图解各类洞形树脂充填方法
树脂充填在满足顾客美观要求的同时还要考虑到远期效果,要想争取做到更好,就得做到“过程和结果一样重要!”。树脂修复后的美观效果和远期效果一方面由树脂本身的性能决定的,而另一方面则是由医生的技术水平和细心操作所决定的。尽管树脂充填的远期效果存在争论,但树脂充填已成为世界各地牙医广泛应用的一种修复方式已成事实。在克服树脂本身所存在的缺陷之外,我们要争取把好医生操作这个关口,尽量做到“美观”和“长久”兼得。
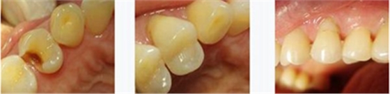
I类洞
I类洞由于四周有壁,有洞底等特点,其固位效果比较好,也是牙医公认比较“容易操作”的一类洞形。但I类洞充填时产生聚合收缩的可能性较其它洞形更大,如果单单按照“水平分层充填”的方式,就很容易导致树脂充填不密实的现象,远期微渗的几率也会随之增大,这也是很多同行所忽视的问题。I类洞形理想的充填方法是“楔形分层充填”。下图几张幻灯片摘自林正梅教授。
下列6张图片是本人利用离体牙进行I类洞树脂充填的过程——图1为充填前;图2是用流体树脂垫底;图3-图5为“楔形分层充填”牙本质的过程;图6为最终釉质表面形态完成。

II类洞
II类洞形由于缺少邻面洞壁,充填时容易造成悬突或充填体不够密实。因此要考虑到邻面及邻接点的恢复,充填方法相比I类洞要复杂,主要在于充填的同时要顾及邻面的的形态。其操作要点在于成型片及楔子的安放,充填前建议用流体树脂进行衬洞——先用流体树脂构建洞底邻面边缘;然后用后牙专用充填树脂进行邻面点的恢复,以稳定成型片;再进行“楔形分层充填”。

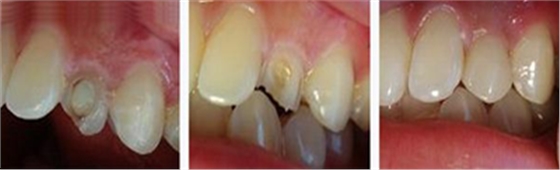
III类洞
III类洞常见于两种形式:一种是单面缺损(唇面或舌面只有一个缺损);另一种是唇舌面同时穿通。III类洞充填的同时对美学要求极高,因此要将牙本质和牙釉质进行分层充填。对于唇舌面已穿通的病例可以采用“夹层充填技术”。
III类洞单面(唇面)缺损____下列病例6张图片,分层堆筑牙本质层和牙釉质层。

III类洞单面(舌面)缺损____病例二下列〈图片前三张〉,病例三〈图片四,五〉(本人近期病例)-----“分层平面充填”。
III类洞唇舌面已穿通____下列病例为本人近期完成---- 本人运用了“夹层充填技术”——去腐后对唇舌面洞缘斜面均要进行预备,先夹层堆塑唇舌面本质层,然后再分别进行唇舌釉质层的堆塑。
IV类洞
IV类洞由于缺损面积往往较大,同时需要恢复切缘,邻面及唇舌面的形态,而且还要考虑到树脂颜色和天然牙颜色的匹配,因此充填方法更要讲究细节操作。
下列病例6张图片——IV类洞充填前制作硅胶导板,先恢复舌面釉质层形态,先完成舌面堆塑便于后面工作的进行!然后分层恢复牙本质层,再进行釉质层的堆塑。

下列大面积缺损的IV类洞病例,用的是“夹层充填技术”完成。

V类洞
V类洞的特点是近龈缘或洞缘部分位于龈下,充填时要避免龈沟液的污染。操作要点是:洞缘斜面制备以后需要进行排龈,分层充填时建议从 “牙合” 向“龈”堆塑树脂,避免充填过程中粘结/树脂表面被龈沟液污染。
前牙间隙
前牙间隙树脂修复运用“夹层充填技术”—— 对两牙唇舌邻面边缘均要进行少量预备/打磨,先夹层堆塑中间本质层,然后再分别进行唇舌面釉质层的堆塑。

