在本例中,难点在于还原天然牙列的所有细微差异和独特个体特征。需要让单个前牙冠完美融入后牙的美学区。为实现这一目标,必须使用VITA VM9瓷饰面和VITA AKZENT Plus外染色(VITA Zahnfabrik,Bad S?ckingen,德国)还原牙齿的独特特征。
下面,牙科技师Renato Carretti和牙医Denis Schafroth博士将阐述他们是如何对患者进行治疗的。他们对高度个性化的色彩模拟过程进行了详细描述。
VITA VM9瓷贴面和VITA AKZENT Plus染色可实现高度个性化的修复,且外观自然。
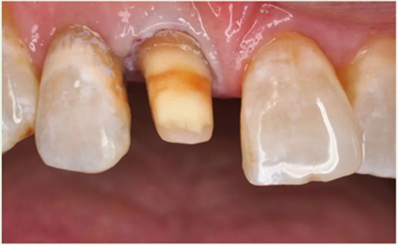
1、最初状态
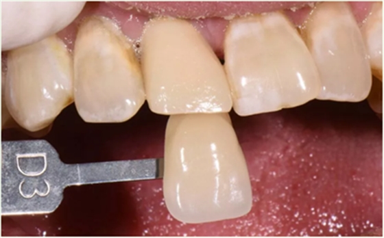
一名老年患者在11牙位处出现了复合填充物折裂。医生和患者决定用全瓷冠使牙齿保持长期稳固。天然牙不仅颜色不均,还存在白色氟斑和褐色变色等情况。患者要求再次修复后的牙齿应呈现出自然的外观。按计划,为了对氧化锆基底结构进行饰面,他们选择了细致入微的VITA VM 9瓷饰面和VITA AKZENT Plus外染色。在第一阶段中,他们对患牙进行了制备、扫描和临时性的修复。基牙颜色确定为D3。

图1:最初状态:为了使牙齿11保持长期稳固,对其进行了全瓷冠制备。

图2:使用VITA经典A1-D4比色板确定基牙颜色。
2、高度个性化饰面
为了使光效与相邻牙齿尽可能的接近,牙冠基底结构采用CAD/CAM支持的超透氧化锆制成。使用各种VITA VM 9牙本质和效果材料实现患者个性化饰面。在首次牙本质烧结后,进行目视检查。然后,对牙冠进行分步模拟处理,并且直接在患者口中检查每一步的烧结效果。

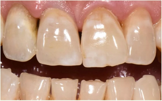
图3:临床试戴首次牙本质烧结后的效果。
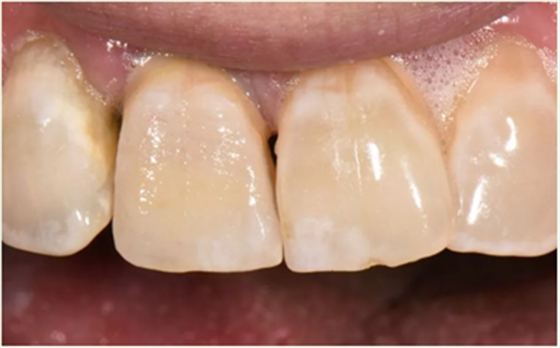
3、自然模拟
在牙颈部区域,使用VITA AKZENT Plus CHROMA STAINS B实现黄色阴影浸润。此外,还在此处使用了VITA AKZENT Plus EFFECT STAINS 05(橙色)和06(锈红色)。在切缘处增加氟斑,并且使用米色ES02在上牙颈部三分之一处增加微妙效果。“我使用CHROMA STAINS A在牙冠中部增加了暖色调。无论是在颜色的使用上,还是在最终效果上,染色效果饱和,且清晰可见,”Carretti解释道。最后使用CHROMA STAINS B在齿间区域模拟更多的色度。通过多次烧结巩固,模拟效果被逐渐融合。对患者的光学整合状态进行目视比较。

图4:分步进行VITA AKZENT Plus外染色,并通过烧结来巩固染色效果。

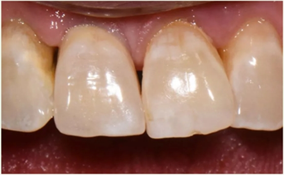
图5:临床试戴经过反复模拟处理和修形的牙冠。
4、生动的3D颜色效果
为了赋予色彩由内而外的效果,中心区域堆塑透明的WINDOW,切缘区域交替堆塑了EE9层(蓝色半透明)和EE11层(灰色半透明)。Carretti对用精细金刚石和细粒砂纸处理后的效果非常满意:“我只需使用超细釉粉进行釉面烧结,然后用浮石手动抛光,即可完成修复!”修复体的各个面都与美学区和谐地融为一体。尽管患者要求苛刻,但对修复效果表示非常满意。

图6:修复体粘接完成,并入牙列后整体外观和谐。

图7:修复体完美融入剩余天然牙列中。

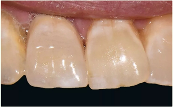
图8:结果:局部细节图清晰显示天然牙的所有细微差异均得到还原。
来源;口腔医学网



