复杂冠折及冠根折牙的修复需要一个准确的治疗和治疗计划。传统的复杂冠折的治疗主要为牙冠延长术、正畸治疗或手术牵引、拔出后种植或桩核冠修复。如果冠部折断片在牙齿受损时被完整取出,其重新复位的修复效果与其他形式的修复相比在表面形态、颜色及对生物学宽度影响等多方面具有优势。成功的复位取决于许多因素,如折断部位,残留折断片大小、牙周水平、牙周状态、牙髓受累、根部成熟度、及生物学宽度的侵袭、桩核应用及诊断等。
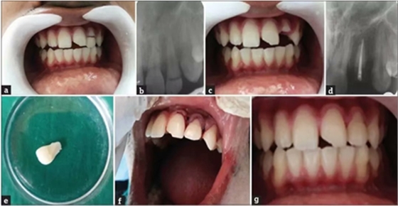
病例1
患者,男,23岁,因跌倒在地导致左侧上颌侧切牙复杂冠折。患牙无明显松动,口内和口外检查无明显软组织创伤。牙齿22出现EllisⅢ级牙折,牙折线从舌侧中1/3至舌侧龈下2mm处。折断部分松散地附着在牙齿上。
![[牙体牙髓] 【病例报告】纤维桩及牙折片重粘接修复折断牙 [牙体牙髓] 【病例报告】纤维桩及牙折片重粘接修复折断牙](/Mobile/UploadFiles/FCK/2019-09/6370538820134922005127082.png_280.jpg)
a. 术前口内照片;b. 术前根尖片;c. 拔除牙齿折断片;d. 根尖部分充填;e. 牙齿折断片;f. 折断片再复位;g. 软组织缝合;h. 术后2年。
根尖片显示牙根发育完全,无嵌入。患者希望保留牙齿,计划给予患者根管治疗和桩核修复。
局部麻醉后,轻轻去除患牙折断部分,并放入生理盐水中防止脱水和变色。仔细检查折断片与患牙的适应性。根尖定位仪确定根管工作长度并拍摄根尖片确认,扩孔钻进行根管冠部扩大,根管在工作长度上扩大到60#。在制备过程中使用约3%的次氯酸钠冲洗、将根管用指尖干燥并用根管封闭剂封闭,牙胶尖充填根管,根管口临时修复体密封。牙髓治疗完成后的第二天,局麻下翻瓣,暴露腭侧龈下断缘。去除根管冠部2/3部分的牙胶,预备桩道。试纤维桩,并调到合适的长度。对折断部分的牙折片髓室部分进行预备以容纳纤维桩的冠部及核。然后用37%磷酸酸蚀,冲洗、干燥后涂布粘结剂。使用双固化树脂粘结剂(RelyX, 3M, )将桩置于根管中,经过适当的色调匹配后,冠部折断片内部进行酸蚀并用可流动复合树脂粘结到牙齿上。最后,皮瓣复位,缝合,检查咬合并给予患者术后指导。术后1月,3月,6月,1年,2年进行临床和影响学检查,牙齿愈合良好。
病例2
患者,男,19岁,因骑车发生事故导致上颌中切牙外伤。口腔检查可见牙齿22牙冠冠部EllisⅢ级牙折,从牙冠的牙冠中1/3到舌侧龈下2mm处。将牙齿折断部分无创地取出并储存在生理盐水中,完成根管治疗。如前所述,使用双固化树脂粘结剂通过合适的纤维桩将折断部分的牙折片与剩余的牙齿部分重新连接。最后,复位皮瓣,缝合。
![[牙体牙髓] 【病例报告】纤维桩及牙折片重粘接修复折断牙 [牙体牙髓] 【病例报告】纤维桩及牙折片重粘接修复折断牙](/Mobile/UploadFiles/FCK/2019-09/6370538824608359506693126.png_280.jpg)
a. 术前口内照片;b. 术前根尖片;c. 拔除牙齿折断片;d. 根管充填;e. 牙齿折断片;f. 折断片再复位;g. 术后2年。
讨论:
复杂的恒前牙冠折占前牙创伤的11%-15%,其中96%涉及上颌中切牙。传统修复复杂冠折的方法多是金属铸造桩核及全瓷冠修复。与此相比,牙齿折断片的重新粘结是一种更保守、更经济、更省时的治疗方法。此外,金属桩与纤维桩,尤其是在上颌切牙美学区域,有着明显的差别。纤维桩具有类牙本质弹性模量,使根部牙本质中咬合力分布更均匀,导致根折的机率越来越低。纤维桩理论上需要去除的牙本质较少,因为根管内表面的不规则设计可增加粘接的表面积,从而最小化了牙根折断的可能性。此外,使用具有复合材料和粘结剂的玻璃纤维桩可形成整体、多层结构,增强了牙齿结构。
在上述病例中,使用自蚀刻和自粘系统的双固化树脂粘合剂RelyX 3M来重新粘合牙折片。这种双固化树脂胶粘剂具有良好的粘结强度,确保完全固化并减少微渗漏。使用可流动的复合树脂Esthet-X Flow将冠部牙折片与剩余的牙齿粘合,其提供优异的颜色稳定性,并且有助于实现断裂段的更高的粘合强度。
在上述病例中,牙折线低于牙龈水平,翻开龈瓣以暴露断缘。由于生物学宽度仅有微小的破坏,恢复的边缘可以放置在牙骨质牙釉质交界处或略高于牙骨质牙釉质交界水平。故在本病例中没有采取冠延长手术。
结论:
该病例报告证明了建立一个多学科的方法成功处理复杂冠折及其可能的后遗症的重要性。经过近2年的随访,重新复位的冠折片位置良好,具有良好的美观性,临床和影响学恢复良好,牙周健康,牙根完整,从而说明治疗成功。
来源;译者:葛兴云


