
摘要
目的:检验甲状旁腺激素1受体(PTH1R)突变在原发性和恒牙期均有疗效的假说。
材料和方法:从29名患者(8名家族患者和21名零星患者)的唾液样本中提取DNA,这些患者提供牙齿缺失的临床证据,以及未受影响的亲属(N = 22)。 对所有个体完成序列测定,然后对PTH1R基因的编码区进行突变分析(N = 29)。
结果:29例中有8例在PTH1R基因中发现杂合致病变异体;基于与dbSNP,HGMD和ESP数据库的比较,八个变体中的五个表示不同的突变。发现一个突变(c.1765 T>C p.Trp89Arg)在家族内分离(n = 3)。所有变体的计算机分析揭示了推定的致病作用。据报道,PTH1R中的功能性突变定义了基因型-表型相关性,并且仅对一个或多个后牙有相应的影响; 单侧或双侧受累,阻断乳牙。
结论:PTH1R基因中报道了新的突变,包括受PFE影响的原发磨牙,从而为使用遗传诊断工具进行早期诊断提供适当的管理依据。(Angle Orthod。2018; 88:275-282。)
关键词:原发性萌出失败(PFE);牙萌出;PTH1R
1、引言
牙齿萌出是发育过程,由此骨内隐窝内发育的牙齿穿过颌骨进入口腔,直到达到功能性闭合。牙医和正畸医生的作用是监测牙斑的发生模式,以避免随后出现的咬合问题,萌出障碍。 普通牙医或牙科专家遇到由萌出障碍引起的咬合问题的患者并不罕见。
小儿牙科和正畸专家会定期监测正常牙齿萌出中的差异,如时间,次序和萌出程度。
正常的萌出过程需要牙齿以精确的双侧时间顺序通过骨骼和口腔上皮,这必须与三个空间平面中的上颌骨和下颌骨的生长协调。
(1)骨吸收,(2)牙龈吸收(二者都在牙囊上方)和(3)在毛囊顶端的根伸长。骨吸收是破骨细胞生成的结果,不需要牙齿萌出的力量,而是一种遗传程序化的过程。这种吸收和替代过程之间平衡的改变是主要的萌出失败(PFE)发展的决定性因素。
然而,最近的研究将基因发现作为揭示PFE机制基础的重要逻辑第一步。
PFE这个术语是由Proffit和Vig(1981)提出的,表明萌出机制中的一个缺陷不是由于明显的阻塞造成的。在大多数情况下,受PFE影响的牙齿部分萌出(supracrestally),然后在它们达到功能性闭塞之前被阻滞。
基于PFE受影响队列的临床和基因特征,与其他萌出性疾病相比,提供了一个诊断标准。这个标准定义了确定萌出途径是否清晰的至关重要的第一步。
也就是说,应该使用当前和历史临床X光片和照片来排除机械阻塞的存在。这包括了解过去的阻塞是否导致受影响的牙齿的当前受限位置。第二步是确定是否至少有一个第一磨牙受到影响。
不同频率发生的其他特征包括主要受影响的后牙,主要牙和恒牙的受累,单侧或双侧发生倾向于施加正畸力后发生关节僵硬,以及没有全身受累。
自从发现PTH1R基因负责PFE的发展以来,文献继续在PTH1R中聚集PFE相关的突变。 揭开基因型 - 表型相关性的道路仍然相当难以捉摸,甚至更令人困惑,因为由PTH1R突变引起的疾病谱非常广泛。
事实上,PTH1R基因突变与致死性侏儒症,软骨发育不良和萌出特异性牙齿疾病相关。对这种类似突变表型谱的完整理解是神秘的,需要对PTH1R基因的结构和功能有完整的理解。
