半导体激光软组织焊接治疗糜烂型扁平苔藓
概述
口腔扁平苔藓(Oral Lichen Planus, OLP)是一种常见的自身免疫性疾病。由于自体毒性T淋巴细胞引起上皮细胞死亡,最终导致口腔黏膜出现慢性炎症。就症状而言,萎缩性和糜烂性口腔扁平苔藓对患者的痛苦程度最大。对于该病症的治疗,传统方法都是通过减轻炎症来减轻症状,达到控制疼痛的目的。通常的选择有局部使用类固醇类药物,或者服用免疫抑制药物或系统性类固醇药物。低功率激光理疗也是保守治疗方法中的一种选择。对于顽固性的口腔扁平苔藓,尤其是糜烂性的,通常只能选择手术治疗。例如,手术切除软组织,冷冻等。对于缓解疼痛而言,这些手术治疗的方法都表现出令人满意的效果,但在病变区域愈合方面,并不令人满意,特别是对于糜烂型病例,复发经常发生,因此存在恶性病变的风险。本文介绍了一种利用半导体激光进行口腔软组织焊接的技术用于该糜烂性扁平苔藓的治疗。

案例介绍
患者年龄55岁,男性。诊断为顽固的糜烂性扁平苔藓。在进食和饮水时有剧烈的疼痛感。患者之前接受三个月的类固醇类药物的局部治疗,没有取得理想的效果。最终因无法忍受药物带来的导致皮肤油性增加的副作用而停止。随后,该患者进行了低功率激光理疗(100mW),每周一次,共进行了4次。激光理疗可以取得局部的疼痛缓解,可以观察到溃疡区域的面积有所缩小。但无法最终实现痊愈。患者的溃疡区域仍然能在饮食时感受到刺激性的疼痛感。

口腔外部检查显示颈部淋巴结没有出现异常,口腔内部检查发现2*4mm溃疡表面呈现淡黄色糜烂,并且周围有1至2mm黏膜红斑。
激光焊接技术和效果
设置半导体激光,连续模式,功率2W。随后对糜烂区域实施表麻。将激光光纤轻触溃疡区域表面,发射激光。在周围红斑区域采用接近但非接触方式进行激光发射。术后区域的表面呈棕色且干燥,没有碳化的迹象。并且周围黏膜的红斑区域较治疗前得到减轻。

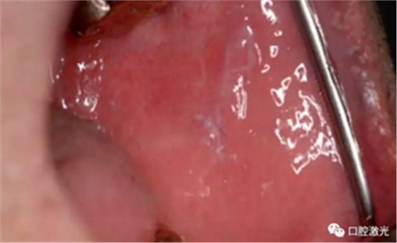
激光焊接手术术中

激光焊接手术术后即刻
一周后复诊患者反馈明显的疼痛减轻,通过检查可以看到溃疡的区域减小为1*4mm大小。重复一次激光焊接治疗,参数和方法同上次。第二次激光治疗后一周复诊,几乎没有溃疡区域,仅在黏膜表面存留一些白色斑点。患者仅在食用辣椒时才感到中度的灼热反应。随后三个月的持续观察中,没有发现溃疡复发的迹象。

分析与讨论
激光焊接技术对于治疗口腔扁平苔藓是有效的,并且能促进口腔黏膜的快速愈合。其治疗机理为,半导体激光波长拥有生物刺激作用,当口腔软组织被激光加热到70至80度时,黏膜的组织结构发生细微变化,产生螺旋状非折叠胶原蛋白,从而促进伤口的闭合和愈合。

第二次激光焊接治疗后一周
来源:激光君




