文献优秀正畸病例赏析-髁突增生性面部不对称的协同治疗1例

单侧髁突增生可导致面部肌肉的萎缩及错合畸形。髁突增生通常在青春期开始发生,20岁以后开始发病,其特征是髁突形态正常但长度增加。尤其在成人患者中,病程较长者不仅可以观察到下颌偏斜,还存在患侧上下牙槽骨的代偿。尽管一些病例报告推荐髁突切除术作为一种替代疗法,但手术过程可能会导致术后出现颌骨功能障碍。此外,由于咬合的倾斜和下颌的偏斜不一定匹配,有时某些患者即使是通过手术,恢复面部的对称性也是较为困难的。因此,这类患者就需要进行所谓的(多学科)协同治疗,包括咬合倾斜的矫正及颏成形术。
本报告描述了1例髁突增生导致面部不对称的患者的外科正畸治疗及正颌外科综合治疗方案。单侧节段性截骨术及双颌手术成功地矫正了面部的不对称和严重的牙槽骨代偿。在本病例中,口腔正畸医生与颌面部外科医生的跨科合作为治疗成功奠定了基石。
患者资料:
25岁,女性
l 主诉:面部不对称,反合,左侧咬合困难。
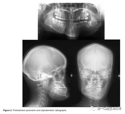
l 临床检查:口外相示:凹面型,严重面部不对称。口内相示:双侧磨牙III类关系,前牙反合,覆盖-3mm,覆合5mm,双侧侧方咬合角度有差异。影像学检查示:4颗第三磨牙阻生,左下第二前磨牙根部弯曲,右侧下颌偏斜18mm,左侧髁突增生,上唇、上颌咬合平面向右倾斜,大量的牙槽骨代偿,咬合平面向右侧倾斜3°,Go-Go'线向右倾斜12°,上颌中线右偏3mm,下颌中线右偏7mm,左侧下颌管靠近下颌骨下部边缘,骨性III类,ANB角-8.9°,下颌平面角15.4°。
下颌运动描记(MKG)显示,双侧下颌关节在张闭口时均向前滑动,运动轨迹稳定。左侧髁突形态使用Tc-99m羟基二膦酸盐骨扫描进行摄片记录。







治疗目标:
l 纠正严重的牙槽骨代偿,以改善面部不对称
l 建立理想的覆合、覆盖
l 建立良好的咬合
l 保持、稳定颌骨功能
治疗选择:
由于III类关系,双颌手术是必要的,同时左侧髁突也需要行切除术。然而,患者的颌骨功能正常,左侧髁突也没有表现出继续增大的现象。虽然我们考虑了颏成形术结合下颌骨边缘复位术,但由于下颌管的位置,可能会对其造成损伤,因此我们考虑只在下颌骨下缘的皮质骨突起处加以修整。然而,双颌手术后,由于咬合平面、Go-Go'平面的倾斜,患者的面部不对称依然存在。因此,我们考虑了过矫正,但左上颌角则会被累及;并且随着左侧上颌骨上移的增加,手术难度也随之增加。
在患者、正畸医生、外科医生进行广泛讨论之后,最终得出的计划包括左下颌节段截骨术、双颌手术、拔除所有第三磨牙及双侧上颌第一前磨牙。
治疗过程:
第一阶段:拔除双侧上颌第一前磨牙和所有第三磨牙,以提供整平所需的空间。拔除后,粘接0.022*0.02-inch预调方丝弓矫治器。在左下尖齿和第一前磨牙之间插入一个开放的线圈,以形成一个小的空间,以便于节段性截骨。
第二阶段:14个月后,进行左侧下颌骨节段性截骨术。在手术中,使用超声骨刀,在左侧后牙区在第一前磨牙处截去3 mm,在第一磨牙区截去6 mm,随后用钛板固定,并立即上0.019*0.025不锈钢丝。下颌合平面和Go-Go'平面从而平行,严重的牙槽骨代偿得以矫正。由于上磨牙和下磨牙之间出现间隙,粘接咬合板以保持颌间间隙,并在这一阶段期间帮助维持左侧咀嚼效能(图7和8)。在这一阶段,患者的面部外观几乎没有变化。
第三阶段:治疗开始26个月后,进行双颌手术。术前持续使用咬合板。行Le Fort I型截骨术和下颌骨矢状劈开术(SSRO),以矫正上颌咬合偏斜、下颌偏斜。
第四阶段:治疗开始后45个月,去除矫治器,下前牙粘接舌保(图11)。此外,上颌使用圆周型保持器,下颌使用哈雷式保持器。


治疗结果:
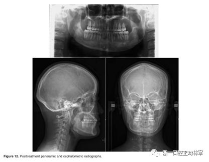
治疗后的头影测量和全景片如图12所示。面部不对称得到改善。牙列中线与面部中线对齐,上下颌拥挤得到解除(图13)。骨性III类关系得到改善(图14)。然而,由于III类关系并未完全矫正,所致的牙齿代偿使得上前牙变得前突。咬合关系改善,双侧尖牙Ⅰ类关系,并建立了理想的覆合和覆盖关系。在双颌手术后一年,固定钛板拆除,左下颌边缘切除2mm的皮质骨突起。随后,她的下颌骨的左右即恢复对称。下颌运动轨迹稳定,尖牙引导合,面部肌肉活动得到很好的平衡(图15)。术后六个月,Semmes–Weinstein评分为1,下牙槽神经瘫痪。
治疗后和保持后(治疗后两年)的头影测量照片叠加几乎没有变化(图16 - 19)。此外,在治疗前和一年后两次颌骨手术后获得的计算机断层扫描图像的叠加显示了骨骼中线的对称性,并且左侧髁突的大小没有改变(图20)。治疗后2年,咬合保持稳定(图16和17)。治疗过程中头颅测量变量的变化见表1。









结论:
l 慎重选择治疗方案,重视牙槽骨代偿,最终使得治疗得以成功;
l 由于保留了左侧髁突增生,最终治疗结果不仅获得了面部的对称性,还实现了美学与咬合功能的统一;
l 正畸医生和外科医生的良好协作,使得治疗能够顺利进行。
来源:浙一口腔正畸林军
相关资讯
- 元旦与春节的区别
- 种植取模四手操作
- 种植取模四手操作
- 口腔儿牙早期矫治间隙管理.精确诊断.正畸技术11H-李明
- 种植取模小技巧
- 蒋大为《再见了大别山》
- 种植牙不是您想种马上就能种!做种植牙需要哪些前提条件呢?
- 如果半口/全口缺牙,也要一颗一颗种吗
- 丹巴拥忠《故乡之恋》
- 牙周宁片的功效与作用
推荐产品

- 纳极患龋风险体外诊断试剂——增菌培养基
- 纳极患龋风险体外诊断试剂——增菌培养基,用于龋易感性检测 ,口腔龋齿早期诊断,预知龋齿风险,早期预防干预,适合口腔科和儿保科体检宣教。 科贸嘉友口腔029-88651307

- 科贸嘉友19周年庆产品推广促销活动12.5-12.31日
- 科贸嘉友19周年庆产品推广促销活动12.5-12.31日

- 宇森龋显光固化机DB-686
- 新款光固化机DB-686+龋齿探测两用机,全金属超小机身,机头可360度旋转,更贴切医生临床操作,让你一上手就舍不得放手,可拆卸电池也方便更换。