该基因位于染色体3p21-p22.1,MIM#上,含有16个外显子。由此产生的蛋白质是跨膜糖蛋白(593个氨基酸),由延伸的细胞外配体结合氨基末端,细胞内G蛋白相关羧基末端结构域,由28个氨基酸形成的信号肽,具有150个氨基酸的具有激素结合位点的胞外结构域,以及包含7个α-螺旋和胞间结构域的跨膜结构域。
细胞外结构域结合两种不同的配体:甲状旁腺激素(PTH),主要作用于肝脏和骨细胞以及甲状旁腺激素相关肽(PTHrP)。
这两种配体均可调节细胞内钙水平并有利于骨代谢,PTH仅由甲状旁腺产生。然而,许多组织产生PTHrP和细胞类型,包括内皮细胞,软骨细胞,骨骼,肝脏,平滑肌细胞和牙胚。
只有一个正常的PTH1R拷贝足够,但必须在大多数组织。在牙齿发育中,需要大量的PTH1R15。由于这个原因,推测PFE表型可能是PTH1R剂量依赖性失活的结果。
此外,观察到一些PTH1R基因的常染色体显性突变不影响除骨关节炎以外的牙齿或其他骨骼结构。最近的研究证实骨关节炎与软骨细胞中低水平的PTH1R之间存在关联。
这个后基因组时代的基因研究的总体目标是提供有意义的临床应用来提高诊断的准确性。 对PFE的研究继续完善萌出性疾病的描述,但对其发病机制的完整理解仍然难以捉摸。 此外,基于对PFE表型的完整解剖的临床参数应该包括牙列和颅面结构的基因型:表型相关性。
以前的研究表明,PFE在主要牙列中发生更少,但始终包括恒牙。在这份报告中,表现出混合牙列和永久牙列的明显参与的家庭和多个人创造了扩大诊断窗口,并因此在更早的年龄管理的机会。
因此,这些发现标志着一个机会来完善PFE和PTH1R的基因型:表型相关性并提高诊断的准确性。
2、材料与方法
受试者
一组51名患者(年龄在7至45岁之间)患有家族性萌出性疾病(至少在一名家庭成员中至少有一颗牙包括),被招募参加这项研究。
这些患者中有29名具有PFE的特征。招募了22名未受影响的亲属并担任对照受试者。通过(1)由口内和口外照片组成的临床检查,(2)全景X射线和(3)患者访谈来确定低咬合诊断。萌出性障碍诊断的标准包括先前描述的表型特征,包括PFE类型。
患者的临床检查在罗马圣心天主教大学牙科研究所(UCSC)进行,突变研究在 医学遗传研究所的实验室和UCSC的牙科研究所。这项研究得到了UCSC伦理委员会的批准。
突变分析
使用Wizard基因组DNA纯化试剂盒(Promega Corp,Fitch-burg,Wisc)提取唾液中的DNA。使用针对所有编码区和PTH1R基因的内含子-外显子连接点设计的引物(Genamics Expression 1.1 Bio-Soft.Net Sequence Analysis and Alignment for Windows; 表1)对所有受试者进行序列分析,随后进行PTH1R的突变分析。 用含有血清碱性磷酸酶(SAP)和外切核酸酶的PCR产物预测序试剂盒(Amersham Pharmacia Biotech,Piscataway,NJ)纯化PCR产物。
用Big Dye Terminator 3.1循环测序试剂盒(Life Technologies,Carlsbad,Calif。)进行PCR产物的测序,用Big Dye X-Terminator试剂盒(Life Technologies)纯化,并使用自动测序仪AB1 3130 Genetic Analyzer(Life Technologies)。
将变体与dbSNP,HGMD和ESP数据库进行比较以确定变体是新的还是先前报道的。

