半导体激光进行系带整形术
半导体激光进行系带整形术
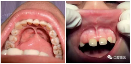
口腔系带整形是口腔外科手术中较为常见的手术,一般包括对唇系带和舌系带的延长、整形。其中,唇系带整形通常在口腔正畸中有广泛的应用。半导体口腔激光拥有便携性强、结构紧凑、效率高等特点,能有效杀灭口腔细菌和对血液、软组织起到凝固的作用。半导体口腔激光的波长通常是810nm至980nm,可以使用连续模式或者脉冲模式,采用接触或非接触的治疗手柄。

利用口腔激光进行系带整形需要实施局麻,可以使用2%利多卡因。采用300um激光光纤,设置功率为4W。激光光纤垂直和水平作用于系带上,从而使系带黏膜得到很好的分离。通过这种方式,系带在水平方向上可以很容易获得一个较深的切口。系带整形后的伤口是呈菱形,整个过程大约4,5分钟。在任何情况下,都不需使用缝针。可以使用冰敷的方式降低组织温度,控制组织坏死的风险。术后复检的时间为1周、3周和3个月。复检时,包括疼痛,出血,水肿,疤痕组织形成以及伤口愈合的特征都应得到有效的评估。



在术中和术后恢复期间,都没有观察到出血的情况。术后没有发现明细的疼痛和水肿。术后三周时,口腔黏膜完全恢复健康,没有形成疤痕组织。在长期跟踪观察中,口腔黏膜的色泽和形态一直处于正常状态。

由此可见,利用口腔激光进行系带整形在口腔外科手术中可以大大降低传统手术方式的不足。激光外科手术的优势在于:更高的手术精度以及更小的疼痛感、出血、水肿和结疤的可能性。整个手术过程迅速、安全和操作简单,术后无需缝合,因此可以在门诊中实施。并且,患者对手术结果的满意度极高。
来源:激光君
下一篇:口腔激光在系带延长术中的应用上一篇:口腔激光在固定修复中的应用