大面积缺损的病例个人习惯用“夹层充填技术”。

树脂帖面的充填顺序是“从颈部向切端”,优势是便于颈部到切端颜色自然过渡。。。下列病例为乳尖牙滞留,牙根状况尚可,患者是一名年轻女孩,因此选择树脂贴面修复是较合理的一种方案。。。

光固化复合树脂充填诊疗操作流程
(一) 适应症和禁忌症
近年来,随着牙本质粘结剂和树脂无机填料的不断改进使复合树脂的牙体修复效果得到明显改善,复合树脂逐渐成为主流牙体充填材料。适应症:各类洞型的牙体修复甚至前牙断冠再接或修复;冠修复前的牙体充填(桩核形成);形态或色泽异常牙的美容修复。
禁忌症:对树脂成分过敏患者,无法取得良好隔湿环境时。
(二) 术前准备
1.主诉、现病史、临床检查、知情同意。同患者良好的沟通,对龋洞近髓及患者美容期望较高的特别注意,必要时患者签字。
2.器械准备 手机、口腔包、挖匙(或伢典专用去龋工具)、备洞车针(钨钢球钻、金钢砂小球钻、火焰状车针、尖细打磨车针等)、橡皮障(推荐使用)、各种树脂充填成形器、聚酯薄膜/邻面成形片、楔子、邻面抛光砂条、树脂抛光套装、抛光膏等。
3.材料准备 树脂比色板、小毛刷、酸蚀剂+第四代以上牙本质粘接剂(或自酸蚀粘接剂)、流动型树脂、微混合填料复合树脂材(近髓要准备护髓垫底材)。
(三) 操作流程
全酸蚀牙本质、牙釉质粘接及树脂充填流程:
窝洞预备 → 比色选色 → 清洗窝洞、隔湿,邻合洞型必须使用成形片及楔子 → 护髓(氢氧化钙、玻璃离子等) → 酸蚀15秒 → 彻底冲洗(注:不能让患者漱口) → 气枪轻吹或棉吸保持牙面湿润 → 涂布粘接剂等待15-20秒 → 轻吹5秒 → 牙面呈现光亮层(若无则重涂,自酸蚀粘结剂则先涂一层待15秒后再涂一次) → 光照10-20秒 → 分层充填复合树脂(若需阻色先用阻色树脂)、层层固化20秒、若阻色树脂则需40秒完成充填 → 修整外形(注意邻面不能形成悬突,边缘平滑) → 调整咬合 → 打磨抛光 → 嘱术后注意事项。
自酸蚀牙本质、牙釉质粘接及树脂充填流程:
窝洞预备 → 比色选色 → 清洗窝洞、隔湿,邻合洞型必须使用成形片及楔子 → 护髓(氢氧化钙、玻璃离子等) → 气枪轻吹或棉吸保持牙面湿润 → 涂布自酸蚀牙本质粘接剂15-20秒 → 轻吹5秒 → 牙面呈现光亮层(若无则重涂) → 光照10-20秒 → 分层充填复合树脂、层层固化20-40秒完成充填 → 修整外形(注意邻面不能形成悬突,边缘平滑) → 调整咬合 → 打磨抛光 → 嘱术后注意事项。
关键步骤技术要点
① 窝洞预备:尽可能保存健康牙体组织,对洞型要求低,可适当保留无基釉;注意使用火焰状车针预备洞缘斜面。
② 比色选色:前牙美容修复比色按牙本质、牙釉质、切端透明层分别比色并选择相应功能树脂。
③ 清洗窝洞,隔湿,推荐使用橡皮障,棉卷隔湿时操作中不可让患者自吐口水。
④ 酸蚀:应当严格控制时间,从釉质到本质,彻底冲洗。
⑤ 牙面湿润度的控制:不可过湿及过干,若使用丙酮基质的粘接剂,对牙面湿润更敏感,仅稍吸干即可。
⑥ 涂布粘接剂及自酸蚀牙本质粘接剂:严格按厂家说明书操作。涂布自酸蚀牙本质粘接剂尤其要注意操作细节。
⑦ 光照固化:需关注光输出强度,光照时间,调整光照角度,注意树脂向光性收缩、中心性收缩、延期固化等特点。
⑧ 充填:注意与邻牙连接关系,选用合适成形片及木楔,可采用斜向分层顺序填入,小心避免填充时气泡形成。复杂洞型可考虑采用三明治技术充填。
⑨ 打磨抛光:极其重要,树脂必须超填然后将表面一层打磨并高度抛光
来源;懂点儿牙



