
牙片
牙片是指牙齿的X线片,也称口内标准片。一张牙片可以显示3-4个牙齿,牙齿在牙片上显示出白色阻射影像。牙片是口腔科应用最广的检查手段,也是最常用的,因为它在牙的治疗前、治疗中和治疗后都有助于诊断和治疗。当然,牙片电离辐射对人体也具有一定的危害。
中文名: 牙片
全 称: 牙齿的X线片
别 称: 口内标准
面 积: 3×4平方厘米
简介:
其面积为3×4平方厘米。一张牙片可以显示3-4个牙齿。牙齿在牙片上显示出白色阻射影像。其中牙釉质阻射最强,牙本质和牙骨质阻射低于牙釉质。牙髓腔呈黑色透明影像,根管口至根尖孔呈逐渐变细的影像。

牙片是口腔科应用最广的检查手段,也是最常用的,因为它在牙的治疗前、治疗中和治疗后都有助于诊断和治疗。治疗前有助于发现病变;治疗中可用插针照相方法了解扩根情况等;治疗后观察疗效等。临床上,利用牙片对牙齿硬组织病变、牙髓病变、尖周病变及牙周病进行诊断治疗。
适用症状
牙齿硬组织病变
由于浅龋仅发生牙齿颜色的改变,主观症状不明显,不易被发现。因此,浅龋病变在下列情况下需作X线检查:
①不易发现的龋,如牙颈部、邻面龋等。
②不能确定是否有龋坏,如探针勾不住的龋面、邻接粗糙面和龈下粗糙面。
③无形态缺损的早期龋的诊断有困难时。
中龋:
由于中龋有明显的龋洞,主观症状是接触冷、热、酸、甜性食物疼痛。X线检查的目的是:
①确定龋坏的程度和龋坏的范围。
②检查补料下面的情况,如有无继发性龋坏。
③邻面龋坏深度与牙髓角或牙髓腔的关系。
是牙齿龋坏员严重的损害。主观症状明显,容易检查发现。由于深龋治疗比较复杂,如果治疗不妥,可以出现治疗后疼痛等问题。所以,X线检查的目的是:
①了解龋洞底与牙髓腔的距离,包括与髓角的关系。
②了解髓腔的变化情况和根尖周情况。
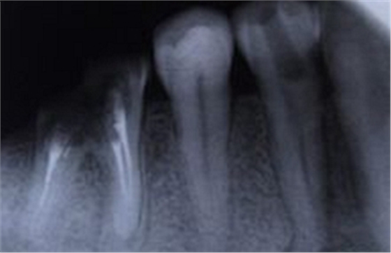
牙片帮助检查引起牙髓炎症的病因,如隐匿龋、邻面龋、牙髓石症、牙齿内吸收等。
尖周炎症
由于牙根的牙髓组织发炎,引起牙根尖组织病变,如根尖牙周膜腔增宽、根尖囊肿等病变均可在牙片上显示出来。
尖周炎症作牙片检查的临床意义有:
①了解病牙根管情况:如根管数目、粗细、弯曲度以及有无钙化、有无内吸收等情况。
②帮助确定病牙:如两牙之间的瘘管插入牙胶尖作牙片检查,可以显示牙胶尖偏于某一牙齿。
③检查治疗情况:如牙片显示根管充填是否到底或有无超填。
牙周炎症
牙片对诊断牙周炎性病变有很重要的价值,因为牙片能显示牙槽骨病变情况。如果牙片显示牙槽骨吸收程度,可确定牙周炎程度。
牙片危害
病人接受口腔诊断用X线剂量通常用靶器官接受放射剂量表示。最常见的是皮肤或暴露面的接受剂量,其他如骨髓、甲状腺及性腺的辐射剂量等。由于骨髓被认为是放松诱导白血病的靶器官,对骨髓起作用的平均骨髓效应剂量十分重要。另外,甲状腺是放射诱导癌变率最高的器官之一,性腺则是对诊断用计量可以能导致基因突变的器官,故对这两个器官的剂量效应评估也十分重要。
平均骨髓效应剂量指平均对整个骨髓放射的剂量。平行投照全口21张牙片所致的平均骨髓效应剂量为0.142mSv;一张分角线投照牙片的平均骨髓效应剂量仅为0.06mSv,一张曲面断层的平均骨髓效应剂量约为0.01mSv,而一张胸片为0.03mSv。甲状腺以接近放射线一侧为测定接受剂量的重要部分。颈椎放射检查可能需4次曝光,对甲状腺的照射总剂量为5.5mGy。拍摄一张胸片对甲状腺放射量仅为0.01mGy,主要来自散射。
口腔放射学检查对甲状腺的照射剂量相对较低,一套21张全口牙片检查对甲状腺照射的剂量为0.94mGy,相当于颈椎放射检查的1/6;一张曲面断检查约74mGy,仅占颈椎检查对甲状腺照射剂量的1%。腹部放射检查对性腺辐射最高,口腔、头颈部及四肢放射检查对性腺辐射相当低。拍摄一张肾、输尿管、膀胱、X线片对女性性腺放射剂量为1.07mGy,男性为0.08mGy;而一张头颅拍片对男女性腺的放射剂量均小于0.005mGy。一般来讲,牙科放射检查对性腺染色体放射剂量仅为1.0υGy,此剂量仅为每天天然本底放射剂量的0.003%,无显著性意义。
人们试图通过用放射剂量直接比较放射危害性,如一张根尖片放射量是一张胸片的十多倍,但此放射量并不完全反映辐射危害性,因为曝光的区域和受影响的重要器官不一样。这种差异可以通过计算E来校正,E是指当机体局部受到辐射时会引起相同放射效应几率的相当的全身辐射剂量的估算。通过此校正估算,一套分角线投照的全口20张牙片检查的校正放射剂量比一张胸片效应还要低(如表),比胃肠道钡检查的效应剂量的1%还低。
由电离辐射引起的危害程度可由两种方式表示,即天然本底相当天数和随即效应概率。天然本底相当天数是通过由特定放射检查计算出校正E值来定,每天来自天然辐射平均E值为8υGy。
如表所示一分角线技术投照20张口内牙片的天然本底相当天数仅为4天,随机效应概率为2.4X ;一张曲面断层片天然本底相当天数为3.3天,随机效应概率为1.9X ;而一张胸片天然本底相当天数为10天,随机效应概率为5.8X ,由此可知放射量较大的全口牙片及曲面断层的危害性反而比放射剂量较小的胸片少。
来源:百度百科
仅供参考




