疗的关键是清除种植体表面的感染物和毒素。
传统的清洁方法包括使用刮治器或超声设备等在种周炎的治疗中都存在一定的限制。如果在传统治疗方式的基础上,采用激光治疗,可以起到很好的灭菌、消毒和生物刺激的作用。
经典的牙周治疗方案一般分4个阶段
初始阶段(或洁治阶段)
评估阶段
手术阶段
维护阶段

由于种周炎一般多发生于没有得到治愈的牙周疾病,因此在进行口腔种植前或者治疗种周炎前进行全口牙周治疗是十分有必要的。
在治疗的初始阶段,一般采用非手术方式。患者的口腔卫生得到有效控制,牙齿结石、牙菌斑等通过龈下刮治和超声洁牙方式得到清除。
随后,使用半导体激光器,设置功率2.5W,50Hz脉冲输出。激光光纤尖伸入牙周袋内,在发射激光的同时,沿种植体表面滑动。需要经常目测检查光纤尖是否沾染了凝固的组织碎屑,并及时通过湿棉球清除干净。这样做的好处是防止光纤尖吸收激光能量导致组织温度过高。

每次治疗过程中,每颗种植体都需要做3个30秒钟的激光灭菌照射。在这30秒内,可以发射激光2-3秒,然后暂停2-3秒,累计激光照射时间须达到30秒。这样操作是为了严格控制组织的温度过高。由于细菌携带的色素对半导体激光吸收作用强烈,因此发炎细胞被破坏分解。但周围正常组织却不受高温影响,并且进行着激光生物刺激作用,实现一举两得的效果。

在随后的一周内,再重复激光灭菌治疗2次。如果第三次激光治疗后病情仍然没有得到明显改善,就需要考虑准备手术阶段。如果临床改善效果明显,患者可以6-8周后复诊,进入评估阶段。初始阶段的目标是尽可能的减少发炎的组织。而口腔激光在这一阶段的优势在于灭菌的彻底性和生物刺激的双重作用。

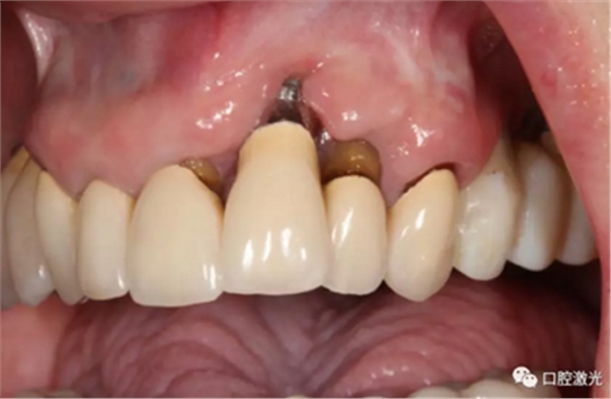
激光非手术种周炎治疗前与治疗后2年的对比
在评估阶段,需要评估初始阶段治疗后牙周的卫生状况和牙龈恢复状况。只有当患者的病情得到有效的好转时才能进入维护阶段,如果仍然存在牙龈出血和脓性液体的话,应考虑准备进入手术阶段。
需要注意的是,尽管有很多的种植体周围炎患者就诊时就已经十分严重需要手术介入,但仍然需要从初始阶段开始治疗是十分重要的方法。

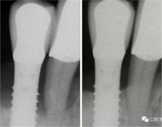
激光非手术种周炎治疗前与治疗后2年的对比
手术阶段的目标是为了能够接触到种植体的全部表面部位。从而可以完全去除结石,并且实施激光灭菌。手术介入治疗是针对那些在初始阶段治疗效果不明显的患者。通过内切翻瓣,暴露整个种植体表面。小心去除种植体周围的肉芽组织,如果在种植体表面看到结石附着,可以通过超声或铒激光进行去除。随后,对种植体表面的剩余物质进行激光照射灭菌。功率2W,连续模式照射10秒钟,快速移动光纤尖,避免种植体表面温度过高。

维护阶段是为了在一个相对更长的时期内维持治疗的效果。检查的内容取决于复诊间隔的长度。如果种植体周围存在轻微的炎症复发迹象,可以再次利用半导体激光进行杀菌消炎和生物刺激。

激光辅助种周炎手术治疗前,中和手术后4年
来源:激光君