表1.设计并用于PCR扩增PTH1R基因(退火温度,558℃)的引物组
硅片分析
序列数据使用Mutation Surveyor V3.3进行分析。 通过SIFT,PolyPhen2和AlignGVGD评估未知序列变体。 使用Alamut软件v.1.5的生物信息学工具(Interactive Biosoftware,Inc。),基于五种不同算法(SpliceSiteFinder,MaxEntScan,NNSPLICE,GeneSplicer,人类剪接发现者)评估怀疑影响正确剪接的变体的剪接位点强度或分支点预测。
通过使用专用软件Sorting Intolerant from Tolerant(SIFT)和Phenotyping(PolyPhen-2),使用计算机分析来评估蛋白质的折叠和这种变体的最终致病性。
3、结果
突变和硅分析

表2. PFE患者中的突变总结

表3.数据库
29例中有8例在PTH1R基因中发现杂合致病变异。表2显示了本研究中确定的突变概况。简言之,在8个受影响的受试者中有5个鉴定出三种错义突变,这些受试者以前没有根据与已发表的数据库的比较(表3)进行描述。在两个兄弟中鉴定出CTCF结合位点的变体(c.313×32 A.G rs113566258 SNP)(图1A,B)。


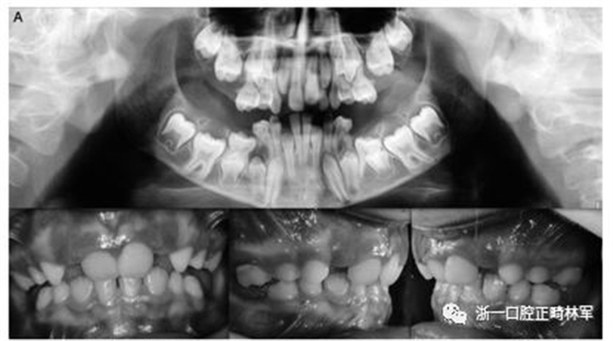
图1.(A,B)两兄弟的口内照片。全景:外显子5的下游变体(CTCF结合位点)rs113566258 SNPc.313±32A>G; 在外显子16中的变体(位置3:46903467)c.1593-95 Del C,p.531 / 532; 外显子10中的同义变体(位置3:46899419)c.1152 G>A.
兄弟姐妹被诊断为I型PFE并显示双边呈现。该变体(PTH1R基因的外显子5的下游c.313×32 A.G)发生在与转录因子相互作用的调节区中。除了这种突变之外,这些兄弟还受到第二个突变的影响,这些突变对每一个都是独特的:一个兄弟姐妹(II:1)也存在在外显子16的基因氨基末端发生的移码缺失,c.1593DelC ,第(Pro532Leufs *)(图1A,B)。
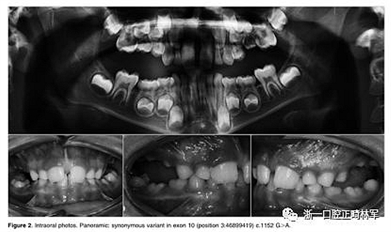
在另一个同胞(II:3)中,鉴定出在蛋白质氨基酸序列水平不引起变异的外显子,c.1152GA(rs200475872;图1A,B)中的同义变体,但涉及改变含氮碱。基于计算机分析,这种改变可能会影响mRNA的折叠并影响其半衰期和蛋白质生产。在这个患者样本中,在一个孤立的病例中发现了同样的同义变体c.1152G.A,由于PFE而具有严重的开合(图2)。

图2.口内照片。全景:外显子10中的同义变体(位置3:46899419)c.1152 G>A.
在PFE的另一个孤立案例中,重新发生错义突变,c.64 C>T p。 先前未描述的Ala22Val在外显子3中发现。这种变体发生在信号肽水平的PTH1R蛋白的胞外结构域中,并且它确定了氨基酸的变化。但是,由于两个氨基酸具有相同的电荷,所以该突变不被认为是高致病性的。
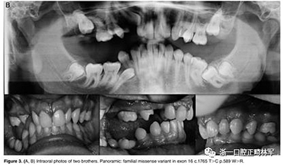
最后,在数据库中以前没有报道的错义变体在外显子16 c.1765 T>C p.Trp89Arg中发现。 在同一家庭的三个成员 - 母亲,女儿和儿子(图3A,B)中发现的错义变体-负责用精氨酸p:Trp89Arg取代氨基酸色氨酸,这是一种具有不同化学特性的氨基酸。该突变发生在PTH1R蛋白质的胞质结构域中,并参与受体与激活细胞内级联信号的G蛋白的相互作用。此外,计算机结果表明,PTH1R蛋白质中的这种氨基酸取代改变了蛋白质的结构和功能,因为它发生在蛋白质的催化结构域内。


