种植手术临床与曲面断层综合判断失败病例的思与考
文献:曲宝儒
本人今年7月在北京工作期间曾参与北京排行第2号的种植专家的一例种植手术的术前准备及术前病例分析。此病人3个月之前拔除左上颌6残根。
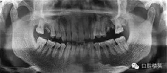
拔除前曲断

曲断锐化后

X线显示左上颌6残根,慢性根尖周围炎波及上颌窦底,行拔除残根处理,嘱术后常规消炎。
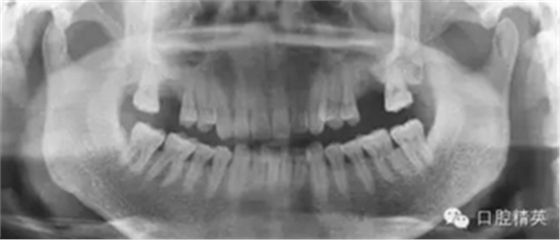
3个月后来进行种植手术,颌骨曲面断层片

检查口腔种植区骨和粘膜厚度为7.5MM。龈颜色正常,无瘘道。种植区牙槽骨密度接近正常,窦嵴距10MM,左上颌窦无明显炎症影像。排除曲断这个位置的20%放大率,拟做上颌窦内提升后种植ITI的10MM的种植体。
术中切开粘骨膜翻瓣后,用裂钻打孔3MM术者手明显落空感,脓血从种植孔流出,术区于上颌窦交通。脓液排完后缝合粘骨膜瓣,嘱术后联合应用抗生素,拟炎症消退半年后复种。
失败分析:
1、三个月前拔牙后未进行刮治,炎症未消退
2、中观察曲断之所以没显示出牙槽骨皮质和松质骨密度明显异常是因为该患部颊舌册皮质骨密度正常,中间松质骨密度减低的炎性阴影完全被正常皮质骨影像覆盖。
3、术前与患者沟通与问诊不够详尽,没有问及有无上颌窦炎病史。没有仔细分析曲断的左上颌窦的影响与右上颌窦仔细对比。也没有分析患侧上颌窦有无气室化现象,术者考虑有所不周。
4、因为是做过几千例种植手术的知名专家,所以手术过程烂熟于胸,艺高胆大。自信术中无论有任何并发症都可以轻松处理,所以放松警惕。也是术前沟通不够,分析不足直接导致失败。
经验教训总结
主要是术者和我们医生过分相信曲断和口腔临床的表现了,对这种曲断显示近乎正常(认为局部稍微减低的阴影是拔牙后牙槽骨时间的原因未完全恢复原因)而临床复杂性考虑不足。其次是手术成竹在胸的术者放松的警惕思想。试想一个国内种植界屈指可数的优秀专家尚出现这种情况,更何况像我们这样种植例数与经验远不如该专家的普通医生呢?就像以临床和曲断以临床为主要指标的医生,术前临床观察骨宽度完全正常有足够余量的病患。术中切开粘骨膜瓣非常厚,即粘膜纤维增生患者,剩余骨量薄而刃。和术前预计的完全不一样,术前准备的种植体直径过大一样,都是因为过于相信曲断和临床表现,没有考虑到临床复杂性综合分析考虑导致的。
所以作为我们不是专家的医生,一定要曲断,临床表现以及术前病人的复杂性综合考虑的,做到每一个手术都精心准备,多与患者沟通及术后回访。术前多考虑可能出现的问题,精心准备手术可能用到的器械,每一例患者都要像自己操作的第一例患者一样精心。术前如此,术中亦然,术后更要如此。发现问题及时处理,做到对自己负责,对患者更要负责。把风险减到可控范围内的最小
,毕竟手术风险是不可预见的。
在这里之所以写下这篇文章就是希望各位同行引以为戒,术前多多思考,谨慎操作,共同进步。不能
让患者付出金钱又承受了痛苦而因为我们医生术前考虑不足而没有给予患者所期望的。
来源:网络
