病例分享
1、患者信息
病史:右下后牙反复肿痛,咬合无力一年余,要求拔除并种植牙修复。
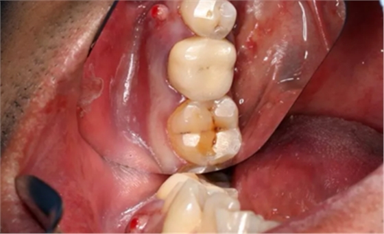
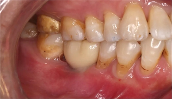
2、术前口腔内照片

46牙烤瓷冠修复,牙周红肿,叩痛,松2度。骨吸收波及邻牙,邻牙牙周情况不佳,45牙松2度,47牙松1度。
(摄于2016年8月31日,反光板协助拍摄)
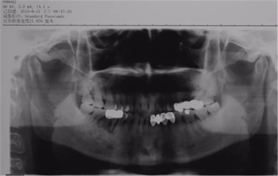
3、术前全景片

46牙烤瓷冠修复,根折伴大范围骨吸收。(摄于2016年8月31日)
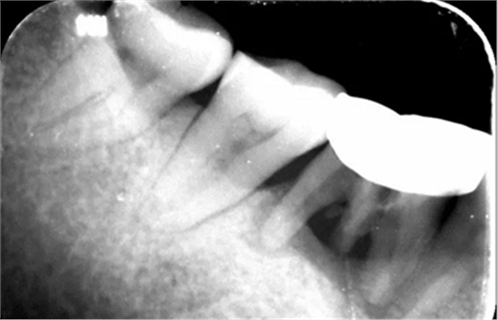
4、术前根尖片

5、术前治疗计划
诊断:46牙根折伴牙槽骨吸收。
治疗计划:46拔除牙槽嵴保存术,延期种植术。
6、牙槽嵴保存术过程:拔牙及位点保存


(摄于2016年8月31日)
7、术后CBCT检查

术后CBCT显示拔牙窝内充满植骨材料。
(摄于2016年8月31日)
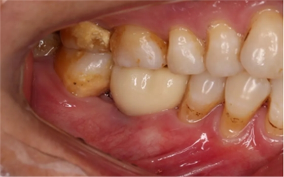
8、术后三月复诊

软组织愈合良好并开始上皮化,缺牙区远中愈合欠佳。
(摄于2016年11月24日)
9、术后六月复诊,种植前

软硬组织愈合良好并上皮化,牙槽嵴形态保存较好。缺牙间隙:12mm,合龈距:7mm。
(摄于2017年2月15日)
10、CBCT检查

CBCT检查测量缺牙区可用骨高度14.40mm,骨宽度6.72mm。
(摄于2017年2月15日)
11、常规植入WEGO种植体一颗

牙槽嵴顶水平切口,翻瓣,牙槽嵴近中较远中丰满。
(摄于2017年4月14日)
12、延期种植手术过程


使用直径3mm的环形取骨钻切取长约9mm的柱状骨标本,用于组织学和显微影像检查
(摄于2017年4月14日)

由于取骨致窝洞较大,加之缺牙间隙大,只好选择植入5mm直径种植体;种植备洞完成后,颊侧骨壁厚度仅约1mm。
(摄于2017年4月14日)

植入国产威高(WEGO)5.0×11mm种植体,检查种植体位于理想轴位。
(摄于2017年4月14日)

取下携带体,旋入封闭螺丝,潜入式愈合。
(摄于2017年4月14日)

组织瓣复位,常规间断缝合。
(摄于2017年4月14日)
13、术后4个月复查、植骨

4月后二期手术前口内情况
(摄于2017年8月10日)

翻瓣,发现种植体唇侧骨壁吸收至根部。
(摄于2017年8月10日)

远中骨壁部分吸收,近中及舌侧骨壁完整,种植体无松动。
(摄于2017年8月10日)
14、植骨手术过程

刮除肉芽组织及种植体表面清洁后,种植体唇侧骨缺损区植入人工骨粉。
(摄于2017年8月10日)

引导骨再生
(摄于2017年8月10日)

无张力间断缝合切口。
(摄于2017年8月10日)
15、植骨术后半年再次二期手术过程

植骨术后半年根尖片,种植体周围愈合较好远中少量骨吸收。
(摄于2018年4月20日)

植骨术后半年口内情况,远中颊侧组织愈合欠佳。
(摄于2018年4月20日)

翻瓣,种植体颊侧骨缺损已经基本修复,有1-2个螺纹外露。
(摄于2018年4月20日)

更换愈合基台,间断缝合切口。
(摄于2018年4月20日)
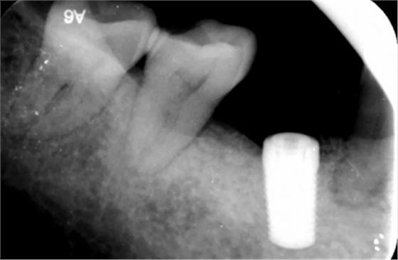
16、修复前根尖片

二期术后1月根尖显示种植体周围骨质稳定,无进一步吸收。
(2018年5月25日)
17、修复照片

袖口形成,上皮健康,远中唇侧软硬组织欠丰满。
(摄于2018年5月25日)
18、最终修复(口腔照片)

常规制作全瓷冠,试戴合适,粘接固位。
(摄于2018年6月13日)

常规制作全瓷冠,试戴合适。
(摄于2018年6月13日)
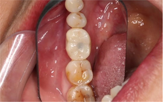
19、最终修复随访

修复完成6周随访,根尖片示种植体骨结合稳定,没有进一步骨吸收。
(摄于2018年7月27日)

修复完成6周随诊,牙龈形态,色泽良好,咀嚼功能正常。
(摄于2018年7月27日)
20、总结
牙槽嵴保存术较好的保留及重建了牙槽骨的骨量。但是在延期种植中因切取植骨区标本,选择植入了5.0mm直径的种植体,导致种植体唇侧骨厚度不够。其后的植骨结果证明了威高种植体的表面特性在骨结合的过程中发挥了较好的作用。
来源;威高洁丽康公司

