激光辅助牙槽嵴保存技术
许多种植牙医都知道,在拔牙后6周内牙槽嵴的形态都会发生明显的改变,尤其是在颊侧。主要表现为牙槽嵴的高度和宽度都有所减少,骨密度有所下降。这种改变对于口腔种植来说是十分不利的。传统的解决方法是通过骨增量手术,也有通过牙槽嵴保存术(Ridge Preservation)在拔牙时使用生物材料对牙槽窝进行填充覆盖处理。由于技术的限制和材料的不同,这类骨增量手术的结果往往成本较高,而且结果差异很大。虽然即刻种植能够一定程度上避免牙槽骨的吸收,但当患者存在炎症或者不适合开展即刻种植时,将无法解决上述问题。因此,我们需要找到一种更为经济、快速、简便的方法,利用患者自身组织材料来降低骨吸收。从而为后续的种植提供最佳条件。

激光辅助牙槽嵴保存技术
利用口腔激光凝固组织的作用,可以在去角质层区域形成一层保护层。该保护薄膜是完全利用患者自身组织材料实现,将在后续的牙槽嵴保存术中起到很好的作用。除此以外,牙槽窝内的血凝块对骨的再生也是十分有利的。因此,在利用激光进行牙槽嵴保存时,良好的血运是十分重要的。加上激光的杀菌作用和术区清洁,这些都有利于组织的愈合。激光照射还能促进牙龈成纤维细胞生成,从而诱导创口早期愈合和软组织附着。激光的生物刺激作用有利于激光辅助软、硬组织的各环节,提高骨细胞活性、加速术后新骨的形成速度。

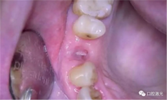
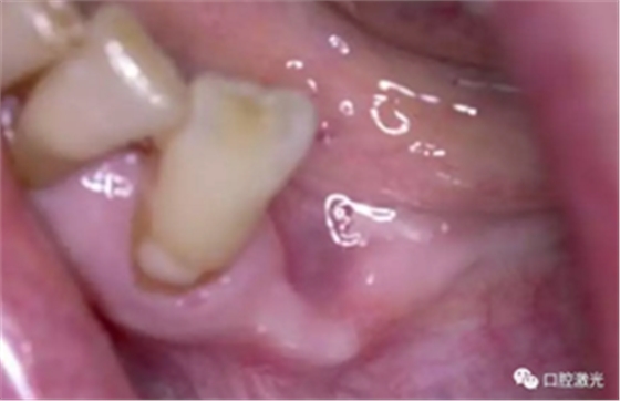
拔牙后,将光纤探至牙槽窝底部,通过低功率激光(小于100mW)进行刺激,促进出血。当血液充满牙槽窝后,设置激光为凝血预设方案(4~6W)。将光纤端面距离血液表面1至2mm,散焦模式照射30至45秒,促进其凝固即可。该操作虽然需要适当的练习后达到熟练的状态,但总体而言仍然是十分简单、快速的。随后,患者应减少对该区域进行刷牙或漱口。术后3天和4周的复诊可以看到不同案例下都取得了很好的恢复效果,牙槽嵴均得到了很好的保存。

激光辅助治疗术中

术后即刻,薄膜层的形成

术后3天

术后4周
更多激光案例展示

术后4周

术后6周

术后即刻

术后12周
(注:以上内容仅代表作者观点)
来源:激光君




