牙龈的颜色往往根据个体的肤色不同而存在变化,其中牙龈组织中毛细血管的分布、上皮细胞的厚度和角质化程度以及黑色素细胞的存在都会影响到牙龈的颜色。当牙龈颜色较深时,我们又称之为口腔色素沉着(Gingivalhyperpigmentation)。尽管口腔色素沉着是一种完全无害的状态,但由于影响到个人的美观,给人们的正常社交带来负面影响。

牙龈色素沉着去除通常是通过牙周手术的方法进行治疗的。例如:牙龈整形、自身牙龈移植、化学试剂、物理打磨以及利用口腔激光等方法。

利用口腔激光进行牙龈色素沉着去除是被认为众多方法中十分快捷、有效的手段。有很多种类的激光可以满足手术要求,其中包括:二氧化碳激光(10600nm)、半导体(810nm~980nm)、钕激光(1064nm)和铒激光(2940nm)等。
案例分享
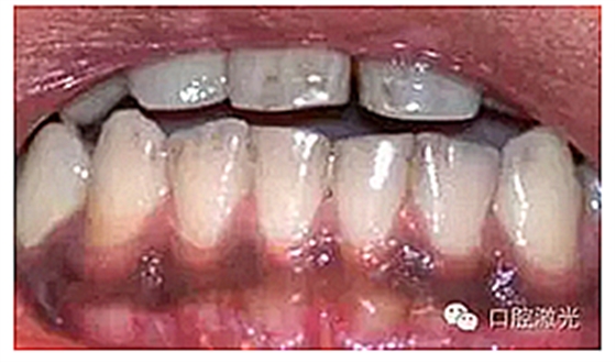
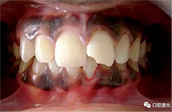
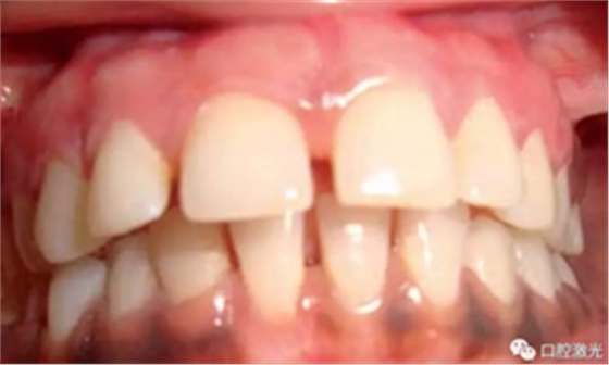
患者22岁,女性,主诉牙龈发黑。口腔检查显示牙龈部位呈黑色,但软组织健康,没有表皮粗糙或水肿现象。计划使用半导体激光进行治疗。手术前患者无需表麻或局麻。采用光纤接触方式,激光功率设定为1.5W至2W,连续模式。气化黑色牙龈区域上皮组织。不断重复该过程,直至足够深度的牙龈软组织表皮被去除干净。患者术后需采用漱口水进行口腔护理。

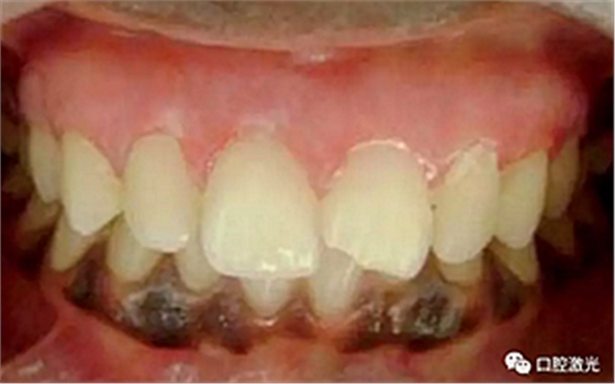
术前

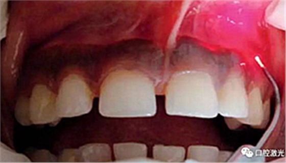
术中

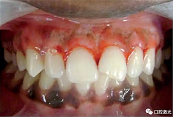
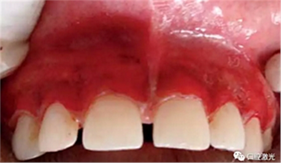
术后即刻
患者术后无明显疼痛不适,没有出现大量出血、感染或结痂现象。整个恢复过程较为顺利。患者接受度高,治疗效果明显。

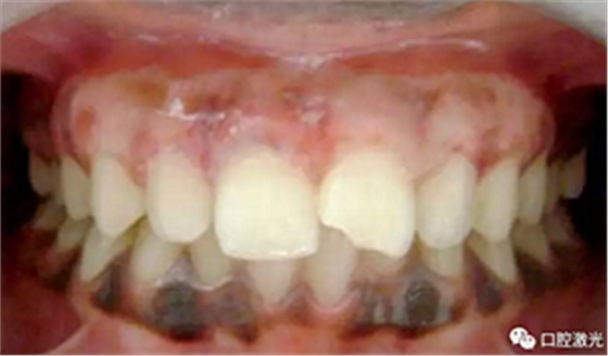
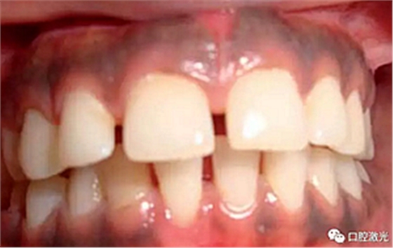
术后一周

术后三月
注意事项:
光纤端面无需进行初始化操作
开始治疗时先从低功率开始,避免出现软组织碳化现象
同样可以采用光纤非接触方式,距离牙龈约1mm发射激光
如遇光纤端面组织碎屑残留,要及时清理干净
如遇患者不适,可适当采用表麻膏涂抹
更多案例展示




来源:激光君