图3.(A,B)两兄弟的口内照片。全景:外显子16中的家族错义变体c.1765 T>C p.589 W>R
属于2号家庭的小女儿(2:2)表现出更复杂的临床表现,缺乏永久性以及暂时性系列和囊性结构元素的萌出(图3A,B)。在哥哥(II:1;图3A,B)中发现由于包括多颗恒牙的严重的双侧后牙开合。最后,患者II:1和II:2的母亲表现出双侧上颌第一磨牙和下磨牙的包埋。发现前磨牙层面没有咬合接触(图3A,B)。
临床表现
本研究中确定的低咬合的临床特征与PFE基于基因诊断和萌出障碍诊断标准的应用相一致。对特定相关牙科特征的仔细临床检查包括以下内容:至少一颗牙包括低咬合,局限于后部区域,单侧(38%;图1A)和双侧呈现(35%;图1B和2),至少有一个暂时性后牙(48%暂时;图1A,B和3A; 55%永久性,图3B)。
此外,观察到牙面特征如下:由于受影响侧的侧向开放咬伤的严重程度而引起的垂直骨骼不对称(35%;图1A,B和图3A,B);由下颌骨侧向偏离组成的面部不对称(图1A,B和图2;表4)。
这种不对称在单侧开合患者中更为明显。进一步发现受影响的患者与先前报道的患者存在上颌骨收缩和III类牙齿/骨骼关系(28%;图1A,B和图2)。至少有一例患者出现了相对于9名患者的低咬合。表4总结了PTH1R的表型结果和相关的突变分析(N = 8)。

表4. PTH1R突变患者特征总结
4、讨论
在这项研究中,确定了五种突变:先前报道了三种新型和两种突变(rs113566258和rs20047872)。PTH1R改变包括(1)转录因子(CTCF结合位点)结合的基因调节区水平的变体,(2)移码缺失,(3)同义变体和(4)两种错义变体。
估计某些变体的致病性是困难的,但是通过在导致产生截短蛋白的那些变体中的计算机分析中支持PTH1R基因突变和PFE之间的原因-和效应关系。 未来的功能研究将对本报告中描述的突变的后果提供更详细的分析。
本次队列研究对孤立性和家族性病例进行了调查,其中包括五个家族,其中一个以上成员受到至少一个磨牙症的影响。这项研究的一个重要发现是,在两个家庭和三名不相关的患者中发现的变体与混合牙列中的低咬合有关。与混合牙列中的PFE呈正相关,因此该发现支持了在混合牙列阶段期间早期基因诊断的方案的发展。
这些结果标志着混合牙列参与PTH1R基因功能性突变的个体的最全面文件。家族2中发现的错义突变与报道的类似,并且也显示出类似的表型。
虽然强调家族遗传作为检测PFE的一个引人注目的标志,但本研究的结果支持调查包括原发性牙齿和家族史作为改善早期检测的综合方法。发现一个c.1092delG,一个年轻男孩和他的父母的移码突变,显示了混合牙列的参与,导致截断蛋白的c.1092delG变体也与骨骼和牙齿三类错(牙合)相关,导致 温和的开放式咬合在右侧。
本报告通过鉴定多个家族的新型突变(图1A,B)扩大了Rhoads等人的发现。
5、结论
这项研究的结果证实,PTH1R基因的突变导致萌出失败,其临床表现与之前对PFE的描述一致。这些表型可以在乳牙的水平早期发现,然后在恒牙列中发现。
临床诊断结合PTH1R基因的遗传分析不仅可以确保早期诊断,还可以作为筛查潜在受影响亲属的警报。
总而言之,PFE的频率和显示PTH1R基因遗传异质性的患者数量表明由PTH1R中的突变引起的PFE被低估。
基于这些观察结果,基因引导正畸可以带来临床,治疗甚至经济上的优势,以管理牙齿萌出的问题。
通过基因检查可以指导临床医生制定正确的正畸治疗计划,避免导致失败并使他们遭受医源性损伤所带来的不必要的和长期的治疗。
来源:浙一口腔正畸林军




