【病例讨论】根管治疗失败患牙再治疗一例(上)
根管治疗是牙髓根尖周炎的首选治疗方法,遵循操作规范彻底清除根管系统内的感染,严密封闭根管系统,可以获得良好的疗效[1,2]。当根管治疗不完善,或因根管系统解剖形态复杂等原因不能控制根管内外感染时,将导致根管治疗失败[3]。针对失败病例,临床上可以通过根管再治疗,包括非手术再治疗和手术再治疗进一步消除感染,达到控制炎症、保留患牙的目的,同样具有较高的成功率[4,5]。北京大学口腔医学院·口腔医院牙体牙髓科收治1例多颗上颌前牙根管治疗失败的病例,经过非手术再治疗和手术再治疗,控制感染后于修复科完成最终修复,疗效满意,现报道如下。
一、病例资料
1.一般情况:
患者女性,23岁,于2014年5月就诊于北京大学口腔医学院·口腔医院牙体牙髓科。主诉上前牙牙龈肿痛,咬合痛半年。半年前曾因想改善前牙美观于外院行上前牙根管治疗及桩冠修复。1年前曾于北京大学口腔医学院·口腔医院正畸科就诊咨询。否认全身系统疾病,无药物过敏史。
2.临床检查:
临时冠修复体,龈缘红肿,唇侧根尖区可见窦道口(图1)。去除临时冠后可见为桩冠预备体。可见白色氧化锆桩核,叩痛+~++,根尖区扪痛。冠部唇侧开髓洞型可见牙色充填物,叩痛+,根尖区扪诊无不适。探诊深度2~3 mm,无松动(图2)。

图1患者临时冠修复体,牙龈缘红肿,根尖可见窦道
图2患者氧患者化锆桩核,可见开髓洞型及牙色充填物
3.影像学检查:
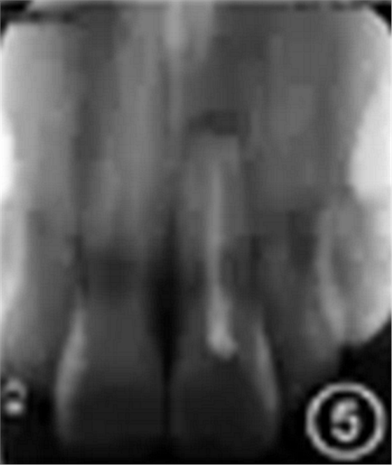
根尖X线片示根管中部以上可见高密度桩核影像,根充欠填,根尖有外吸收,根尖周低密度影。根管中上段无明显显影,结合临床检查判断为纤维桩,根充欠填,根尖周未见明显低密度影(图3)。锥形束CT显示根尖约4 mm×3 mm透影区,根尖部唇侧骨板缺损。根尖可见约1 mm×2 mm透影区,唇侧骨板完整(图4)。根尖未见明显低密度影。1年前根尖X线片显示根充欠填,根尖低密度影,牙冠完整,根尖无异常(图5)。


图3 患者上前牙根尖X线片显示,根尖外吸收,根尖周低密度影;根尖未见明显低密度影;根充欠填,根尖周未见明显低密度影
图4 患者上前牙锥形束CT截面影像显示,根尖可见低密度影,根尖唇侧骨板缺损
图5 患者1年前根尖X线片显示根充欠填,根尖低密度影,牙冠完整,根尖无异常
4.诊断:
慢性根尖周炎。结合病史为活髓牙初次根管治疗后,根充欠填,叩痛,根尖X线片及锥形束CT均未见根尖病变,症状与根管根尖段存留感染有关,初步诊断为残髓炎或牙髓坏死。
二、病情分析及治疗方案
因患者不考虑正畸治疗,希望在目前条件下尽快消除疼痛,恢复美观。经牙体牙髓、修复及牙周科会诊后确定治疗计划。
1.控制牙髓及根尖周感染:
牙髓及根尖周感染的控制是消除患者疼痛症状的关键,也是后续修复治疗的基础。但已有的牙体缺损程度及桩核修复方法不同,感染状态不同,制定治疗方案时需区别对待。
存在氧化锆桩核,经修复会诊分析桩核拆除风险较大,拆除过程有可能对牙体组织造成较大的损伤而影响后期修复,甚至可能产生牙根劈裂导致拔牙。此外有牙根外吸收,正向非手术再治疗对感染控制存在不确定性。通过根尖手术方式进行再治疗有一定的创伤,但能有效控制根尖周感染并确保冠部的完整性。因此,确定的治疗方案为手术再治疗。
由于感染主要局限在根尖段未充填的根管系统内,根尖周围无病变,手术再治疗的创伤较大。纤维桩的掏取相对可行性高,牙体组织损伤较小,根管内及根尖周感染也能通过非手术再治疗有效控制,因此确定的治疗方案为非手术再治疗。
在治疗顺序上,先进行的非手术再治疗,再进行的手术再治疗。如果非手术治疗中出现桩核难以掏取,无法进行治疗时,还可以在后续手术治疗中一并处理。
2.牙周炎症控制:
患者龈缘红肿与临时冠的刺激有关,通过牙周基础治疗可以控制。
3.修复方式:
针对患者希望获得良好美学效果的诉求,选择全瓷冠修复。直接使用原有氧化锆桩核。余留牙体组织较多,无需放置纤维桩,再治疗后可直接行冠修复。
三、治疗经过
1.牙周基础治疗:
全口牙周洁治,控制牙龈炎症。
2.非手术再治疗:
使用4%阿替卡因局部浸润麻醉,橡皮障隔离,显微镜下使用超声工作尖去除纤维桩,掏取根充物,疏通根管,确定工作长度,ProtaperSX-F3(Dentsply,美国)进行根管预备,5.25%次氯酸钠冲洗,超声器械荡洗根管,干燥,AH-Plus糊剂(Dentsply,美国),热牙胶垂直加压充填根管,玻璃离子暂封。
3.显微根尖手术再治疗:
4%阿替卡因局部浸润麻醉,消毒铺巾,自远中纵切口,龈缘下方约5 mm扇形水平切口,翻起黏骨膜瓣,可见根尖区骨质缺损,搔刮肉芽组织,切除根尖约2 mm。根尖未见明显骨质缺损,去骨,搔刮肉芽组织,切除根尖约3 mm。对根尖行亚甲蓝染色,显微镜下观察未见明显裂纹。超声工作尖进行根管倒预备,三氧化矿物凝聚体(mineral trioxide aggregate,MTA)(Dentsply,美国)倒充填。组织瓣复位,6-0号线缝合,1周拆线。治疗过程见图6。

图6 患者显微根尖手术再治疗过程 A:龈缘下方扇形水平切口,翻开组织瓣;B:根尖切除后;C:使用三氧化矿物凝聚体根尖倒充填后检查;D:手术切口缝合术后根尖X线片显示根充糊剂少量超填,根充恰填,倒充填根尖3 mm致密,与桩核末端之间尚有部分空隙(图7)。

图7 患者再治疗完成后即刻根尖X线片 A:糊剂少量超填,根尖3 mm倒充填致密;B:恰填,根尖3 mm倒充填致密。
未完待续
来源: 口腔空间



